혈액투석 중 감염성 심내막염에 의한 건삭파열과 급성 승모판 폐쇄부전증
- 최보미, 김인수, 최지연, 이영복, 김영옥
Chordae Rupture and Acute Mitral Regurgitation Associated with Infective Endocarditis in a Patient Undergoing Hemodialysis
- Bo Mi Choi, In Soo Kim, Jiyeon Choi, Yeongbok Lee, Young Ok Kim
- Received December 31, 2016; Revised February 10, 2017; Accepted February 13, 2017;
- Abstract
-
혈액투석 환자에서 급성 폐부종은 흔하게 발생하는 합병증으로 주로 체액 과다 혹은 심부전증이 주요 원인이다. 심부전증은 주로 허혈성 심질환이나 좌심실비대 등에 의해 만성적으로 나타나나 본 증례와 같이 매우 드물게 감염성 심내막염에 의해 승모판 건삭파열과 급성 승모판 폐쇄부전증에 의해 발생할 수 있다. 그러므로 호흡곤란 등의 임상 증세 외에 고열과 염증 소견이 동반되는 경우에는 심초음파를 시행하여 감염성 심내막염과 이와 관련된 합병을 조기에 발견하여 치료해야 할 것으로 사료된다.
- Abstract
-
Acute pulmonary edema in patients undergoing hemodialysis is a common cause of hospital admission and is often associated with fluid overload or congestive heart failure. Here, we report a rare case of chordae rupture and consequent severe mitral valve regurgitation due to infective endocarditis presenting as sudden onset pulmonary edema after properly conducted hemodialysis.
- 서 론
- 서 론
혈액투석 중 다양한 원인에 의해 급성 폐부종이 발생할 수 있으며, 급성 폐부종은 혈액투석 환자에서 응급 혈액투석 혹은 입원 치료를 필요로 하는 흔한 합병증이다. 혈액투석 환자 중 2%는 말기 신부전의 합병증으로 중환자실 치료가 필요하며, 그중 급성 폐부종을 포함한 심혈관 질환이 입원을 필요로 하는 가장 흔한 원인을 차지한다[1,2]. 혈액투석 환자에서 급성 폐부종의 원인으로는 체액 과다가 가장 흔하며, 심질환에 의해 급성 폐부종이 발생하는 경우에는 일반적으로 허혈성 심질환이나 부정맥, 심부전이 원인이다[1,2].혈액투석 환자에서 감염성 심내막염은 드물지 않게 발생하며, 조기에 발견하여 치료하지 않으면 사망률이 매우 높다. 저자들은 혈액투석 환자에서 승모판의 감염성 심내막염에 동반된 건삭파열 및 이로 인한 승모판 폐쇄부전에 의한 급성 폐부종을 경험하였기에 이를 문헌고찰과 함께 보고하는 바이다.
- 증 례
- 증 례
32세 남자가 내원 당일부터 시작된 호흡곤란 및 발열을 주소로 응급실을 방문하였다. 8년 전 고혈압 및 만성 신부전을 진단받고 2년 전 말기 신부전으로 진행되어 타 병원에서 유지 혈액투석 중이었으며, 3개월 전 유사한 증상으로 폐렴 진단 하에 항생제 치료를 받았던 병력이 있었다.내원 당시 호흡곤란 및 발열 외에 기침, 가래 등의 동반 증상은 없었으며, 활력 징후는 혈압 131/89 mmHg, 심박동수 108회/분, 호흡수 30회/분, 체온 37.8℃였다. 청진상 양측 폐 영역에서 수포음이 들렸으나 빈맥으로 인하여 심잡음은 확인되지 않았다. Osler's node나 Roth spot 등은 관찰되지 않았다. 동맥혈 가스 분석에서 pH 7.434, 이산화탄소분압 34.3 mmHg, 산소분압 66.0 mmHg, 중탄산염 22.5 mmol/L, 산소포화도 92.7%였다. 말초혈액 검사 결과는 혈색소 7.2 g/dL, 적혈구 용적률 23.7%, 백혈구 12,970/mm3 (중성구 84.9%), 혈소판 274 × 103/mm3였고, 혈청 생화학 검사 결과는 혈중요소질소 34.7 mg/dL, 크레아티닌 10.46 mg/dL, 총 단백질 6.7 g/dL, 알부민 3.6 g/dL, 나트륨 136 mEq/L, 칼륨 4.4 mEq/L, 클로라이드 98 mEq/L, C 반응성단백질(CRP) 7.80 mg/L (정상 범위: < 0.3)로 측정되었다. C3, C4, rheumatoid factor, anti-dsDNA Ab 및 anti-GBM Ab는 모두 정상 범위 또는 음성 소견이었다. 흉부 엑스선 촬영에서는 양측 폐음영이 증가되어 있는 폐부종이 관찰되었고, 이전과 비교하여 심장비대 소견이 동반되어 있었다(Fig. 1A). 흉부 전산화단층촬영에서 양측 폐부종 및 심비대, 소량의 늑막액과 심낭액이 확인되었고, 폐렴 의심 소견은 보이지 않았다(Fig. 1B).내원 초기 유지 혈액투석을 받고 있는 투석 환자에서 체액 과다에 의한 심한 급성 폐부종으로 판단하여 응급 혈액투석을 시행하였다. 투석 후 흉부 엑스선에서 폐부종은 호전되었으나 심장비대 소견은 지속되었다. 