뇌하수체 선종으로 감마나이프 치료 시행 후 발생한 뇌하수체 상피양 골육종 1예
- 박소영, 김유진, 이은정, 최재신, 김재현, 진상만, 허규연
Pituitary Epithelioid Osteosarcoma after Gamma-knife Surgery of a Pituitary Adenoma
- So Young Park, You Jin Kim, Eun Jeong Lee, Jae Shin Choi, Jae Hyeon Kim, Sang Man Jin, Kyu Yeon Hur
- Received May 16, 2016; Revised September 29, 2016; Accepted October 16, 2016;
- Abstract
-
본 증례는 수술 및 감마나이프 치료로 뇌하수체 선종을 치료하고 추적 관찰 중이던 환자에서 13년 후 뇌하수체 상피양 골육종이 확인된 증례이다. 고전적 방사선 치료와 관련된 이차성 종양의 발생에 대하여는 잘 알려져 있으나 상대적으로 저선량이 사용되는 정위적 방사선 치료에서는 이와 관련된 보고는 매우 드물다. 정위적 방사선 치료 후 발생하는 이차성 종양은 흔하지 않으나 임상 의사가 염두에 두어야 하는 부작용 중 하나이므로 증례보고하는 바이다.
- Abstract
-
With the increasing use of stereotactic radiosurgery, recent reports have suggested that stereotactic radiosurgery may induce secondary malignancies. While the risk of secondary malignancy after conventional radiotherapy is well known, its development after stereotactic radiosurgery has been reported in only a few cases. Here we present the case of a 56-year-old female with visual disturbance of sudden onset. She underwent trans-sphenoidal surgery for a pituitary adenoma 13 years earlier. Imaging studies revealed a newly developed pituitary mass invading the right carvenous sinus. Gross total resection of the tumor was performed using a trans-sphenoidal and pterygopalatine fossa approach. The histological diagnosis was pituitary epithelioid osteosarcoma. Clinicians should be aware of the rare occurrence of radiation-induced pituitary sarcoma as a potentially fatal late complication of stereotactic radiosurgery.
- 서 론
- 서 론
뇌하수체 선종은 수술적 치료 또는 약물 치료가 우선되나, 이러한 치료에 실패하거나 재발한 경우에는 감마나이프 치료(gamma knife radiosurgery)와 같은 정위적 방사선 치료(stereotactic radiotherapy)가 한 가지 치료법이 될 수 있다. 그러나 중추신경계의 정위적 방사선 치료 수년에서 수십 년 이후 이차성 종양의 발생 가능성이 보고되고 있다[1]. 고전적 방사선 치료(conventional radiotherapy)와 관련된 이차성 종양의 발생에 대하여는 잘 알려져 있으나 상대적으로 저선량이 조사되는 감마나이프 치료와 같은 정위적 방사선 치료에서는 이와 관련된 보고는 매우 드물다[2]. 이에 본 증례는 뇌하수체 선종에 대한 감마나이프 치료 후 발생하였던 뇌하수체 상피양 골육종 증례이다.
