The Korean Journal of Internal Medicine

Search

Close

십이지장 폐색으로 심한 구역과 구토로 내원한 고리 췌장 환자 1예

십이지장 폐색으로 심한 구역과 구토로 내원한 고리 췌장 환자 1예

임영배, 조활석, 이동현

Treatment Refractory Nausea and Vomiting due to Duodenal Obstruction caused by Annular Pancreas: A Case Report

Young Bae Lim, Hwal Seok Cho, Dong Hyun Lee
Received March 27, 2024;       Revised July 12, 2024;       Accepted July 18, 2024;
Abstract
Annular pancreas is a rare congenital abnormality characterized by a ring of pancreatic tissue encircling the descending part of the duodenum. It is considered to originate from incomplete ventral pancreatic bud rotation. A 39-year-old male with refractory nausea and vomiting despite receiving appropriate medical treatment underwent contrast-enhanced computed tomography; it revealed an annular pancreas encircling the descending part of the duodenum. We found that surgical resection of the annular pancreas relieved nausea and vomiting due to duodenal obstruction.
서 론
서 론
고리 췌장은 하행 십이지장을 둘러싸는 췌장 조직의 고리가 특징인 드문 선천적 이상이며 복측 췌장싹의 불완전한 회전에 기인하는 것으로 알려져 있다. 고리 췌장 환자들이 대부분 무증상이기 때문에 정확한 고리 췌장의 유병률은 알려져 있지 않다. 일련의 시체 해부에서 십이지장 절개가 시행되었고 고리 췌장의 유병률은 100,000명당 5-15명이었다. 고리 췌장은 과다 양수와 다운증후군, 식도 십이지장 폐쇄증, 항문 막힘증, 멕켈게실과 관련이 있는 것으로 알려져 있다[1,2].
고리 췌장 환자의 약 2/3가 증상이 없는 것으로 알려져 있다. 증상 발현은 대개 십이지장 폐색의 심한 정도와 관련이 있다[3]. 증상이 있는 어른들의 대부분은 20대와 50대 사이에 증상이 나타나고 대게 만성 복통, 구역, 식후 포만감, 구토 등의 증상을 호소한다. 다른 증상들로는 소화성 궤양에 의한 상부위장관 출혈, 급성 췌장염, 만성 췌장염 그리고 드물지만 담도 폐쇄에 의한 황달이 있다[4-6]. 저자들은 타 병원에서 치료를 해도 호전되지 않는 구역감과 구토로 내원한 환자를 복부 컴퓨터단층촬영을 시행하여 고리 췌장으로 인한 십이지장 폐색으로 진단하여 수술로 치료한 예를 경험하였기에 이를 보고하는 바이다.
증 례
증 례
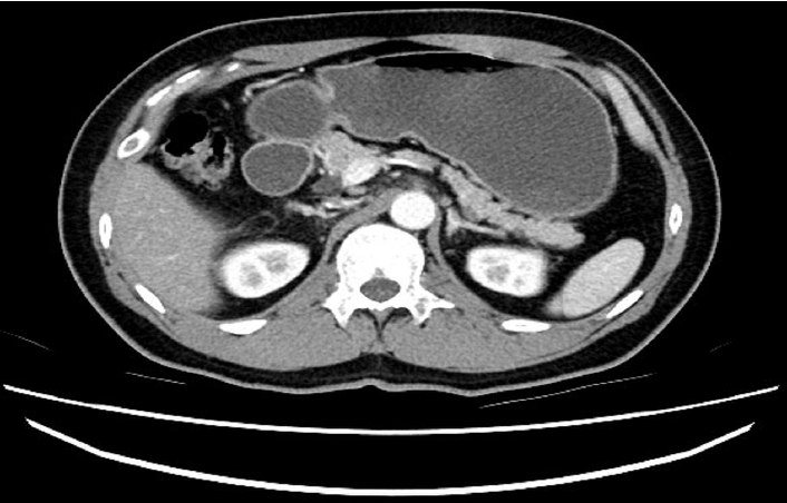
39세 남자 환자가 내원 1개월 전부터 발생한 상복부 불편감과 트림, 1주일 전부터 발생한 심한 구역과 구토로 인근 병원에 방문하여 입원 치료를 하였는데도 호전이 없어 전원되었다. 환자는 과거 특이 병력이 없었고 내원 몇 주 전에 검진 위 내시경상 특이 소견 없었다고 한다. 가족력 및 사회력에서 특이 사항은 없었다. 내원 당시 활력징후는 혈압 120/70 mmHg, 맥박98회/분, 호흡수 20회/분, 체온 36.6℃였다. 복부 진찰에서 장음은 감소되어 있었고 복부는 부드러웠으며 만져지는 종물이 없었고 압통 및 반발통도 없었다. 혈액 검사에서 백혈구 13,350/mm3 (중성구 75%), 혈색소 17.9 g/dL, 혈소판 529,000/mm3였다. 생화학 검사에서 혈액요소질소 74.1 mg/dL, 크레아티닌 4.24 mg/dL, 총 단백 6.4 g/dL, 알부민 4.1 g/dL, 총 빌리루빈 1.64 mg/dL, 직접형 빌리루빈 0.79 mg/dL, aspartate transaminase 20 IU/L, alanine transaminase 44 IU/L, alkaline phosphatase 141 IU/L, gamma-glutamyl transpeptidase 85 IU/L, C-반응성단백 4.84 mg/dL, Na 141 mEq/L, K 3.9 mEq/L, Cl 90 mEq/L였다. 