추가로 확인한 심장 표지자 검사는 troponin I 양성, troponin T 0.520 ng/mL (정상범위: < 0.099), B-type natriuretic peptide (BNP) 27,863 pg/mL (정상 범위: 5-125)로 측정되었으며, 심전도에서 심박수 102회의 동성빈맥 및 V2-3에 이상 Q파가 관찰되어 심초음파를 시행하였다. 경흉부 심초음파에서 심박출률은 64%로 정상 범위에 있었으나 양심방의 비대와 함께 승모판에 1.07 × 0.45 cm 크기의 우종 및 중증 승모판 폐쇄부전이 발견되었다(Fig. 2). 이어서 시행한 경식도 심초음파 검사 결과 승모판 전엽의 외측에 2개 이상의 다발성건삭파열(chordae rupture)과 이로 인한 중증 승모판 폐쇄부전이 확인되었다(Fig. 3).환자의 신체 검진상 immunologic phenomena인 Osler's node나 Roth spot 등은 관찰되지 않았으나, 심초음파 검사상 감염성 심내막염이 의심되어 곧바로 혈액 배양 검사를 하고, 경험적 항생제로 vancomycin을 투여하고 흉부외과로 전과하여 응급으로 개흉술을 시행하였다. 수술시 심초음파에서 보였던 1 cm 가량의 우종을 확인하고 제거하였으며 승모판치환술을 시행하였다. 내원 당일 시행했던 혈액 배양 검사 최종 결과에서 vancomycin, teicoplanin에만 감수성을 보이는 그람 양성 간균(Enterococcus faecalis)이 배양되어 vancomycin 항생제를 계속 투여하였다. 수술 후 28일째 시행한 심초음파에서 심박출률이 51%로 이전보다 약간 감소하였으나 치환된 인공 승모판이 잘 기능하고 있는 것을 확인하였고, 항생제는 총 6주 사용하였으며 와파린 용량 조절하여 술 후 51일째 퇴원하였다. 퇴원 후 외래에서 특별한 증상 없이 경과 관찰 중에 있다.
- 고 찰
- 고 찰
본 증례는 급성 폐부종을 동반한 혈액투석 환자에서 감염성 심내막염에 동반된 건삭파열 및 이로 인한 승모판 폐쇄부전을 진단하고 승모판 치환술을 시행하여 호전된 증례이다. 본 환자는 타 병원에서 혈액투석을 받다가 호흡곤란으로 전원되어 정확한 체중 증가를 알 수 없었으나 흉부 엑스선 사진에서 양측 폐부종 외에 과거보다 심음영이 증가되어 있어 체액 증가가 급성 폐부종의 원인일 것으로 판단하여 응급 혈액투석을 시행하였다. 그러나 투석 후에도 폐부종이 호전되지 않고 심장비대 소견이 지속되었으며, V2-3에서 이상 Q파가 있어 응급 투석 이후 허혈성 심질환에 대한 감별을 위하여 심초음파를 시행하였다. 심초음파 소견과 혈액 배양 검사 결과를 종합하여 감염성 심내막염(definite infective endocarditis by Duke criteria)으로 인한 건삭파열 및 급성 승모판 폐쇄부전증을 진단하였다.수년간 주 2-3회의 유지 혈액투석을 시행한 환자는 잔여 신기능이 거의 없고 심부전증의 유병률이 높기 때문에 급성폐부종은 흔하게 나타나는 합병증이다. 혈액투석 환자에서 혈액투석 간 체중 증가(25%) 및 건체중의 잘못된 설정으로 인한 체액 과다(23%), 혹은 투석의 중단으로 인한 수분 저류(8%)가 급성 폐부종의 흔한 원인이며, 폐에 동반된 감염(27%) 및 허혈성 심질환(11%)도 폐부종을 유발할 수 있는 원인으로 되어 있다[1].건삭파열은 중증 급성 승모판 폐쇄부전의 가장 흔한 원인이며 폐부종 및 급성 좌심부전을 유발할 수 있어 즉각적인 수술이 필요할 수 있는 생명을 위협하는 응급 질환이다. 건삭파열은 건강한 사람에게서 이유 없이 유발되기도 하지만 점액성 변성, 류마티스성 심장 질환, 급성 심내막염, 흉부 외상, 전신적인 결체조직 질환, 허혈성 심부전 외 다른 심장 판막 질환에 의해서 일어날 수 있다고 보고되고 있다[3].본 증례의 경우 감염성 심내막염의 합병증으로서 건삭파열에 의한 급성 승모판 폐쇄부전이 발생하였다. 혈액투석 환자의 경우 동정맥루나 투석관을 통한 피부 상재균의 유입, 만성 신부전에 의한 면역 기능의 저하 등과 관련하여 감염성 심내막염이 발생할 수 있으며 혈액투석을 받는 100명의 환자 중 1명 정도가 균혈증에 노출된다[4]. 말기 신부전 환자에서는 감염성 심내막염이 1,000명당 1.7-2.0명 정도 발병하고 이는 일반인에 비해서 약 50-60배 정도 되는 것으로 보고되었다[5]. 본 환자의 경우 혈액투석을 시작할 당시 시행한 심음청진 및 심전도 소견상 특이 소견을 보이지 않았고, 입원시 시행한 검사에서도 류마티스 질환을 의심할만한 소견은 관찰되지 않았다. 그러나 동정맥루를 가진 만성 신부전 환자로서 지속적인 혈액투석을 받고 있었다는 점에서 감염성 심내막염의 고위험자라고 생각할 수 있다.말기 신부전 환자에게 균혈증에 의한 패혈성 쇼크나 감염성 심내막염 등의 치명적인 합병증이 동반될 경우 사망 가능성이 높아지기 때문에 신속한 치료가 요구된다. 따라서 평소 혈액투석을 적절하게 받고 있던 안정적인 상태의 환자에서 급성 폐부종이 발생하였을 경우 동반될 수 있는 급성 감염성 질환 및 심장 질환에 대한 평가가 신속하게 이루어지는 것이 중요하다. 본 증례에서도 빈맥으로 인하여 정확한 청진이 어려운 상황에서 심초음파 검사를 통해 정확한 진단과 적절한 치료가 가능하였다.