- 증 례
- 증 례
환 자: 56세 여자주 소: 시야 장애현병력: 1주 전부터 발생한 시야 장애를 주소로 본원을 내원하였으며 그 이외 두통이나 오심, 구토 등의 증상 호소는 없었다.과거력: 내원 13년 전 2년 동안의 복시로 본원을 내원하였으며 검사상 3.0 × 2.1 cm 크기의 비기능성 뇌하수체 선종이 진단되어 접형동을 통한 종양절제술(transsphenoidal approach)을 시행받았다. 수술 후 영상 검사상 우측 해면정맥동(carvernous sinus) 부위에 잔여 종양이 확인되어 수술 4개월 후 감마나이프 수술(20 Gy, 50% isodose; target volume 1,200 mm3)을 추가로 시행받았다(Fig. 1). 이후 잔여 종양은 크기가 크게 감소하였고 시야 장애 증상도 회복되어 2년마다 추적 관찰 중이었다. 내원 1년 전 시행한 영상 검사상 특별한 변화는 없었으며 호르몬 검사상 이상 소견이 없었다(Fig. 2).그 이외 과거력으로는 내원 10년 전 당뇨병 진단 후 본원 내분비내과에서 경구 혈당 강하제 투약을 시작하였으며, 내원 9년 전부터 하시모토 갑상선염 진단하 갑상선호르몬 복용을 유지하고 있었다. 내원 3년 전인 53세에 폐경되었다.가족력 및 사회력: 가족력 및 사회력에서 특이 사항은 없었다.신체 검진: 의식 변화는 없었으며, 혈압 119/71 mmHg, 맥박수 74회/분, 호흡수 16회/분, 체온 36.2℃, 신장 156 cm, 체중 56 kg이었다. 신경학적 검사상 안구운동 장애가 확인되었다. 추가로 시행한 안과 검진상 원거리에서 정면, 상측, 하측 주시시 15 prism diopters (PD)의 내사시, 우측 주시시 25 PD의 내사시, 좌측 주시시 4 PD의 내사시가 확인되었고 근거리에서 정면 주시시 10 PD의 내사시가 확인되었다. 동향, 이향 운동 검사상 Scott and Kraft -2점(정상의 50%) 정도의 우안 외전 장애가 확인되어 이는 모두 우측 6번 뇌신경 마비에 합당한 소견이었다. 안구운동 장애 이외 신경 기능 및 건반사는 정상이었다.검사실 검사 소견: 일반 화학 검사상 이상 소견은 없었다.방사선 검사 소견: 이전 잔여 종양이 있었던 우측 해면정맥동 부위에 종양의 현저한 증가가 확인되며 우측 접형동(phenoid sinus) 및 중두개와(middle cranial fossa) 방향으로 자라나고 있었다(Fig. 3).호르몬 검사 소견: 기본 호르몬 검사상 기저 프로락틴(prolactin) 5.8 ng/mL (정상 범위 3.5-17.9), 성장호르몬(human growth hormone) 0.89 ng/mL (정상 범위 0-9.43), 부신피질자극호르몬(adrenocorticotropic hormone) 45.6 pg/mL (정상 범위 0-60.0), 갑상선자극호르몬(thyroid stimulating hormone) 5.55 uIU/mL (정상 범위 0.3-6.50), 난포자극호르몬(follicle stimulating hormone) 24.6 mIU/mL (정상 범위 0.3-93.3), 황체형성호르몬(luteinizing hormone) 10.3 mIU/mL (정상 범위 0-52.8)로 확인되었다. 폐경기 여성에게서 보이는 성선호르몬의 상승이 확인되지 않았으며, 그 이외에 호르몬 수치는 정상이었다. 복합뇌하수체자극 검사에서는 성장호르몬 최대 반응이 2.01 ng/mL (성장호르몬 정상 최대 반응 3 mg/mL 이상)로 적절한 자극이 이루어지지 않았다. 그 이외 호르몬은 정상 자극 반응을 보였다(Table 1). 따라서 뇌하수체 종양에 의한 뇌하수체 기능 저하가 의심되는 상황이었다.임상 경과: 뇌하수체 종양에 대하여 조직검사를 시행하였고 악성 비상피성 종양(malignant non-epithelial tumor) 소견으로 정확한 진단 및 치료 목적으로 재수술을 결정하였다. 익구개와 및 접형동을 통한 내시경적 뇌하수체 종양절제술을 시행하였고 병리 검사상 최종적으로 뇌하수체 상피양 골육종으로 진단되었다(Fig. 4). 육안상의 종양은 모두 제거하였으나 잔여 종양 가능성으로 추가 양성자 치료를 진행 중에 있다.
