후복막강에 발생한 골수외 형질세포종 1예
- 박병규, 조윤영, 류헌모, 조형호, 손민영
Retroperitoneal Extramedullary Plasmacytoma
- Byeong Kyu Park, Yoon Young Cho, Hun Mo Rhoo, Hyeong Ho Jo, Min Young Son
- Received March 10, 2016; Revised June 1, 2016; Accepted June 6, 2016;
- Abstract
-
본 증례는 후복막섬유증이 의심되어 내원한 환자에서, 골수외 형질세포종이 진단된 사례이다. 골수외 형질세포종이 두경부가 아닌 후복막강에 발생했다는 점에 의의가 있고 표준 치료인 방사선 치료가 아닌 전신 항암화학요법으로 초기 치료를 했다는 점에서 의의가 있다. 후복막강종양 또는 후복막섬유증이 의심되는 환자에서 골수외 형질세포종의 가능성을 고려하여 검사가 진행되어야 한다.
- Abstract
-
Extramedullary plasmacytoma (EMP) is a plasma cell tumor located outside of the bone marrow. It most often occurs in the upper respiratory tract (85%), as well as the head and neck, and very rarely occurs in the retroperitoneum. Here we report the case of a 57-year-old woman with retroperitoneal EMP.
- 서 론
- 서 론
- 증 례
- 증 례
환 자: 56세 여자주 소: 3주간의 좌하복부 통증현병력: 내원 3주 전 좌하복부 통증과 좌측 하지 부종이 발생하였다. 개인 병원에서 보존적 치료를 하였으나 증상은 악화되었고 복부 팽만감이 발생하였다. 복부 전산화단층촬영 검사를 시행하였고 후복막섬유증이 의심되어 본원으로 전원되었다.과거력: 특이사항은 없었다.사회력: 특이사항은 없었다.가족력: 특이사항은 없었다.진찰 소견: 환자는 입원 당시 의식은 명료하였으나 급성 병색을 보였다. 혈압 150/90 mmHg, 맥박수 90회/분, 호흡수 20회/분, 체온 36.8℃였다. 흉부 청진상 심음은 규칙적이었고, 심잡음이나 수포음은 청진되지 않았다. 복부 팽만이 있었으나 압통과 반발통은 없었고 장음은 정상이었다. 양측 상하지의 운동 기능, 감각 기능은 정상이었으나 좌측 하지 부종이 관찰되었다.검사 소견: 혈구계산 검사에서 백혈구 7300/mm3 (중성구 71.1%), 혈색소 11.9 g/dL, 혈소판 197000/mm3였고 말초혈액바른표본 검사에서 특이 소견은 없었다. 일반 화학 검사에서 총 단백 6.3 g/dL, 알부민 3.8 g/dL였고 혈청요소질소는 12.3 mg/dL, 크레아티닌 1.5 mg/dL였다. 혈청 칼슘 8.6 mg/dL, 인 3.9 mg/dL, 요산 12 mg/dL, 젖산탈수소효소(lactate dehydrogenase, LDH) 2512 IU/L (정상 범위: 100-450 IU/L)로 LDH가 뚜렷하게 상승되어 있었다. 프로칼시토닌 0.13 ng/mL, C-반응성단백(C-reactive protein) 5.2 mg/dL로 특이 소견은 없었다. 혈청 IgD는 229 mg/dL (정상 범위 0.13-15.27 mg/dL)로 증가되어 있었고 IgM는 16 mg/dL(정상 범위 40-230 mg/dL)로 감소되었으며 IgG는 712 mg/dL (정상 범위 700-1600 mg/dL), IgA는 124.9 mg/dL (정상 범위 70-400 mg/dL)로 정상 소견이었다. 혈청단백 전기영동 검사에서 M band는 명확하지 않았고, 요단백 전기영동 검사에서는 α2 globulin에 band가 있으나 이 단백뇨양은 489 mg/일이었다. 