The Korean Journal of Internal Medicine

Search

Close

소장 출혈 환자에서 혈관조영술 코일을 표지자로 사용한 소장 절제 1예

소장 출혈 환자에서 혈관조영술 코일을 표지자로 사용한 소장 절제 1예

추형욱1, 최세웅1, 박재형2, 박정훈3, 이정민4

Radio-Opaque Coil Localization for Small-Bowel Resection

Hyungwook Chu1, Sewoong Choi1, Jaehyung Park2, Jeonghoon Park3, Jeongmin Lee4
Received July 16, 2024;       Revised April 8, 2025;       Accepted April 21, 2025;
Abstract
Prior to other diagnostic methods, capsule endoscopy is performed for patients with suspected small-bowel bleeding and stable clinical condition. In contrast, angiography is used to manage patients with persistent bleeding or hemodynamic instability. Following angiography-based confirmation of bleeding, hemostasis can be successfully achieved. However, rebleeding may frequently occur, and repeated procedures may induce complications. In such cases, surgical treatment is necessary. During surgery, the swift, precise localization of the bleeding site is of paramount important, along with accurate minimization of the extent of resection. Recently, a coil was employed for embolization to locate the bleeding site, followed by surgical resection, and this case is discussed.
서 론
서 론
소장 출혈은 Treitz ligament에서부터 회맹판 사이에서 일어나는 위장관 출혈로 정의되며 전체 위장관 출혈의 5-10%를 차지한다[1]. 이전에는 원인 불명의 위장관 출혈(obscure gastrointestinal bleeding)이라는 용어와 소장 출혈이 동의어처럼 쓰였으나 이후 소장 내시경(intraoperative enteroscopy, IOE)과 캡슐 내시경, 방사선 촬영 기술의 발달로 대부분의 진단이 가능해져 2015 American College of Gastroentrology (ACG) 진료지침에서는 두 용어를 분리하여 사용할 것을 권고하고 있다. 소장 출혈의 원인은 다양하며 연령에 따라 40세 이상에서는 비스테로이드성 소염진통제 복용으로 인한 궤양성 출혈, 혈관 확장에 의한 출혈의 가능성이 높고 40세 미만에서는 림프종 등 악성 종양, 멕켈게실, 염증성 장질환, 용종증을 동반하는 여러 증후군 등에 의한 출혈에 대한 감별 진단이 필요하다[2].
소장 출혈이 의심되는 경우 캡슐 내시경, 전산화단층촬영(computed tomography, CT) 혈관조영술이나 이중 풍선 소장 내시경 등의 검사를 고려해 볼 수 있는데 이 중 캡슐 내시경 검사가 비침습적이며 진단의 정확도가 높아 다른 검사 방법보다 우선적으로 권고된다[3,4]. 그러나 현성 출혈이 의심되는 혈역학적으로 불안정한 환자의 경우 혈관조영술을 통한 색전술이 우선적으로 시행되며 시술의 임상적 성공률은 75-86%, 시술 후 재출혈의 발생률은 9-47%로 알려져 있다[5-7].
