뇌실복강단락술 이후 뇌농양 및 복강내 가성낭종을 동반하여 발생한 Cryptococcus 뇌막염
- 김민정, 이지운
Cryptococcal Meningitis Complicated by a Brain Abscess and an Abdominal Pseudocyst Following Ventriculoperitoneal Shunting
- Min-Jeong Kim, Ji Un Lee
- Received July 26, 2018; Accepted August 25, 2018;
- Abstract
-
Ventriculoperitoneal (VP) shunt insertion is the standard treatment for hydrocephalus; shunt-associated infection is the most common complication after surgery. However, fungal infections are unusual. We present a case of cryptococcal meningitis complicated by a brain abscess and an infected intra-abdominal pseudocyst that developed 14 weeks after VP shunt insertion to treat hydrocephalus in a 74-year-old patient. Cryptococcal central nervous system (CNS) infection has a high mortality rate; however, diagnosis is challenging. Therefore, prompt diagnosis and treatment are required when a cryptococcal CNS infection is suspected in patients with VP shunts.
- 서 론
- 서 론
수두증은 뇌실과 지주막하 공간에 뇌척수액이 비정상적으로 축적된 상태이다. 수두증의 치료로는 뇌실복강단락술이 가장 많이 사용되지만 감염은 뇌실복강단락술의 주요한 합병증이다. 뇌실복강단락 연관 감염을 일으키는 가장 흔한 원인균은 Staphylococcus spp.이고 그 다음으로 Pseudomonas aeruginosa와 Klebsiella pneumonia의 순으로 보고되고 있으며 진균에 의한 감염은 드물다[1,2]. 특히 Cryptococcus neoformans에 의한 감염은 후천성 면역결핍증, 암, 당뇨, 스테로이드 치료 등에 의하여 면역이 저하되어 있는 환자에서 주로 발생하며, 대부분 수막염 형태로 발병하고 뇌농양을 형성하는 경우는 거의 없다고 알려져 있다[3,4]. 뇌실복강단락을 지닌 환자에서 복강내 가성낭종의 발생률은 1-4.5%이며, 현성 혹은 이전의 단락 연관 감염이 있거나 패혈증, 복강내 유착, 뇌척수액의 단백질 증가, 실리콘 알레르기 등이 있을 때 호발한다고 한다[5]. 본 저자는 뇌실복강단락술을 시행한 환자에서 수술 14주 후 뇌농양과 감염성 복부 가성낭종을 동반하여 발생한 Cryptococcus 뇌막염의 매우 드문 예를 경험하였기에 문헌고찰과 함께 보고하고자 한다.
- 증 례
- 증 례
74세 여자가 어지럼증으로 입원하였다. 뇌척수액의 결핵균 핵산증폭 검사에서 양성 소견을 보여 결핵성 수막염으로 진단되었으며 수두증을 동반하여 뇌실복강단락술을 시행하였다. 뇌척수액과 혈액에서 결핵균 외 다른 병원균은 검출되지 않았고, Cryptococcus 항원 검사와 India ink 염색은 음성이었다. 항결핵제 치료를 시작하였고 증세 호전을 보여서 퇴원하였다.뇌실복강단락술 시행 14주 후, 환자는 열감과 구토, 의식저하를 주소로 재입원하였다. 활력 징후는 혈압 120/80 mmHg, 심박수 76회/분, 호흡수 20회/분, 체온 37.7℃였고 의식은 기면 상태였다. 혈액 검사에서 백혈구 10,400/mm3 (중성구 56.1%), 혈색소 11.4 g/dL, 헤마토크리트 33.5%, 혈소판 441,000/mm3였고, 적혈구침강속도는 75 mm/h, 고감도 C-반응단백은 5.83 mg/dL였다. Human immunodeficiency virus 항체와 신속혈장리아긴 검사, Cryptococcus 항원 검사는 음성이었다. 