혈청과 요 면역고정 전기영동 검사에서 단클론감마글로불린병증(Ig D‐Lambda) 소견이 보였다(Fig. 1). 혈청 kappa 유리경쇄는 1.25 mg/L (정상 범위 3.3-19.4 mg/L)였고 lambda 유리경쇄는 1,024.7 mg/L (정상 범위 5.7-26.3 mg/L)로 kappa 유리경쇄와 lambda 유리경쇄의 비는 0.0012였다(정상 범위 2.0-17.7).방사선 소견: 흉부 엑스선 검사에서 양측 늑골횡경막각이 둔각이었으며, 복부 엑스선 검사상 특이 소견은 없었다. 복부 전산화단층촬영 검사상 후복막강에 미만성 조직 침윤이 있고, 이는 방광과 직장 주변부로 퍼져있었다. 양측으로 수신증과 요관의 확장이 있었다(Fig. 2). 흉부 전산화단층촬영 검사상 양측에 다량의 흉수가 있었다. 악성 여부의 평가를 위해 시행한 양전자컴퓨터단층찰영검사상 후복강의 미만성으로 fludeoxyglucose 섭취가 있었다(Fig. 3). 단순 엑스선 검사에서 다발골수종에서 관찰되는 골흡수 병변은 없었다.조직검사 소견: 조직학적 진단을 위하여 초음파 유도하 생검을 시행하였다. 병리 검사상 lambda light chain (+), CD 138 (+)의 형질세포종으로 진단되었다(Fig. 4). 골수 흡인 검사는 형질세포 1.03%로 정상 소견이었고 다른 특이 소견은 없었다(Fig. 5).치료 및 경과: 입원 후 시행한 전산화단층촬영 검사에서 방선균 감염이 의심되어 항생제(ampicillin/sulbactam) 치료를 하였으나 전신 상태는 지속적으로 악화되었다. 입원 8일째 소변량이 감소하여 혈청요소질소(blood urea nitrogen) 28.4 mg/dL, 크레아티닌 3.1 mg/dL으로 급성 신부전이 발생하였다. 종양에 의한 신후신부전으로 판단하여 우측에 경피적 신루설치술을 시행하였고 이후 신기능은 회복되었다(크레아티닌 0.9 mg/dL).후복막강 조직검사 결과와 면역고정 검사 및 영상 검사를 종합하여 골수외 형질세포종(Ig D‐lambda)으로 진단하였다. 치료로 골수외 형질세포종의 표준인 방사선 치료를 고려하였으나 병변이 광범위하여 합병증의 위험성이 클 것으로 판단하였고 전신 항암요법(bortezomib 1.3 mg/m2 1, 4, 8, 11일; dexamethasone 40 mg 1, 2, 3, 4, 8, 9, 10, 11일; 매일 thalidomide 50 mg)을 시행하였다. 1주기 치료가 끝나고 시행한 전산단층찰영에서 후복막강과 좌하복강 침윤이 감소하며 양측 수신증이 호전되는 등 경과가 양호하였다(Fig. 6).
- 고 찰
- 고 찰
형질세포종은 연조직 또는 골조직에 형질세포 단일클론이 과증식하는 악성 질환이다. 형질세포종은 골형질세포종, 골수외 형질세포종, 다발성 단일형질세포종으로 나뉘는데 골형질세포종은 형질세포종이 단일의 뼈에만 있는 경우이며, 골수외 형질세포종은 연부조직에 형질세포종이 발생한 경우이며, 다발성 단일형질세포종은 형질세포종이 다발성 골병변 또는 다발성 연부조직 병변으로 나타난 것이다[3].골수외 형질세포종은 형질세포종 가운데 3%로 두경부(80%) 특히 인두부 주변과 비강, 잇몸, 구강 점막에 발생한다[1]. 드물게 위장관, 림프절에 발생하는 경우가 있으나 본 증례처럼 후복막강에서 발생하는 예는 매우 드물어 전 세계적으로 11예, 한국에는 1예의 보고가 있었다(Table 1). 골수외 형질세포종은 남성에서 많고(75%) 평균 발병 연령은 55세이다[4].골수외 형질세포종은 연부조직에 단일클론 형질세포의 증식 소견이 있고 골수, 혈액, 영상 검사에서 다발골수종이 배제될 시 진단된다[3]. 조직검사에서 CD 138(+) 또는 CD 38(+)이며, light chain 편향성을 보이는데 본 증례는 CD 138(+), lambda 유리경쇄(+)인 형질세포종이 확인되었다. 