혈관조영술을 통한 색전술 중 4개 이상의 연속된 직혈관(vasa recta)에 시술을 할 경우 장간막 허혈의 위험성이 높아지기 때문에 시행 후에 재출혈이 생길 시 반복적인 색전술보다는 외과적 절제술이 합리적인 선택지로 고려된다[8]. 하지만 수술 중 소장 내 출혈 부위를 정확하게 찾아내는 것은 쉽지 않으며 수술 범위가 넓어질 시 단창자증후군 등 합병증으로 소화계 기능의 보존이 어려워질 수 있다. 따라서 수술 범위를 최소화하기 위하여 수술 중 IOE를 시행하거나 수술 전 준비한 미세카테터에 메틸렌블루 용액을 투여하는 방법 등이 사용되고 있다[9].
저자들은 색전술 후에도 지속되는 소장 출혈에 대해 혈관조영술 시 사용하였던 코일을 통한 수술 부위 최소화로 합병증 위험과 회복 시간을 줄일 수 있었던 사례를 보고하고자 한다.
증 례
증 례
69세 여자 환자가 혈변을 주소로 내원하였다. 환자는 심근경색으로 타 병원에서 아스피린과 클로피도그렐을 처방받아 복용 중이었으며 기타 과거력으로 만성 신질환(stage 3-4) 및 심부전, 고혈압, 당뇨가 있었다.
내원 당시 혈압은 140/100 mmHg, 맥박은 분당 77회, 호흡수 분당 20회, 체온 36.6℃, 혈당은 230 mg/dL였고 말초혈액 검사에서 백혈구 12,420/mm3, 혈색소 9.4 g/dL, 헤마토크리트 28.4%, 혈소판 255,000/mm3였다. 일반 화학 검사 결과 혈청 총 단백 6.0 g/dL, 혈청 알부민 2.5 g/dL, C-반응 단백(C-reactive protein) 정량 27.52 mg/dL, 아스파테이트아미노전이효소(aspartate aminotransferase) 16 IU/L, 알라닌아미노전이효소(alanine aminotransferase) 14 IU/L, 젖산탈수소효소(lactate dehydrogenase) 222 IU/L, 알칼리인산분해효소(alkaline phosphatase) 477 IU/L, 혈액요소질소(blood urea nitrogen) 57.4 mg/dL, 크레아티닌(creatinine) 2.76 mg/dL, 당화혈색소(glycated hemoglobin A1c) 10.8%였다.
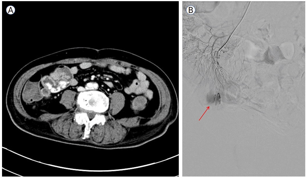
입원 후 시행한 말초 혈액 검사에서 혈색소 수치가 8.4 g/dL로 감소하였으며 이후 이틀간 7.0 g/dL, 5.1 g/dL로 감소하면서 혈변이 지속되어 복용 중인 아스피린, 클로피도그렐을 중단하고 수혈을 진행하였다. 출혈 부위를 찾기 위하여 시행한 상부 위장관 내시경 및 결장경 검사 결과 명확히 출혈을 의심할 만한 부위는 발견되지 않았다. 다음날 추가로 200 g의 혈변이 있어 수혈 후 결장경 검사를 재시행하였으나 출혈 부위를 찾지 못하였다. 이후 복부 출혈 CT 검사를 시행하였고(Fig. 1A) 회장 부위에 출혈 소견이 보여 혈관조영술 검사를 진행하였다(Fig. 1B).
혈관조영술 상에서 회장동맥(Ileal branch)으로부터 혈관 외 유출(extravasation)이 관찰되었고 색전술을 시도하였으나 원발 부위로 의심되는 직혈관(vasa recta)의 굵기가 가늘어 미세 카테터 진입이 실패하였다. 출혈점에 인접하여 최대한 원위부 혈관을 정밀 선택(superselection)한 후 2 mm-3 cm 코일 2개를 사용하여 색전술을 시행하였고(Fig. 2) control digital subtraction angiography 상 에서 혈관 외 유 출이 확인되지 않아 시술을 종료하였다.
다음날 오후 추가로 혈변이 있어 다시 수혈 후 복부 출혈 CT와 혈관조영술을 재시행하였다. 이 검사에서 이전 코일 색전술이 시행된 부위의 원위부에서 동맥궁(arterial arcades)을 통한 측부 혈관 흐름(collateral flow)으로 인한 것으로 보이는 혈관 외 유출이 관찰되었다(Fig. 3). 원위 회장동맥에 색전술을 수차례 시도하였으나 근위부 동맥에 색전술 시행 시 소장 괴사 가능성이 있어 중단하였고 이후 경과 관찰 중 혈압이 70/50 mmHg까지 떨어지는 등 지속적인 장출혈이 의심되어 수술적 절제를 진행하였다.