뇌실복강단락을 통한 뇌척수액 검사에서 압력은 120 mmH2O, 백혈구 1.8/uL, 적혈구는 검출되지 않았으며 당 62 mg/dL (혈당 139 mg/dL), 단백질 40.1 mg/dL, 아데노신디아미네이스는 3.0 IU/L였다. 뇌 컴퓨터단층촬영에서 좌측 뇌실의 조영 증가와 주위조직의 부종, 좌측 뇌실내 도관 근위부에서 1.7 × 1.4 cm 크기의 변연부에 조영증강이 되는 낭성병변이 관찰되었다(Fig. 1). 뇌실복강 단락을 통한 복강내 감염의 진행을 확인하기 위하여 복부 조영증강 컴퓨터단층촬영을 시행하여 우하복부에 위치한 도관 말단 부위에서 4.7 × 2.8 cm 크기의 조영증강되는 벽을 지닌 낭종을 확인하였다(Fig. 2). 경험적으로 ceftriaxone 2 g/day와 혐기성균에 의한 혼합 감염의 가능성을 고려하여 metronidazole 1,500 mg/day를 정맥 투여하였고 입원 병일 3일째 뇌척수액 그람 염색에서 효모균이 관찰되어 fluconazole 200 mg/day를 추가로 투여하였다. 입원 병일 7일째 복부의 낭종에 대하여 진단적 복강경 검사를 시행하였다. 복강내 도관 말단은 4 cm 크기의 투명한 액체로 채워진 낭종 안쪽에 위치하고 있었으며 주변으로 유착이 관찰되었다. 낭종과 기존의 뇌실 복강단락을 제거 후 체외 내실 배액관으로 교체하였다. 뇌척수액과 혈액 배양 검사 결과에서 2회 연속으로 Cryptococcus neoformans가 동정되어 Cryptococcus에 의한 뇌막염으로 진단하였고 배양 검사와 핵산증폭 검사에서 결핵균은 동정되지 않아 amphotericin B 0.7 mg/kg/day를 정맥 투여하고 flucytosine 100 mg/kg/day를 경구 투여하였다. 입원 병일 12일째 복부 낭종 흡인액 배양 검사에서 Pseudomonas aeruginosa와 Klebsiella species가 동정되었고 뇌실내 도관 말단 배양 검사에서 Cryptococcus neoformans가 동정되었다. Pseudomonas에 대하여 ciprofloxacin 400 mg/day를 정맥 투여하였다. 입원 병일 19일째 시행한 뇌 컴퓨터단층촬영에서 뇌농양의 크기는 1.2 × 1.0 cm로 감소하였고 수두증은 호전 소견을 보였다(Fig. 3). 입원 병일 21일째부터는 열과 신경학적 증상이 호전되고 의식상태가 명료하여 amphotericin B와 flucytosine을 중단하고 fluconazole 200 mg/day로 교체하였다. 입원 병일 30일째 연속 3번의 뇌척수액 배양 검사에서 음성 소견을 보여서 체외 내실 배액관을 제거하고 새로운 뇌실 복강 단락 도관을 배치하였으며 경구 fluconazole 200 mg/day를 6개월 이상 투약 유지하기로 하고 퇴원하였다. 6개월간의 추적 관찰 기간 동안 환자는 특별한 증세나 재발의 소견 없이 지내는 중이다.
- 고 찰
- 고 찰
Cryptococcus neoformans는 효모형의 협막으로 싸여있는 진균으로 자연계에 존재하며 특히 조류의 분변에서 분리된다. 주로 후천성 면역결핍증 환자에서 기회 감염을 일으키고, 대부분 호흡기를 침범하지만 드물게 파종성 전파 혹은 단락 연관 감염으로 중추신경계 감염을 일으킬 수 있다[4]. 지난 20년간 뇌실복강단락술 후 중추신경계 감염의 발생률은 5.7-9.3%였다[6]. 뇌실복강단락 연관 중추신경계 감염은 뇌실복강단락술을 받은 환자에서 수막염을 시사하는 증상과 함께 뇌척수액 배양에서 균이 동정된 경우 진단 가능하며 뇌 컴퓨터단층촬영 또는 뇌 자기공명영상이 진단에 도움이 된다[7]. 뇌실복강단락 연관 감염의 가장 흔한 원인균은 coagulase-negative staphylococci와 S.aureus로 전체의 약 47%를 차지하였다[1]. 그러나 진균에 의한 감염은 매우 드물고, 그중 Cryptococcus neoformans에 의한 감염은 더욱 흔하지 않다.Cryptococcus에 의한 중추신경계 감염의 초기 증상으로는 두통과 열, 뒷목 통증 등이 있으며 진행하면 수두증, 국소적인 운동 장애, 의식변화 등 두개내압 증가에 의한 증상이 나타난다. 