본 환자는 혈액 검사상 빈혈과 고칼슘혈증이 없었고 영상 검사에서 다발성 골병변이 없었으며 골수 흡인 검사에도 다발골수종 소견은 없었다. 급성 신부전이 발생하였으나 이는 다발골수종에서 동반되는 신성 신부전이 아닌 신후성 신부전이었다. 종양에 의한 수신증으로 경피적 신루설치술 후 신기능이 회복되었기 때문이다. 그러므로 의료진은 본 환자를 다발골수종이 아닌 골수외 형질세포종으로 진단하였다. 골수외 형질세포종은 14-25%에서만 M band가 존재하는데, 본 환자의 경우 혈청 및 요단백 전기영동 검사에선 M band가 명확하지 않았다[4].골수외 형질세포종은 90% 이상에서 방사선 치료에 반응이 좋아 단독 방사선 치료가 표준 치료이다. 보통 40 Gy로 4주간 치료하는데, 5 cm 이상의 큰 골수외 형질세포종은 치료 실패 및 재발하는 경우가 있어 더 많은 방사선량(50 Gy)으로 치료한다[1]. 병변의 완전 절제가 가능하다면, 수술적 제거도 가능하며 치료 결과는 좋다. Sharma 등[5]은 병변이 넓어 방사선 치료가 힘든 골수외 형질세포종 환자에서 전절제술을 시행하였고, 이후 M단백의 소멸과 완전 관해를 유지하였다. 항암화학요법은 방사선 치료에 효과가 없거나 방사선 치료 후 재발한 경우에 시행하며[1] 치료반응은 비교적 좋은 편이다. 주로 다발골수종에 사용되는 항암제로 시행한다[6]. 골수외 형질세포종의 초기 치료로 전신 항암 치료를 시행한 예는 많지 않아 몇 증례만 보고된 바 있다. Zeng 등[7]은 경막외에 발생한 골수외 형질세포종의 초기 치료로 bortezomib/dexamethasone/thalidomide 복합화학요법을 시행하여 완전 관해를 유지한 증례를 보고하였다. 본 증례는 표준 치료인 방사선 치료를 고려하였으나 급성 신부전 및 나쁜 전신 상태로 방사선 치료를 초기에 시행하는 것은 무리가 있었고 광범위한 후복막강과 골반내의 병변으로 인해, 방사선 치료시 합병증이 심할 것으로 판단하였다. 본원에서는 스테로이드를 포함한 전신 항암요법인 bortezomib/dexamethasone/thalidomide를 시행하였고 경과는 양호하였다.골수외 형질세포종 치료 후, 10년 생존율은 70% 이상으로 예후가 양호하다. 방사선 치료 후 국소재발률은 7% 미만이며, 원거리 재발률은 30% 미만이다. 골수외 형질세포종의 15%가 다발골수종으로 진행된다[8]. 크기(5 cm 이상)가 골수외 형질세포종의 재발과 다발골수종 진행의 나쁜 예후 인자로 알려져 있으며[8], 그 외에도 고령(60세 이상), 조직학적 특성(이형성 정도, 신생혈관형성 정도)이 예후 인자로 보고되고 있다[9]. 종양의 위치가 예후에 미치는 영향은 명확하지 않다. 두경부에 발생할 경우 더 예후가 좋다는 보고가 있지만, 치료 방법의 차이가 있어 이는 명확하지 않다. 1,185명의 골수외 형질세포종 환자를 대상으로 한 Gerry와 Lentsch [10]에 따르면 두경부 병변 환자의 중간 생존 기간이 13년으로 두경부 외 병변 환자의 중간 생존 기간 4년에 비해 더 우수하였다. 이는 골수외 형질세포종이 두경부에 발생하면 주로 수술-방사선 복합 치료를 받았기 때문인 것으로 판단된다[10]. 전 세계적으로 보고된 증례(Table 1)에서 후복막강 골수외 형질세포종이 남성에 많고, 크기가 크다(5 cm 이상)는 점을 알 수 있다. 단독 방사선 치료보다는 수술, 항암화학요법 등 다양한 치료를 시행하였는데 병변의 위치와 크기가 중요한 요인이었을 것으로 추정된다. 본 증례는 골수외 형질세포종이 후복막강에 발생했으며, 크기가 거대했다는 점에서 예후가 불량한 경우이다. 치료 후에도 골수외 형질세포종의 재발 및 다발골수종 진행 가능성이 크므로 지속적인 주의가 필요한 것으로 사료된다.
Figure 1.
