자발적으로 발생한 재발성 간의 피막하 혈종 1예
- 최재신, 김유진, 박소영, 이수연, 이은정, 신동현
Recurrent Spontaneous Subcapsular Hematoma of the Liver
- Jae Shin Choi, Youjin Kim, So Young Park, Su Yeon Lee, Eun Jeong Lee, Dong Hyun Sinn
- Received March 20, 2016; Revised May 12, 2016; Accepted May 22, 2016;
- Abstract
-
외상 또는 응고 장애 등이 동반되지 않는 상태에서 자발적인 피막하 혈종의 발생은 드문 경우이다. 드문 원인이지만 증례로 보고된 경우는 임신과 연관된 자간전증 또는 전자간증 및 hemolysis, elevated liver enzymes, low platelets (HELLP) 증후군 등이 있으며 간세포암종, 간샘종 및 간의 악성 및 양성 종양의 파열과의 연관성이 보고된 바가 있다. 또는 의학적 시술, 감염, 약물에 의한 간자색반병도 일부 보고되어 있다.본 증례는 외상이나 응고 장애 등이 동반되지 않는 상태에서 반복적으로 피막하 혈종이 발생하였으며, 여러 문헌고찰을 통해 확인된 가능한 원인들에 대해 감별하였으나 뚜렷한 원인을 밝혀낼 수는 없었다. 다만, 가능성을 완전히 배제하기 어려웠던 기생충 감염에 대해 항구충제 치료 및 타목시펜 복용과 연관된 간자색반병의 가능성에 대해 타목시펜 중단 등의 조치를 취하였으며, 이후 반복적으로 발생하던 경과가 임상적으로 호전되는 양상을 보였다. 이에 비록 관찰 기간이 충분하게 길지 않지만, 문헌고찰과 함께 보고하는 바이다.
- Abstract
-
A spontaneous subcapsular hematoma of the liver is an unusual clinical phenomenon and is usually associated with trauma, surgery, tumor or pregnancy. We report a case of a recurrent spontaneous subcapsular hematoma of the liver without an identifiable cause. A 52-year-old female presented to the emergency room with acute abdominal pain localized in the right upper quadrant area. Diagnostic workup revealed a subcapsular hematoma in the segment 8 area. The laboratory evaluation was also normal. She was managed conservatively. However, two months later another episode of abdominal pain in the right upper quadrant recurred. Diagnostic workup showed recurrence of a subcapsular hematoma in the segment 6 area. Follow-up evaluation revealed resorption of the previous subcapsular hematomas, as well as a new lesion in the segment 1 area. Herein, we discuss potential causes of this spontaneous subcapsular hematoma of the liver.
- 서 론
- 서 론
간의 피막하 혈종(subcapsular hematoma)이란 Glisson capsule 밑에 혈액이 고이는 것을 말한다[1]. 간의 피막 밑에 혈액이 고이는 경우는 간헐적으로 보고되는데, 간헐적으로 보고되는 증례들의 경우 대부분 외상, 의학적 처치, 간종괴의 파혈 또는 혈액응고 장애 등 출혈의 원인이 될 이유들이 확인되며, 뚜렷한 원인이 발견되지 않는 경우는 더욱 드물다[1]. 또한 피막하 출혈은 대부분 일회성의 임상 경과를 보이는 것으로 보고되고 있으며, 반복적으로 재발하는 임상 경과를 보이는 경우는 더욱 드물다. 저자들은 특별한 원인을 확인할 수 없었으며, 반복적으로 간의 피막하 혈종을 보였던 증례를 경험하여 문헌고찰과 함께 보고하고자 한다.