Figure 1.
Radiological findings. (A) Chest X-ray shows hazy opacity in upper and lower lobes with an enlarged cardiac silhouette. (B) Computed tomography scan reveals bilateral pulmonary edema and cardiomegaly with pericardiac effusion.
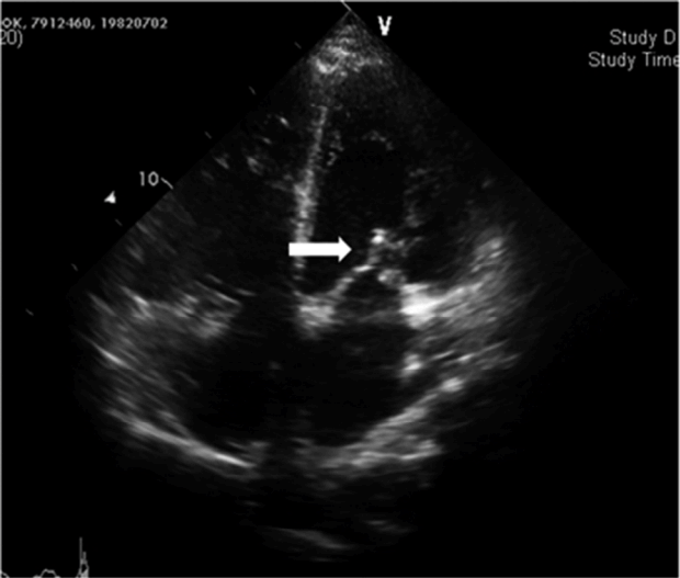
Figure 2.
Transthoracic echocardiogram shows a frail mass (white arrow) dangling from the antero-lateral leaflet of the mitral valve (1.07 ± 0.45 cm).
Figure 3.
Transesophageal echocardiogram reveals severe mitral regurgitation associated with multiple ruptured chordae.
- References
- References
REFERENCES
1. Halle MP, Hertig A, Kengne AP, Ashuntantang G, Rondeau E, Ridel C. Acute pulmonary oedema in chronic dialysis patients admitted into an intensive care unit. Nephrol Dial Transplant 2012;27:603–607.
[Article] [PubMed]2. Headley CM, Wall BM. Flash pulmonary edema in patients with chronic kidney disease and end stage renal disease. Nephrol Nurs J 2007;34:15–2637quiz 27-28.
[PubMed]3. Gabbay U, Yosefy C. The underlying causes of chordae tendinae rupture: a systematic review. Int J Cardiol 2010;143:113–118.
[Article] [PubMed]4. Abbott KC, Duran M, Hypolite I, Ko CW, Jones CA, Agodoa LY. Hospitalizations for bacterial endocarditis after renal transplantation in the United States. J Nephrol 2001;14:353–360.
[PubMed]5. Hoen B, Alla F, Selton-Suty C, et al. Changing profile of infective endocarditis: results of a 1-year survey in France. JAMA 2002;288:75–81.
[Article] [PubMed]6. Bonow RO, Carabello B, de Leon AC Jr, et al. Guidelines for the management of patients with valvular heart disease: executive summary. A report of the American college of cardiology/American heart association task force on practice guidelines (Committee on Management of Patients with Valvular Heart Disease). Circulation 1998;98:1949–1984.
[Article] [PubMed]7. Kaymaz C, Ozdemir N, Ozkan M. Differentiating clinical and echocardiographic characteristics of chordal rupture detected in patients with rheumatic mitral valve disease and floppy mitral valve: impact of the infective endocarditis on chordal rupture. Eur J Echocardiogr 2005;6:117–126.
[Article] [PubMed]