(A) Serum protein electrophoresis (EP) did not show a significant M spike. (B) Serum immunofixation electrophoresis (IFE) showed a dense and narrow band in the anti-D and Lambda areas. (C) Urine EP did not show a significant M spike. (D) Urine IFE showed a dense and narrow band in the anti-D and Lambda areas.
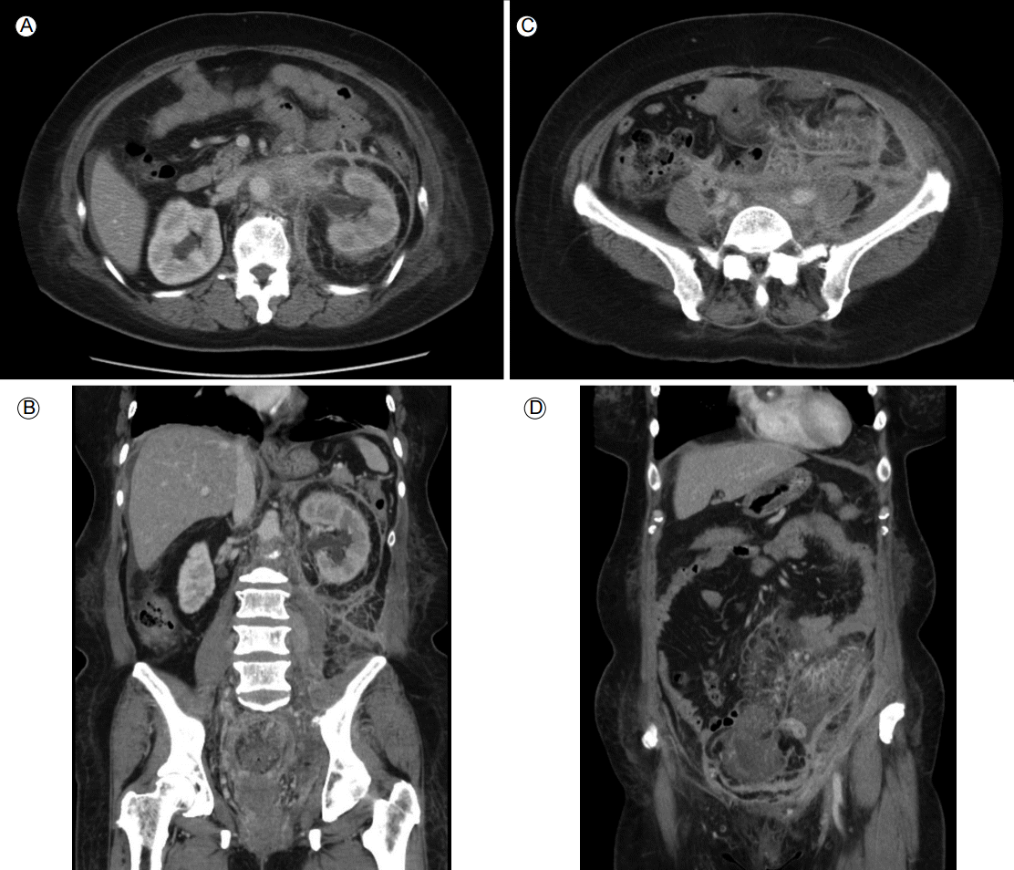
Figure 2.
Abdominal computed tomography showed diffuse infiltrating soft tissue lesions in the retroperitoneal space (A, B) and in the extraperitoneal space around the urinary bladder and the perirectal space (C, D).
Figure 3.
Positron emission tomography-computed tomography showed diffuse fludeoxyglucose uptake in the retroperitoneum (A) and the pelvic cavity (B).
Figure 4.
(A) An ultrasonography-guided biopsy showed a mass with infiltration of highly pleomorphic atypical plasma cells (hematoxylin and eosin, ×400). (B) Immunohistochemical staining showed CD 138 positive tumor cells, suggestive of plasma cells (×100). (C) Lambda light chain positive cells (×100). (D) Kappa light chain negative cells (×100).
Figure 5.
Bone marrow aspiration showed a normal appearance (hematoxylin and eosin) at (A) magnification ×40 and (B) magnification ×200.
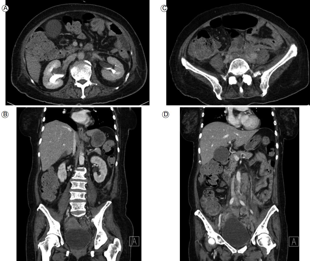
Figure 6.