- 증 례
- 증 례
환 자: 52세 여자주 소: 반복되는 우상복부 통증현병력: 4개월 전 우상복부 통증으로 외부병원 응급실을 방문하였으며, 영상 검사상 S8 구역에 약 13 cm 크기의 피막하 혈종이 확인되었다. 당시 특별한 원인이 발견되지 않았으며, 생체 징후 안정적으로 보존적 치료를 시행 후 회복하여 퇴원하였다. 이후 경과 관찰 중 2개월 전 우상복부 통증이 재발하여 외부병원 응급실에서 다시 확인한 결과, 과거 피막하 혈종은 크기가 감소하였으나, S6 구역에서 새로운 피막하 혈종이 확인되었다. 출혈 지속 여부 확인을 위해 혈관조영술을 시행하였으나 활동성의 출혈 부위는 없었으며 추가 생체징후 등은 안정적이어서 보존적 치료를 시행하였다. 이후 복통은 호전되었고, 안정적 상태로 퇴원하였으나, 일회성이 아닌 반복성의 경과를 보여, 원인 및 치료에 대해 재상담을 희망하여 본원에 내원하였다.과거력: 기저 고혈압이 있어 amlodipine 5 mg 1일 1회 복용중에 있으며, aspirin 또는 warfarin을 포함한 항혈소판제 및 항응고제의 복용 이력은 없었다. 4년 전 좌측 유방암 진단 후 유방절제술을 시행받았고, 이후 에스트로겐 수용체 양성 소견으로 타목시펜 투약을 시작하였으며 내원 시까지 20 mg 1회/일을 투약하고 있었다.사회력 및 가족력: 특이 병력은 없었다.신체 진찰 소견: 혈압 162/84 mmHg, 맥박 90회/분, 호흡 수 20회/분, 체온 36.7℃였으며 우상복부 촉진시 경미한 압통이 있었으나 반발 압통은 없었다. 장기 비대 소견은 없었고, 종괴는 촉진되지 않았다.검사실 소견: 말초혈액 검사에서 백혈구 5,070/mm3 (호중구 51%, 호산구 2.8%, 호염구 0.8%, 림프구 36.1%), 혈색소 13.5 g/dL 및 혈소판 162,000/mm3로 정상 범위였다. 간의 피막하 혈종 발생 이전 혈소판의 수치는 이전 3년간 150,000-200,000/mm3의 범위로 안정적으로 유지 중이었다. 생화학 검사는 모두 정상 범위였다. 혈액 응고 검사는 prothrombin time 13.3 sec, international normalized ratio 1.01, activated partial thromboplastin time 32.4 sec, fibrinogen 281 mg/dL, platelet function test와 aggregation test 정상 소견이었으며 추가로 시행한 von Willebrand factor 및 factor VIII 검사 모두 정상 소견이었다. 종양 표지자 검사는 carcinoembryonic antigen, cancer antigen 19-9, alpha-fetoprotein를 시행하였으며 모두 정상 범위 내에 있었다. B형 간염 바이러스 관련 검사는 hepatitis B (HB) virus surface antigen(-), anti-HBs Ab(+), anti-HBc IgG(-)였으며 C형 간염 바이러스 관련 검사에서 anti-hepatitis C virus Ab(-)였다. 인체 면역 결핍 바이러스(human immunodeficiency virus) 검사도 음성이었다. Enzyme-linked immunosorbent assay 기반 기생충 항체 검사에서 간흡충(Clonorchis sinensis) 항체에 대해 0.055로 음성이었으며(양성 cutoff: 0.234), 폐흡충(Paragonimus westermani)에 대해서는 0.278로 양성 소견이었다(양성 cutoff: 0.232). 개회충(Toxocara canis) 항체 검사는 음성이었다. 대변 검사에서 기생충은 확인되지 않았다.영상 검사 소견: 4개월 전 우상복부 통증이 처음 발생하였을 당시 시행한 외부 복부 영상에서 우측 간의 S8에 13 cm의 렌즈모양(lentiform)의 피막하 혈종이 확인되었으며, 이 병변 이외에 다른 병변은 확인되지 않았다(Fig. 1). 2개월 전 우상복부 통증 재발시 시행한 외부 영상 검사에서는 이전에 확인된 S8 구획의 병변은 감소한 양성이었으나, S6 영역에 8.8 cm의 새로운 피막하 혈종이 확인되었다(Fig. 2). 본원에 내원하여 임상 경과를 확인하기 위해 다시 촬영한 복부 영상 검사에서 S8 및 S6 구역의 혈종은 크기가 감소하였으나 S1 영역에 1.7 cm 크기의 새로운 피막하 혈종이 관찰되었다(Fig. 3).치료 및 경과: 환자는 내원 당시 무증상인 상태였다. 기생충 반응 검사에서 확인된 폐흡충 양성 소견에 대해 praziquantel을 복용하였으며, 혈액종양내과와 상의 후 타목시펜 복용을 중지하였다. 이후 현재까지 4개월간 증상의 재발 없이 추적 관찰 중에 있다.