수술 중 병변의 위치를 찾기 위하여 병변으로 의심되는 부위에 클립을 결찰한 후 코일과의 상대적인 위치를 C-arm을 통해 확인하여 보정하는 과정을 거쳤다. 회결장동맥(ileocolic vessel)을 결찰한 뒤 장간막동맥(mesenteric branch)에 위치한 코일이 확인되었고(Fig. 4) C-arm을 통해 코일의 위치를 재확인하여 병변의 위치를 특정하였다. 리가슈어(LigaSureTM; Medtronic, Minneapolis, MN, USA)로 장간막을 나눈 후 장간막 반대편 경계를 따라 말단 회장 근처의 소장 절제술을 시행하였다(Fig. 5A). 절제된 소장 부위에서 궤양성 병변이 확인되어 소장을 봉합한 후 수술을 마무리하였다.
총 15.8 cm의 소장이 절제되었고 병리조직 육안 검사상 2.2 × 2.0 cm 크기의 궤양이 관찰되었으며 조직 검사상 결절성 림프구양 증식증(nodular lymphoid hyperplasia)으로 진단되었다(Fig. 5B). 이후 추가적인 혈변 없이 혈색소 수치 안정화 후 항혈소판제를 재시작하였다. 환자는 현재 안정적으로 기저질환에 대하여 추적 관찰 중이다.
고 찰
고 찰
소장은 후복벽이 복강 내에 고정되어 있지 않아 수술 중 복강 내를 탐색하여 출혈 부위 및 혈관을 찾는 것이 쉽지 않다. 따라서 반복되는 소장 출혈 수술에서 출혈 부위를 찾기 위하여 수술 중 IOE 검사가 일반적으로 시행되어 왔다. 하지만 이 방법은 시간이 오래 걸리고 여러 군데 절개창을 내야 하여 추가적인 소장의 손상을 야기할 수 있으며 검사 도중 발생한 점막 손상이 출혈 부위로 오인되어 혼선을 주는 등 여러 부작용이 보고되었다[10]. 그에 반해 본 증례에서는 코일 색전술을 시행한 환자에게 남아있는 코일을 이용하여 비침습적으로 출혈 부위를 정확히 찾아내어 절제 범위를 최소화하여 수술을 마칠 수 있었다.
출혈로 인한 소장 절제술을 시행받는 환자들은 수술 전에 혈관조영술을 통해 색전술을 우선 시도하게 된다[11]. 색전술 과정에서 혈전 생성을 통한 지혈 가능성을 높이고 측부 혈관 흐름으로 인한 재출혈의 위험성을 낮추기 위하여 미세 카테터를 출혈점에 인접하여 최대한 원위부까지 진입시키는 것이 바람직하다[7]. 그러나 본 증례의 경우 혈관이 가늘어 미세 카테터가 직혈관까지 진입이 되지 않아 최대한 원위부에서 색전술을 시행하였지만 동맥궁을 통한 측부 혈관 흐름으로 원발 병소에서 재출혈이 일어난 것으로 보인다. 이처럼 시술 후에도 출혈이 지속되어 수술적 절제를 해야 할 경우 지혈 과정에서 쓰였던 코일이 랜드마크로 쓰이면 수술 시간과 범위를 줄이는 데 큰 도움이 될 것으로 기대한다.
수술 중 출혈 부위 파악을 위해 미세 카테터 도관에 메틸렌블루를 주입하는 방법이 소개된 바 있는데 이 방법은 혈관조영술 코일을 표지자로 쓰는 것보다 저렴하며 수술 중 방사선 장비 사용에 숙련된 기술이 필요치 않아 시행이 간단하다는 장점이 있다[12,13]. 그러나 메틸렌블루 용액이 시간이 지나며 확산되므로 병변 위치를 파악하는 데 시간이 오래 걸릴 시에는 수술 부위 설정이 어려울 수 있어 코일을 기반으로 한 접근법에 비해 유용성이 떨어질 수 있다[14].
본 증례에서 소개한 색전술 후 남아있는 코일을 이용한 출혈 부위 확인법에는 몇 가지 제한점이 있다. 첫째, 이전 혈관조영술에서 출혈 부위를 찾지 못했거나 경화제 등을 써서 지혈을 한 경우에는 적용을 할 수 없다. 둘째, 미만성으로 발생하는 혈관 확장증 등 출혈 부위가 여러 군데일 경우 시행이 어렵다. 따라서 소장 출혈의 수술적 치료를 계획 시 본 증례에서 쓰인 혈관조영술 코일을 표지자로 사용한 접근법과 더불어 메틸 렌블루 주입술, 수술 중 IOE를 함께 고려하여 적절한 방법을 선택하는 것이 환자의 회복 시간을 줄이며 삶의 질을 올리는 데 많은 도움이 될 것으로 보인다.
소장 출혈이 의심되는 환자에서 안정적인 경우 캡슐 내시경을 시행하지만 지속되는 출혈이 의심되거나 혈역학적으로 불안정한 환자의 경우 치료 목적을 겸하여 혈관조영술을 시행하게 된다. 혈관조영술에서 출혈이 확인된 경우 높은 성공률로 지혈이 가능하지만 재출혈이 빈번히 일어날 수 있고 반복된 시술로 인한 합병증 발병 가능성이 있어 수술적 치료를 고려하게 된다. 수술 시 출혈 부위를 빠르고 정확히 찾아 절제하는 것이 중요한데 최근 혈관조영술에서 사용한 코일을 이용하여 출혈 부위를 찾아 수술적 절제술을 시행한 증례가 있어 이를 문헌 고찰과 함께 보고하는 바이다.
Conflicts of Interest
Conflicts of Interest