Abdominal computed tomography showed diffuse infiltrating soft tissue with interval improvement in the retroperitoneal space (A, B) and in the pelvic cavity (C, D).
Table 1.
case of retroperitoneal extramedullary plasmacytoma
| Author | Age | Sex | Localization | Size, cm | Treatment | Outcome | References |
|---|---|---|---|---|---|---|---|
| Chung et al. (2006) [2] | 68 | M | Retroperitoneum | 8.5 × 5.5 | Surgery + adjuvant Rtx | Alive | Korean J Urol 2006;47:105-107 |
| Panelidous et al. (2005) | 63 | M | Retroperitoneum | 8 × 10 | Radiotherapy | Alive | Ann Hematol 2005;84:188-191 |
| Hong et al. (2009) | 26 | M | Rt retroperitoneal region, Rt kidney | 30 × 16 × 10 | Sugery | Alive | World J Gastroenterol 2009;15:2425-2427 |
| Wei et al. (2009) [6] | 53 | F | Pancrease | Chemotheraphy (bortezomib) | Alive | Hepatobiliary Pancreat Dis Int 2009;8:329-331 | |
| Sharma et al. (2004) [5] | 44 | M | Retroperitoneum | 17 × 13 | Surgery | Alive | Indian J Cancer 2004;41:133-134 |
| Marks et al. (1984) | 65 | F | Retroperitoneum | Rtx + Ctx | Expired | Cancer 1984;53:1228-1229 | |
| Chen et al. (1998) | 28 | M | Retroperitoneum, Rt kidney | 12 × 20 | Rtx + Ctx | Alive | Am J Hematol 1998;58:235-238 |
| Abdullah et al. (2012) | 68 | M | Retroperitoneum | Rtx + Ctx | Expired | Ren Fail 2012;34:640-642 | |
| Tsai et al. (1999) | 68 | M | Retroperitoneum, Lt kidney | OP + adjuvant Ct and Rtx | Expired | J Urol 1999;162:1681-1682 | |
| Saito et al. (2003) | 69 | F | Lt retroperitoneum | Rtx + Ctx | Alive | Hinyokika Kiyo 2003;49:735-739 | |
| D Cao et al. (2014) | 26 | M | Rt adrenal gland | 4.5 × 3.5 | Surgery | Alive | Int J Clin Exp Pathol 2014;7:9072-9075 |
- References
- References
REFERENCES
1. Soutar R, Lucraft H, Jackson G, et al. Guidelines on the diagnosis and management of solitary plasmacytoma of bone, solitary extramedullary plasmacytoma. Br J Hematol 2004;124:717–726.
[Article]2. Chung JS, Kang SC, Kim YJ, et al. Extramedullary plasmacytoma of the retroperitoneum. Korean J Urol 2006;47:105–107.
[Article]3. International Myeloma Working Group. Criteria for the classification of monoclonal gammopathies, multiple myeloma and related disorders: a report of the International Myeloma Working Group. Br J Haematol 2003;121:749–757.
[Article] [PubMed]4. Liebross RH, Ha CS, Cox JD, Weber D, Delasalle K, Alexanian R. Clinical course of solitary extramedullary plasmacytoma. Radiother Oncol 1999;52:245–249.
[Article] [PubMed]5. Sharma LM, Biswas G, Rai SS, Nair R, Gupta S, Parikh PM. Retro-peritoneal plasmacytoma: a case report and review of literature. Indian J Cancer 2004;41:133–134.
[Article] [PubMed]6. Wei JY, Tong HY, Zhu WF, et al. Bortezomib in treatment of extramedullary plasmacytoma of the pancreas. Hepatobiliary Pancreat Dis Int 2009;8:329–331.
[PubMed]7. Zeng Z, Zheng L, Lin J, Chen J. Successful bortezomib treatment in combination with dexamethasone and thalidomide for previously untreated epidural plasmacytoma. Oncol Lett 2012;3:557–559.
[Article] [PubMed]8. Frassica DA, Frassica FJ, Schray MF, Sim FH, Kyle RA. Solitary plasmacytoma of bone: Mayo Clinic experience. Int J Radiat Oncol Biol Phys 1989;16:43–48.
[Article] [PubMed]