- 고 찰
- 고 찰
고전적 방사선 치료와 관련된 이차성 종양의 발생 가능성은 잘 알려진 부작용이며[3], 그중 뇌하수체 고전적 방사선 치료 후 발생한 이차성 종양에 대해서도 알려져 있다[4,5]. 2005년에 발표된 426명의 뇌하수체 고전적 방사선 치료를 받았던 환자를 추적 관찰한 연구에서는 11명에서 이차성 종양이 확인되었으며 10년 누적 발생률은 2.0%, 20년 누적 발생률은 2.4%로 보고하였고 주로 뇌수막종(meningiomas), 별아교세포종(astrocytomas)으로 진단되었다[6].고전적 방사선 치료 후 뇌하수체 육종이 발생하였던 증례도 1959년 첫 보고 이후 지속적으로 보고되었다. 2010년 발표된 논문에서는 뇌하수체 방사선 치료 후 발생한 육종에 대하여 이전 보고된 52개 증례를 정리하였고 정확한 방사선 치료법이 기술된 26명의 환자는 모두 고전적 방사선 치료를 받은 경우였다[7]. 그중 69%는 단회 조사된 환자였고 선량은 중앙값 44.14 Gy 및 최소 35.0 Gy, 방사선 치료 후 육종 진단까지 기간의 중앙값은 10.14년이었다. 그 환자들의 예후는 대부분 불량하였고 이차성 육종 진단 후 1년 이상 생존자는 40%뿐이었다.최근 정위적 방사선 치료가 늘어나면서 상대적으로 저선량이 사용되는 정위적 방사선 치료에서도 이차성 종양이 발생한 증례가 여러 차례 보고되었다[8,9]. 대개는 악성 교종 또는 악성 말초신경초종양(malignant peripheral nerve sheath tumor)이 발생하였으며 그 이외 육종, 뇌수막종 및 청신경초종(vestibular schwannomas)이 발생하였던 보고도 있다. 그중에서도 본 케이스와 같이 감마나이프 치료 이후 확인된 뇌하수체 육종에 대한 보고는 매우 드물다.본 증례는 뇌하수체 선종을 진단받은 환자에게 수술적 치료 이후 감마나이프 치료로 50% isodose line에서 20 Gy 방사선이 조사되었고 12년 11개월 이후 갑작스런 신경학적 증상으로 내원하여 상피양 골육종이 확인된 증례이다. 일반적으로 방사선과 연관된 종양을 진단하는데 적용되는 기준(Cahan’s criateria)인 방사선이 조사된 부위에서 발생하였다는점, 최소 4년 이상의 기간이 지났다는 점, 첫 진단되었던 종양과 병리학적으로 완전히 다르다는 점, Li-Fraumeni, Rothmaund-Thomson과 같은 악성 종양증후군의 증거가 없다는 점은 본 증례에서도 모두 합당하였다[10].방사선 관련 종양은 높은 선량에서 선량에 비례하여 주로 발생하며 소아에서 더 감수성이 높은 것으로 알려져 있으며 그 선량은 대개 성인에서는 40 Gy 이상, 소아에서는 15 Gy이상으로 알려져 있다. 또한 최근 연구에서는 매우 고선량으로 방사선을 조사한 경우 오히려 방사선 관련 종양의 발생은 줄어든다고 보고하고 있다. 이는 아마도 세포사멸(cell death, cytotoxic)을 유발하지 않으면서 유전적 손상(genetic damage, mutagenic)을 일으키기에 적절한 선량에서 이차성 종양이 발생하기 때문으로 설명되고 있다[1]. 정위적 방사선 치료의 경우에도 일반적으로 알려진 선량보다 적은 선량이 조사되지만 유전적 손상을 일으켜 이차성 종양이 발생할 수 있고 아마도 유전적 감수성, 첫 방사선 노출 당시의 나이 등의 위험 인자가 관여할 것으로 생각된다.그러나 정위적 방사선 치료 관련 이차성 종양은 긴 잠복기와 낮은 발생률로 인하여 이에 대한 정확한 대규모의 역학조사는 어려운 상황이다. 2007년의 후향적 코호트 연구에서는 약 5,000명의 환자, 30,000환자-년(patient-years)을 추적 관찰하였으나 단 한 환자에서만 별아교세포종이 새로 확인되었다[2]. 문헌으로 보고된 증례들을 모아 다시 분석한 2014년 보고에서 추정하는 정위적 방사선 치료 관련 이차성 종양의 위험성은 15년에 0.04%로 발표하였으나[1], 얼마나 신뢰할만한 지표인지는 분명치 않다. 정위적 방사선 치료가 널리 이용됨과 동시에 이차성 종양에 대한 장기간의 대규모 연구가 필요한 상황이다.