CONFLICTS OF INTEREST

No potential conflict of interest relevant to this article was reported.

Notes
Notes

FUNDING

None.

Notes
Notes

AUTHOR CONTRIBUTIONS

H.C. and S.C. managed the patient, collected clinical data, and wrote the first draft; J.P. (Radiology) performed angiography and coil embolization; J.P. (Surgery) conducted small-bowel resection; J.L. designed the report, supervised, and revised critically.

Notes
Notes

ACKNOWLEDGEMENTS

None.

Figure 1.
(A) Transverse contrast-enhanced arterial phase image demonstrate enhancing dot-like structure, which suggested vascular lesions in the ileum. (B) The red arrow indicates extravasation of the contrast dye outlined the ileal mucosa.
kjm-101-1-44f1.tif
Figure 2.
(A) Arrows indicate the ileal branch of the superior mesenteric artery. (B) Embolization microcoil within the ileal arterial branch.
kjm-101-1-44f2.tif
Figure 3.
Despite the in situ coil within the superior mesenteric artery, collateral blood flow to the distal branch resulted in rebleeding (red arrow).
kjm-101-1-44f3.tif
Figure 4.
Fluoroscopic location of the embolization coil. A radiograph of the pathologic specimen showed the presence of the microcoil within the ileal arterial branch.
kjm-101-1-44f4.tif
Figure 5.
(A) Red arrows indicate a resected specimen of the ileum with a single, round ulcerative lesion on the antimesenteric aspect. (B) Red arrows indicate hyperplastic lymphoid follicles within the subepithelial layer (hematoxylin and eosin stain, × 40). At the bleeding site, mucosal erosion was microscopically confirmed, and the erosive surface exposed ecstatic capillaries.
kjm-101-1-44f5.tif
References
References

REFERENCES

1. Katz LB. The role of surgery in occult gastrointestinal bleeding. Semin Gastrointest Dis 1999;10:78–81.
[PubMed]
2. Gerson LB, Fidler JL, Cave DR, Leighton JA. ACG clinical guideline: diagnosis and management of small bowel bleeding. Am J Gastroenterol 2015;110:1265–1287.
[Article] [PubMed]
3. Rex DK, Lappas JC, Maglinte DD, Malczewski MC, Kopecky KA, Cockerill EM. Enteroclysis in the evaluation of suspected small intestinal bleeding. Gastroenterology 1989;97:58–60.
[Article] [PubMed]
4. Saperas E, Dot J, Videla S, et al. Capsule endoscopy versus computed tomographic or standard angiography for the diagnosis of obscure gastrointestinal bleeding. Am J Gastroenterol 2007;102:731–737.
[Article] [PubMed]
5. Kuo WT, Lee DE, Saad WE, Patel N, Sahler LG, Waldman DL. Superselective microcoil embolization for the treatment of lower gastrointestinal hemorrhage. J Vasc Interv Radiol 2003;14:1503–1509.
[Article] [PubMed]
6. Lee IJ. Outcomes and complications of embolization for gastrointestinal bleeding. Gastrointest Interv 2018;7:155–157.
[Article]
7. Shin JH. Refractory gastrointestinal bleeding: role of angiographic intervention. Clin Endosc 2013;46:486–491.
[Article] [PubMed] [PMC]
8. Jae HJ, Chung JW, Kim HC, et al. Experimental study on acute ischemic small bowel changes induced by superselective embolization of superior mesenteric artery branches with N-butyl cyanoacrylate. J Vasc Interv Radiol 2008;19:755–763.
[Article] [PubMed]
9. Frydman J, Bahouth H, Leiderman M, Ofer A, Kluger Y. Methylene blue injection via superior mesenteric artery microcatheter for focused enterectomy in the treatment of a bleeding small intestinal arteriovenous malformation. World J Emerg Surg 2014;9:17.
[Article] [PubMed] [PMC]
10. Ress AM, Benacci JC, Sarr MG. Efficacy of intraoperative enteroscopy in diagnosis and prevention of recurrent, occult gastrointestinal bleeding. Am J Surg 1992;163:94–99.
[Article] [PubMed]
11. ASGE Standards of Practice Committee; Gurudu SR, Bruining DH, et al. The role of endoscopy in the management of suspected small-bowel bleeding. Gastrointest Endosc 2017;85:22–31.
[Article] [PubMed]
12. Martinez JC, Thomas JL, Lukaszczyk JJ. Single incision laparoscopic surgery approach for obscure small intestine bleeding localized by CT guided percutaneous injection of methylene blue. Int J Surg Case Rep 2014;5:1082–1085.
[Article] [PubMed] [PMC]
13. Zhang ZD, Wang HL, Liu XY, Xia FF, Fu YF. Methylene blue versus coil-based computed tomography-guided localization of lung nodules. Thorac Cardiovasc Surg 2020;68:540–544.
[Article] [PubMed]
14. Lin MW, Tseng YH, Lee YF, et al. Computed tomography-guided patent blue vital dye localization of pulmonary nodules in uniportal thoracoscopy. J Thorac Cardiovasc Surg 2016;152:535–544.e2.
[Article] [PubMed]
Memo patch ics

Go to Top