치료는 amphotericin B (0.5-1.0 mg/kg/day)와 flucytosine (100 mg/kg/day)을 병합하여 2주간 사용 후 fluconazole (400 mg/day)을 8주, 이어서 재발 방지를 위하여 fluconazole (200 mg/day)을 6개월 이상 유지하는 것이 일반적이다[8].복강내 뇌척수액 가성낭종은 뇌실복강단락술의 흔하지 않은 합병증으로, 뇌실복강단락 연관 감염에 동반된 이차적인 복강내 반응에 의하여 발생하는 것으로 생각된다. 가성낭종에 감염이 동반된 경우 적절한 항균제 치료 및 낭종 제거와 함께 복강내 도관을 외부화하거나 기존의 뇌실복강단락을 제거한 후 체외 내실 배액관으로 교체하여야 한다[6,9].본 증례는 열과 의식저하, 구토 등의 증상과 함께 뇌척수액과 혈액 배양 검사에서 Cryptococcus neoformans가 2회 연속 동정되어 뇌실복강단락 연관 Cryptococcus 뇌막염으로 진단할 수 있었다. 이전의 결핵성 수막염의 과거력으로 미루어, 뇌막염의 원인균으로 결핵균을 의심하였으나 뇌척수액 배양 검사와 결핵균 핵산증폭 검사에서 음성 소견을 보여 배제할 수 있었다. 본 증례의 몇 가지 제한점들을 기술하자면, 첫째로 뇌농양에 대한 수술적 절제 또는 조직 검사가 이루어지지 않아 정확한 원인균 규명에 한계가 있었다. 그러나 병변으로의 직접적인 접근이 어려운 경우에는 동반된 단락 연관 감염의 유무와 병변의 위치 등으로 미루어 뇌농양의 원인균과 발병기전을 짐작할 수 있다[6,7]. 본 증례는 Cryptococcus에 의한 단락 연관 수막염과 패혈증이 동반되었고 뇌실내 도관 말단 배양 검사에서 Cryptococcus neoformans가 동정되었으며, 뇌 컴퓨터단층촬영에서 병변이 도관의 근위 말단부에 인접하고 있어 뇌농양이 동일한 원인균에 의하여 합병되었을 가능성을 시사하였다. 또한 뇌농양의 크기가 2.5 cm 미만으로 측정되어 절제술 혹은 흡인술과 같은 수술적 치료에 앞서 약물 치료를 우선적으로 고려하였다[10]. 둘째로 Cryptococcus의 정확한 감염 경로를 알기 어려웠다. 그러나 수술 중 오염의 가능성을 배제할 수 없었고, 뇌실복강단락으로 인하여 이전부터 존재하였던 무증상 Cryptococcus 감염에 대한 면역 체계의 변화가 발생하였거나 균주의 독성 악화 혹은 군집 형성이 촉진되면서 증세가 악화되었을 가능성이 있을 것으로 생각되었다[1]. 또한 이전의 입원 기간 중 수두증으로 dexamethasone을 4주간 투여하였던 과거력이 있어 면역 저하 및 기회 감염의 가능성이 증가하였을 것으로 생각되었다.뇌실복강단락술 후 열, 의식 변화, 경련 혹은 운동 장애 등 신경학적 증상이 발생하였을 때 반드시 단락 연관 감염을 고려해야 한다. 특히 Cryptococcus에 의한 감염은 뇌척수액 검사에서 비특이적 소견을 보일 수 있고 배양까지 시간이 걸린다는 점에서 진단이 늦어질 수 있으나, 급성 경과를 나타낼 수 있으며 사망률이 높은 질환이다. 그러므로 흔하지는 않으나 뇌실복강단락 연관 감염의 원인으로 Cryptococcus에 의한 감염 가능성을 반드시 염두에 두어야 하겠다.
- 요 약
- 요 약
Cryptococcus neoformans는 주로 후천성 면역결핍증 환자에서 기회 감염을 일으키는 것으로 알려져 있으나 드물게 파종성 전파 혹은 단락 연관 감염으로 중추신경계 감염을 일으킬 수 있다. 본 저자는 수두증으로 뇌실복강단락술을 시행한 환자에서 수술 14주 후 뇌농양과 감염성 복부 가성낭종을 동반하여 발생한 Cryptococcus 뇌막염의 매우 드문 예를 경험 하였기에 문헌고찰과 함께 보고하는 바이다. 뇌실복강단락술 후 중추신경계 감염을 시사하는 증상이 발생하였을 때 반드시 단락 관련 감염을 고려해야 하며 기타 합병증이 동반되었을 수 있음을 염두에 두어야 한다. 그중 Cryptococcus는 단락 관련 감염의 흔한 원인균은 아니지만 치명적이고 급성 경과를 나타낼 수 있다는 점에서 조기 진단과 치료가 중요함을 말해주고 있다.