- 고 찰
- 고 찰
간의 피막하 혈종은 Glisson's capsule이 간의 실질 사이에 혈액이 축적되는 것을 의미하며, 일반적으로 우측 간에서 발생 비율이 약 75% 정도이다[1]. 간의 피막하 혈종은 영상 검사를 통해 진단할 수 있다. 컴퓨터단층촬영(computed tomography, CT)을 시행하면, 혈종은 비조영증강 CT에서 간실질보다 고음영을 보이게 되며, 응고되지 않는 경우라면 조영증강 후에는 간실질보다 저음영으로 보이게 된다. 자기공명영상(magnetic resonance imaging)에서는 T1, T2 강조 영상 모두에서 간실질보다 저강도 신호를 보이며, T2 강조 영상에서 더 뚜렷한 특징을 보인다[2]. 영상 검사는 저류된 액체의 특성뿐 아니라, 간실질내 병변이 있는지도 추가로 확인할 수 있다.문헌에 보고되고 있는 간 피막하 혈종의 원인들로는 크게 임신과 연관된 경우[3], 의학적 시술과 연관된 경우[4,5], 간내 종양이 파혈된 경우[6,7] 등과 연관된 보고들이 비교적 흔하다. 이 외에도 간 농양[8], 기생충 감염[9], 간자반병(peliosis hepatitis) [10]이 원인이며, 일부 원인 미상인 경우도 보고되고 있다[1]. 현재까지 보고된 간의 피막하 혈종의 원인들은 표 1에 정리하였다.본 증례도 비교적 잘 알려진 임신, 의학적 시술 또는 간내 종양 등 원인이 없었던 환자로, 증상이 몇 개월 간격을 두고 재발성 경과를 보이고 있었으며, 검사 시마다 간내 피막하 혈종 발생 부위가 달랐다는 점에서 현재 진행되는 원인이 있는 것으로 판단하였다. 재발성 경과를 보이고 있고, 피막하 혈종과 기생충과 연관성도 보고된 바 있으며, 기생충이 이동하면서 반복적으로 피막하 혈종을 유발하였을 가능성이 배제되지 않아, 가능한 기생충 관련 검사를 시행하였다. 검사 결과 폐흡충 반응이 양성 소견을 보였으나, 문헌상 폐흡층이 원인으로 보고된 바 없으며, 항체 반응만으로 폐흡충이 피막하 출혈의 원인으로 단정하기 어려웠다. Fasciola가 원인으로 보고되었으나 본 환자에서는 유충을 확인할 수는 없었다. 기생충이 피막하 출혈의 원인으로 확진할 수 없었으나, 위험-이득 고려하여 폐흡충 반응 양성에 대해서는 환자와 상의 후 구충제를 복용하기로 하였다. 또한 4년 동안 복용한 타목시펜이 현재 증상을 유발하였을 가능성 또한 완전히 배제할 수 없었다. 특히 타목시펜이 간자색반병의 유발 원인으로 보고된 바 있고, 간자색반병 또한 피막하 혈종의 원인으로 보고되고 있어, 혈액종양내과와 상의 후 타목시펜도 중단을 시행하는 것이 위험-이득 면에서 더 우월할 것으로 판단되어, 타목시펜 복용도 중단하도록 권고하였다.간의 피막하 혈종이 진단된 경우, 보존적 치료 또는 수술적 치료를 결정하는 데 있어 연속적인 영상 검사 및 혈색소 등의 혈액 검사 등을 시행하며 혈종이 진행하지 않는지 여부를 모니터링하는 것이 중요하다. 일반적으로 파열되지 않는 피막하 혈종은 보존적 치료를 시행하며, 예후는 양호하다[1]. 수술적 치료는 피막하 혈종의 파열 또는 파열이 임박한 경우에 대해 적용하는 것이 추천된다. 일반적으로 피막 파열시 75%가 사망한다[1]. 기존에 보고된 증례들 중 임신, 의학적 처치나 외상, 간내 종양의 파열과 연관된 증례를 제외한 다른 원인에 의한 치료 및 임상 경과는 표 2에 정리하였다.
- 요 약
- 요 약
외상 또는 응고 장애 등이 동반되지 않는 상태에서 자발적인 피막하 혈종의 발생은 드문 경우이다. 드문 원인이지만 증례로 보고된 경우는 임신과 연관된 자간전증 또는 전자간증 및 hemolysis, elevated liver enzymes, low platelets (HELLP)증후군 등이 있으며 간세포암종, 간샘종 및 간의 악성 및 양성 종양의 파열과의 연관성이 보고된 바가 있다. 또는 의학적 시술, 감염, 약물에 의한 간자색반병도 일부 보고되어 있다.본 증례는 외상이나 응고 장애 등이 동반되지 않는 상태에서 반복적으로 피막하 혈종이 발생하였으며, 여러 문헌고찰을 통해 확인된 가능한 원인들에 대해 감별하였으나 뚜렷한 원인을 밝혀낼 수는 없었다. 다만, 가능성을 완전히 배제하기 어려웠던 기생충 감염에 대해 항구충제 치료 및 타목시펜 복용과 연관된 간자색반병의 가능성에 대해 타목시펜 중단 등의 조치를 취하였으며, 이후 반복적으로 발생하던 경과가 임상적으로 호전되는 양상을 보였다. 이에 비록 관찰 기간이 충분하게 길지 않지만, 문헌고찰과 함께 보고하는 바이다.
Figure 1.
Magnetic resonance imaging finding at initial presentation. About 13 cm sized lentiform shape subcapsular hematoma was observed in the right liver, segment 8 area. (A) coronal view (T1) and (B) transverse view (T2) image. The arrow points to the edge of the subcapsular hematoma on the image.
Figure 2.