타 병원에서 시행한 조영제 복부 컴퓨터단층촬영에서 위, 십이지장 구부가 확장되어 있었고(Fig. 1) 위 내시경에서 LA 분류 B의 역류성 식도염, 위체부에 담즙과 위 내용물이 가득 남아있는 소견(Fig. 2) 및 십이지장 두 번째 부분의 협착 소견이 보였다(Fig. 3). 환자에게 증상 완화를 위한 L-tube 삽입을 설명하고 시도하였으나 환자가 협조하지 않아 실패하였다. 입원 시 시행한 혈액 검사에서 크레아티닌 수치가 높아 전신성 급성 신손상 가능성이 있어 금식하면서 수액 치료를 시작하며 경과 관찰하였다. 외부에서 촬영한 조영제 복부 컴퓨터단층촬영에 대해 본원 영상의학과에 문의하였으며 고리 췌장에 의한 십이지장 폐색 가능성이 있음을 회신받았다(Fig. 4). 췌장 magnetic resonance imaging 및 magnetic resonance cholangiopancreatography (MRCP)를 검사하였고 같은 소견이었다(Fig. 5). 입원 4일째 복강경하위공장연결술을 시행하였고 이후 특별한 합병증 없어 퇴원하였다. 1년 후 환자는 증상의 재발 없이 외래에서 추적 관찰 중이다.
고 찰
고 찰
고리 췌장은 발생 과정에서 십이지장을 회전하는 복측 췌장 싹의 기능 상실로 결국 췌장 조직의 밴드로 구성된 고리가 대게 십이지장의 두 번째 부분을 감싸게 된다. 췌장 고리는 비록 십이지장과 떨어져 있을 수도 있으나 대부분 십이지장의 점막근판에 부착되어 있다. 약 1/3에서 1/2 환자들이 본 증례의 환자처럼 선천적 이상인 이분췌를 가지고 있다.
고리 췌장을 가진 환자들 개별적으로 췌장염이 어떻게 생기는지는 명확하게 알려지지 않았다. 본 증례의 환자도 췌장염의 과거력은 없었다. 아마도 췌장두부의 섬유화에 의한 췌장관의 막힘에 의하여 발생할 것으로 추측되고 있다. 급성 췌장염에서 췌장의 섬유화는 대개 고리와 고리에 인접한 췌장두부에 국한되어 있다[7]. 고리 췌장에서 생기는 소화성 궤양은 종종 십이지장 구부에 발생한다. 폐쇄에 의한 위장관 관련 증상은 반복되는 췌장 염증에 의한 반흔이나 소화성 궤양 때문에 생기는 십이지장 폐쇄 때문에 발생한다. 고리 췌장은 종종 주유두 근위부쪽에 위치하므로 구토 양상은 대게 비담즙성이다[8]. 하지만 본 증례처럼 담즙성 구토를 보일 수 있다. 췌장두부의 부종과 섬유화로 인한 췌장 안쪽 부분 총담관의 폐쇄는 폐쇄성 황달을 일으킬 수도 있다[9].
고리 췌장의 감별 진단은 진단 당시 나이와 증상에 따라 다양하다. 고리 췌장은 복부 이미지에 따라 다음의 감별 진단과 구별될 수 있다. 신생아 시기에는 유문 협착, 소장 폐색, 창자 회전 이상 등을 고려하여야 한다. 본 증례와 같이 복통, 구역, 식후 포만감이 있는 성인에서는 소화성 궤양, 위식도역류, 담도성 통증을 포함하여 고리 췌장도 염두에 두어야 한다.
성인에서 고리 췌장은 대게 복통에 관한 평가 과정에서 우연히 진단된다. 고리 췌장은 복부 이미지에서 십이지장 하행부를 둘러싸는 췌장 조직이 보일 때 진단할 수 있다. 유소년이나 성인 시기에는 상부위장관 조영술이나 복부 컴퓨터단층촬영으로 진단할 수 있다. 환자의 증상이 다른 질환으로 설명되지 않고 상부위장관 조영술이나 복부 컴퓨터단층촬영 결과가 애매한 경우 MRCP를 시행할 수 있다. 비록 내시경 초음파가 고리 췌장 환자에서 시행되어 왔지만 아직 확실한 역할은 확립되지 않았다[10].
고리 췌장 환자들은 대부분 증상이 없다고 알려져 있다. 그러므로 고리 췌장의 존재가 반드시 현재 증상과 연관이 있다고 암시하지는 않는다. 비록 내시경적 치료가 보고되고 있지만 외과적 수술이 고리 췌장과 연관된 증상을 가진 환자에 있어 최선의 치료 선택으로 알려져 있다[11]. 수술의 목적은 십이지장 혹은 위출구 폐쇄에 의한 증상을 고리를 우회함으로써 완화하는 데 있다. 췌장염과 췌장샛길 형성, 폐색의 불완전 완화 때문에 고리를 절제하지는 않는다. 성인에서는 십이지장이 움직임이 덜해서 십이지장공장연결술 혹은 위공장연결술이 추천된다[12]. 폐쇄성 황달과 관련 있는 고리 췌장 환자에서는 총담관장연결술이나 담도 스텐트가 필요할 수 있다.
본 증례는 소화기내과 의사라면 언제든 마주칠 수 있는 구역, 구토로 내원하는 환자에 대하여 충분한 약물 치료에도 반응이 없으면 소화성 궤양, 위식도 역류, 담도성 통증을 포함하여 고리 췌장을 반드시 감별 진단에 포함시켜 정확한 진단과 거기에 맞는 치료가 필요하다는 것을 보여주는 증례라 생각되어 문헌 고찰과 함께 보고하는 바이다.
Conflicts of Interest
Conflicts of Interest