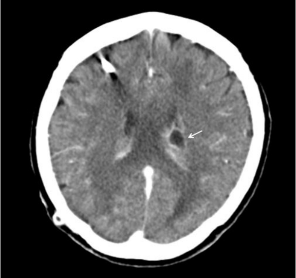
Figure 1.
Initial brain computed tomography revealing an abscess (1.7 × 1.4 cm in size, arrow) in the left periventricular area, and ventriculitis.
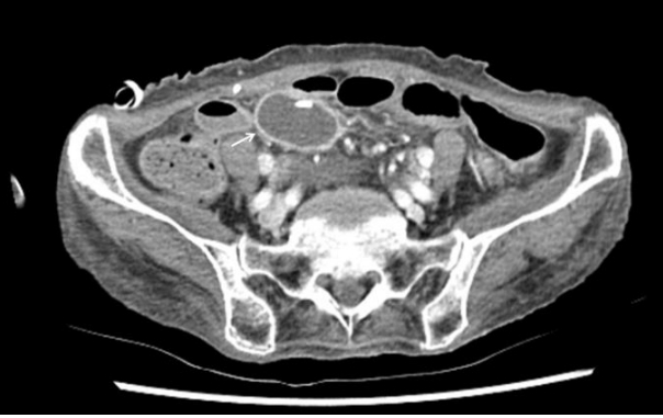
Figure 2.
Abdominal computed tomography showing a 4.7 × 2.8 cm-sized cyst (arrow) with an enhanced wall lying adjacent to the distal tip of the ventriculoperitoneal shunt in the right lower abdomen.
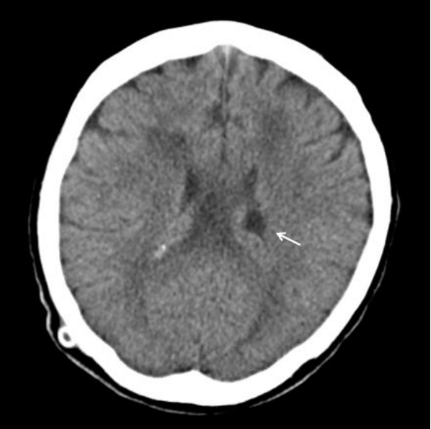
Figure 3.
Follow-up brain computed tomography showing that the abscess decreased in size (from 1.7 × 1.4 cm to 1.2 × 1.0 cm, arrow), and improvement of the periventricular edema.
- References
- References
REFERENCES
1. Wang KW, Chang WN, Shih TY, et al. Infection of cerebrospinal fluid shunts: causative pathogens, clinical features, and outcomes. Jpn J Infect Dis 2004;57:44–48.
[Article] [PubMed]2. Schoenbaum SC, Gardner P, Shillito J. Infections of cerebrospinal fluid shunts: epidemiology, clinical manifestations, and therapy. J Infect Dis 1975;131:543–552.
[Article] [PubMed]3. Zarrin M, Mahmoudabadi AZ. Central nervous system fungal infections; a review article. Jundishapur J Microbiol 2010;3:41–47.4. Foong KS, Lee A, Vasquez G. Cryptococcal infection of the ventriculoperitoneal shunt in an immunocompetent patient. Am J Case Rep 2016;17:31–34.
[Article] [PubMed] [PMC]5. Popa F, Grigorean VT, Onose G, Popescu M, Strambu V, Sandu AM. Laparoscopic treatment of abdominal complications following ventriculoperitoneal shunt. J Med Life 2009;2:426–436.
[PubMed] [PMC]6. Borgbjerg BM, Gjerris F, Albeck MJ, Børgesen SE. Risk of infection after cerebrospinal fluid shunt: an analysis of 884 first-time shunts. Acta Neurochir (Wien) 1995;136:1–7.
[Article] [PubMed]7. Jamjoom AA, Waliuddin AR, Jamjoom AB. Brain abscess formation as a CSF shunt complication: a case report. Cases J 2009;2:110.
[Article] [PubMed] [PMC]8. Crum-Cianflone N, Truett A, R Wallace M. Cryptococcal meningitis manifesting as a large abdominal cyst in a HIV-infected patient with a CD4 count greater than 400 cells/mm(3). AIDS Patient Care STDS 2008;22:359–363.
[Article] [PubMed] [PMC]