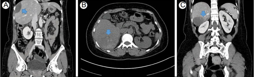
Computed tomographic finding at 2 months later. Previously observed large subcapsular hematoma was absorbed, and size was decreased. However, another 8.8 cm sized subcapsular hematoma was observed in the right liver, segment 6 area. (A) coronal view of computed tomography showing decreased size of previously observed hematoma, (B) transverse view and (C) coronal view of newly developed subcapsular hematoma. The arrow points to the edge of the subcapsular liver hematoma on the image.
Figure 3.
Computed tomographic (CT) findings at 4 months from initial presentation. Previously observed hematomas at liver segment 8 and 6 area were decreased in its’ size. However, another small subcapsular hematoma was observed in S1 area. (A) transverse view of CT showed interval decrease in size in S8 area, (B) transverse view of CT showed interval decrease in size in S6 area, and (C) transverse view of CT showed newly developed small lesion in S1 area. The arrow points to the edge of the subcapsular hematoma on the image.
Table 1.
Causes of subcapsular hematoma of the liver
| Causes | Reference number |
|---|---|
| Pregnancy related | Eclampsia/Preeclampsia [3], HELLP syndrome |
| Medical procedure related | Endoscopic retrograde cholangiopancreatography (ERCP) [4] |
| Extracorporeal shock wave lithotripsy (ESWL) | |
| Laparoscopic cholescystectomy [5] | |
| Liver transplantation | |
| Rupture of liver parenchymal disease | Hepatocellular carcinoma [6] |
| Angiomyolipoma [7], Hemangioma | |
| Adenoma | |
| Infection related | Liver abscess [8] |
| Parasite related | Fasciola [9] |
| Peliosis hepatis (PH) | Oxymetholone [10] |
| Tamoxifen | |
| Unknown | [1] |
Table 2.
Case specific treatments and clinical outcomes
| Cause/reference | Sex/age | Location/number | Rupture of capsule | Treatment | Course | Recurrence |
|---|---|---|---|---|---|---|
| Unknown [1] | M/41 | Right/single | No | Supportive | Survival | |
| Liver abscess [8] | M/59 | Right/single | No | External drainage | Survival | No |
| Antibiotics | ||||||
| Fasciola [9] | F/22 | Right/single | No | External drainage | Survival | No |
| Triclabendazole | ||||||
| Peliosis hepatis [10] | M/20 | Right/single | Yes | Embolization → ongoing bleeding → emergency Rt.hemihepatetomy | Survival | No |
- References
- References
REFERENCES
1. Ndzengue A, Hammoudeh F, Brutus P, et al. An obscure case of hepatic subcapsular hematoma. Case Rep Gastroenterol 2011;5:223–226.
[Article] [PubMed] [PMC]2. Casillas VJ, Amendola MA, Gascue A, Pinnar N, Levi JU, Perez JM. Imaging of nontraumatic hemorrhagic hepatic lesions. Radiographics 2000;20:367–378.
[Article] [PubMed]3. Anyfantakis D, Kastanakis M, Fragiadakis G, Karona P, Katsougris N, Bobolakis E. Postpartum spontaneous subcapsular hepatic hematoma related to preeclampsia. Case Rep Emerg Med 2014;2014:417406.
[Article] [PubMed] [PMC]4. Zizzo M, Lanaia A, Barbieri I, Zaghi C, Bonilauri S. Subcapsular hepatic hematoma after endoscopic retrograde cholangiopancreatography: a case report and review of literature. Medicine (Baltimore) 2015;94:e1041.
[Article] [PubMed] [PMC]5. Gluszek S, Kot M, Nawacki Ł, Krawczyk M. Subcapsular liver haematoma as a complication of laparoscopic cholecystectomy. Wideochir Inne Tech Maloinwazyjne 2015;10:320–323.
[Article] [PubMed] [PMC]6. Takahashi A, Saito H, Takahashi Y, et al. Cyst-like extension of hepatic subcapsular bleeding caused by ruptured hepatocellular carcinoma into the bursa omentalis. Hepatol Res 2009;39:1010–1014.
[Article] [PubMed]7. Aoki H, Arata T, Morihiro T, et al. Spontaneous rupture of a hepatic angiomyolipoma: report of a case. Clin J Gastroenterol 2014;7:429–433.
[Article] [PubMed]8. Kim CH, Kim JH, Lee HJ, et al. A case of liver abscess with subcapsular hematoma mimicking ruptured hepatic cholangiocarcinoma. Korean J Gastroenterol 2009;53:202–205.
[PubMed]9. Loja Oropeza D, Alvizuri Escobedo J, Vilca Vásquez M, Avilés Gonzaga R, Sánchez Mercado M. Hepatic subcapsular hematoma caused by fascioliasis. Rev Gastroenterol Peru 2003;23:142–148.
[PubMed]