Figure 1.
(A, B) Magnetic resonance imaging (MRI) of the sella at the time of the first diagnosis. Pituitary macroadenoma (3.0 × 2.1 cm) with invasion of the right cavernous sinus. (C, D) MRI of the sella after the first operation. Only subtotal removal of the pituitary tumor was achieved; residual tumor is seen in the right cavernous sinus (arrow).
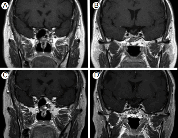
Figure 2.
Magnetic resonance imaging (MRI) of the sella during the follow-up period. (A, B) MRI of the sella 9 years ago. The size of the residual mass in the medioinferior aspect of the right cavernous sinus has decreased slightly. (C, D) MRI of the sella 1 year ago. There are no newly developed lesions in the area of the sella.
Figure 3.
Magnetic resonance imaging of the sella in a patient with a pituitary epithelioid osteosarcoma who underwent gamma-knife surgery for a pituitary adenoma 13 years ago. The image shows a large mass around the right cavernous sinus with inferior extension to the right sphenoid sinus and adjacent bone.
Figure 4.
(A, B) Pathological findings of the primary tumor, determined to be a nonfunctioning pituitary adenoma. The tumor consists of sheets of monomorphic round tumor cells without significant atypia (A: H&E ×200, B: H&E ×400). (C, D) Pathologic findings of a pituitary epithelioid osteosarcoma. (C) Nests of tumor cells with osteoid deposits (H&E ×200). (D) Epithelioid tumor cells showing prominent nucleoli and frequent mitosis. A fine lace-like osteoid matrix is seen among the tumor cells on the left (H&E ×400).
Table 1.
Basal pituitary function test and combined pituitary stimulation test
- References
- References
REFERENCES
1. Patel TR, Chiang VL. Secondary neoplasms after stereotactic radiosurgery. World Neurosurg 2014;81:594–599.
[Article] [PubMed]2. Rowe J, Grainger A, Walton L, Silcocks P, Radatz M, Kemeny A. Risk of malignancy after gamma knife stereotactic radiosurgery. Neurosurgery 2007;60:60–65discussion 65-66.
[Article] [PubMed]3. Ron E, Modan B, Boice JD Jr, et al. Tumors of the brain and nervous system after radiotherapy in childhood. N Engl J Med 1988;319:1033–1039.
[Article] [PubMed]4. Brada M, Ford D, Ashley S, et al. Risk of second brain tumour after conservative surgery and radiotherapy for pituitary adenoma. BMJ 1992;304:1343–1346.
[Article] [PubMed] [PMC]5. Jones A. Radiation oncogenesis in relation to the treatment of pituitary tumours. Clin Endocrinol (Oxf) 1991;35:379–397.
[Article] [PubMed]6. Minniti G, Traish D, Ashley S, Gonsalves A, Brada M. Risk of second brain tumor after conservative surgery and radiotherapy for pituitary adenoma: update after an additional 10 years. J Clin Endocrinol Metab 2005;90:800–804.
[Article] [PubMed]7. Berkmann S, Tolnay M, Hänggi D, Ghaffari A, Gratzl O. Sarcoma of the sella after radiotherapy for pituitary adenoma. Acta Neurochir (Wien) 2010;152:1725–1735.
[Article] [PubMed]8. Yang T, Rockhill J, Born DE, Sekhar LN. A case of high-grade undifferentiated sarcoma after surgical resection and stereotactic radiosurgery of a vestibular schwannoma. Skull Base 2010;20:179–183.
[Article] [PubMed] [PMC]