CONFLICTS OF INTEREST

No potential conflict of interest relevant to this article was reported.

Notes
Notes

FUNDING

None.

Notes
Notes

AUTHOR CONTRIBUTIONS

Dong Hyun Lee conceived and proposed this clinical case. Hwal Seok Cho and Young Bae Lim searched and reviewed reference papers. Young Bae Lim wrote the case report.

Notes
Notes

ACKNOWLEDGEMENTS

None.

Figure 1.
Abdominal computed tomography scan showing the superior part of the duodenum and gastric distension.
kjm-100-2-91f1.tif
Figure 2.
Gastroscopy showing retained bile juice and gastric contents in the body.
kjm-100-2-91f2.tif
Figure 3.
Gastroscopy showing duodenal lumen narrowing without mucosal lesions.
kjm-100-2-91f3.tif
Figure 4.
Abdominal computed tomography scan showing annular pancreas encircling the descending part of the duodenum.
kjm-100-2-91f4.tif
Figure 5.
Pancreas magnetic resonance image showing annular pancreas encircling the descending part of the duodenum (arrows).
kjm-100-2-91f5.tif
References
References

REFERENCES

1. Sencan A, Mir E, Günsar C, Akcora B. Symptomatic annular pancreas in newborns. Med Sci Monit 2002;8:CR434–CR437.
[PubMed]
2. Zyromski NJ, Sandoval JA, Pitt HA, et al. Annular pancreas: dramatic differences between children and adults. J Am Coll Surg 2008;206:1019–1025discussion 1025-1027.
[Article] [PubMed]
3. Cunha JE, de Lima MS, Jukemura J, et al. Unusual clinical presentation of annular pancreas in the adult. Pancreatology 2005;5:81–85.
[Article] [PubMed]
4. Chen YC, Yeh CN, Tseng JH. Symptomatic adult annular pancreas. J Clin Gastroenterol 2003;36:446–450.
[Article] [PubMed]
5. England RE, Newcomer MK, Leung JW, Cotton PB. Case report: annular pancreas divisum--a report of two cases and review of the literature. Br J Radiol 1995;68:324–328.
[PubMed]
6. Maker V, Gerzenshtein J, Lerner T. Annular pancreas in the adult: two case reports and review of more than a century of literature. Am Surg 2003;69:404–410.
[Article] [PubMed]
7. Gilinsky NH, Lewis JW, Flueck JA, Fried AM. Annular pancreas associated with diffuse chronic pancreatitis. Am J Gastroenterol 1987;82:681–684.
[PubMed]
8. Jimenez JC, Emil S, Podnos Y, Nguyen N. Annular pancreas in children: a recent decade's experience. J Pediatr Surg 2004;39:1654–1657.
[Article] [PubMed]
9. Shan YS, Sy ED, Lin PW. Annular pancreas with obstructive jaundice: beware of underlying neoplasm. Pancreas 2002;25:314–316.
[Article] [PubMed]
10. Papachristou GI, Topazian MD, Gleeson FC, Levy MJ. EUS features of annular pancreas (with video). Gastrointest Endosc 2007;65:340–344.
[Article] [PubMed]
11. Gromski MA, Lehman GA, Zyromski NJ, et al. Annular pancreas: endoscopic and pancreatographic findings from a tertiary referral ERCP center. Gastrointest Endosc 2019;89:322–328.
[Article] [PubMed] [PMC]
12. De Ugarte DA, Dutson EP, Hiyama DT. Annular pancreas in the adult: management with laparoscopic gastrojejunostomy. Am Surg 2006;72:71–73.
[Article] [PubMed]
Memo patch ics samyangbiopharm

Go to Top