B형 인플루엔자와 관련되어 발생한 혈구포식 림프조직구증식증
- 이샘나1, 윤진구1, 조치현2, 최철원3, 최정윤3, 정희진1,4,5, 김우주1,4,5
Fatal Hemophagocytic Lymphohistiocytosis associated with Influenza B
- Saem Na Lee1, Jin Gu Yoon1, Chi Hyun Cho2, Chul Won Choi3, Jung Yoon Choi3, Hee Jin Cheong1,4,5, Woo Joo Kim1,4,5
- Received September 21, 2015; Revised November 4, 2015; Accepted November 6, 2015;
- Abstract
-
혈구포식 림프조직구증식증(HLH)은 대식세포와 림프구의 증식과 활성화가 조절되지 않아 발생하게 되는 드문 과염증 증후군으로, 치명적인 예후를 초래하는 경우가 많다. 저자들은 기저 질환이 없는 환자에서 B형 인플루엔자 감염과 연관되어 발생한 혈구포식 림프조직구증식증으로 인하여 사망한 증례를 경험하여 이를 보고하는 바이다.
- Abstract
-
Influenza infection may be complicated by various infectious or non-infectious diseases. Among them, hemophagocytic lymphohistiocytosis (HLH) is an uncommon hyperinflammatory syndrome caused by uncontrolled proliferation and activation of macrophages and lymphocytes, and it is often life threatening. A previously healthy male patient was suspected to have HLH after influenza B infection. The diagnosis was established based on clinical diagnostic criteria suggested in the HLH-2004 trial. Despite prompt antiviral therapy, the patient expired on day 19 of hospitalization. Influenza can thus be complicated by HLH. Due to the non-specific manifestations of HLH, clinical suspicion and early diagnosis are important.
- 서 론
- 서 론
혈구포식 림프조직구증식증(hemophagocytic lymphohistiocytosis, HLH)은 대식세포와 림프구의 증식과 활성화가 조절되지 않아 발생하게 되는 드문 형태의 과염증 증후군으로서, 치명적인 예후를 초래하는 경우가 많다[1]. 성인에서 발생하는 증례의 50%가 감염과 관련되어 있는데 대부분 Epstein-Barr virus (EBV)와 관련된 것이 흔하게 알려져 있으나 최근 A형 및 B형 인플루엔자 감염과 관련되어 발생한 혈구포식 림프조직구증식증 증례가 보고되었다[2-4]. 저자들은 이전에 특이병력이 없었던 성인 남성이 B형 인플루엔자 감염과 관련되어 발생한 혈구포식 림프조직구증식증으로 사망한 국내 첫 증례를 보고하고자 한다.
- 증 례
- 증 례
2014년 4월, 74세 남자 39.1℃의 발열과 기침, 근육통 및 혈구감소증으로 내원하였다. 4일 전, 타 병원에서 인플루엔자 신속 항원 검사로 A형 인플루엔자로 진단받고 oseltamivir를 5일 동안 투약하였고, 흉부 computed tomography (CT)에서 기관지염이 의심되어 ceftriaxone 치료를 시작하였다. 타병원에서 초기 검사 결과, 백혈구 3,630 cells/μL, 혈소판 91,000 cells/μL였으나 전원 당시 백혈구 1,680 cells/μL, 혈소판 45,000 cells/μL로 백혈구와 혈소판 감소가 악화되었다.입원 당시, 혈압은 125/60 mmHg, 맥박수 분당 92회, 호흡수 분당 21회, 체온은 39.1℃였고 호흡음은 정상이었다. 백혈구 수치는 700 cells/μL, 혈색소 8.6 g/dL, 혈소판 45,000 cells/μL로 측정되었다. C-반응성단백질은 165.08 mg/L로 상승했고, 단백질 4.6 g/dL, 알부민 2.5 g/dL, 아스파르테이트 아미노전달효소(aspartate aminotransferase) 132 IU/L, 알라닌 아미노전달효소(alanine aminotransferase) 112 IU/L, 젖산 탈수소효소(lactate dehydrogenase) 438 IU/L, 혈액요소질소(blood urea nitrogen) 14.1 mg/dL, 크레아티닌 0.58mg/dL로 측정되었다. 내원 이후 4회 시행한 혈액 및 객담, 소변 배양 검체에서 동정된 균은 없었다. 혈액 응고 검사에서는 프로트롬빈시간은 12.9초, international normalized ratio (INR) 1.04로 정상 범위였고, 부분 활성화프로트롬빈시간 역시 37.1초로 측정되어 응고 장애는 보이지 않았으며, D-dimer는 1.28μg/mL로 측정되었다. 직접 쿰즈 검사 결과 음성이었고, 내원 당일과 8일째, 10일째에 반복하여 시행한 말초 혈액 도말 검사에서 분열 적혈구는 관찰되지 않았다. 페리틴(ferritin) 8292.05 ng/mL, 피브리노겐(fibrinogen) 609 mg/dL로 상승하였다. 흉부 X 선 검사에서 양측 폐에 활동성 병변은 보이지 않았고, 재원 4일째에 시행한 흉부 CT에서도 적은 양의 양측 흉막 삼출 이외에 특이 병변은 확인되지 않았다. 복부초음파검사에서는 간의 크기와 간실질의 에코 발생은 정상 범위였으나, 비장의 크기는 약 12 cm로 측정되어 비장비대를 보이고 있었다. 내원 3일째, 입원 당시 시행했던 비인두도말검체 호흡기 바이러스 polymerase chain reaction (PCR) 검사에서 B형 인플루엔자 바이러스가 검출되었다. 입원 이후 지속되는 환자의 호흡기 증상과 38℃ 이상의 발열 및 호흡기 바이러스 PCR 검사 결과에 따라 내원 4일째부터 내원 8일째까지 5일간 oseltamivir를 투약하는 한편, 호흡기 바이러스 PCR 검사를 다시 시행하였다. 내원 4일째에 추적 검사한 호흡기 바이러스 PCR 결과 역시 B형 인플루엔자 양성으로 확인되어 내원 9일째 peramivir를 투약하였다. 재원 11일째, 백혈구와 혈소판의 감소가 악화되어 각각 300 cells/μL와 24,000 cells/μL로 측정되었다. 인간면역결핍바이러스(human immunodeficiency virus) 항원 및 항체, HBs 항원과 항 HBs 항체, 항 HCV 항체는 음성이었다. 혈액 검체에서 시행한 거대세포바이러스(cytomegalovirus) PCR 검사 결과는 음성이었고, EBV PCR에서도 DNA가 검출되지 않았다. 페리틴은 12,550.71 ng/mL로 이전보다 상승하였고, 중성지질(triglyceride) 수치는 273 mg/dL로 정상보다 높게 측정되었으며, soluble interleukin-2 수용체는 10,318 U/mL로 높은 수준으로 측정되었다. 이상의 결과, 환자의 고열과 비장비대, 혈액 검사에서의 혈구 감소증, 고중성지질혈증과 soluble IL-2 receptor의 혈중 농도 상승이 혈구탐식 림프조직구증식증의 진단 기준에 합당하였다.환자는 입원 12일째 골수 검사를 진행하였다. CD68 면역 염색 결과 골수 조직검사 검체에서 조직구 침윤이 현저하게 증가한 소견이 확인되었고, 골수 흡인 검체에서는 혈구 탐식이 관찰되었으나, 혈액암 세포는 보이지 않았다(Fig. 1). 골수조직검사 및 흡인 검사 소견을 바탕으로 덱사메타손(1 mg/m2) 투여를 시작하였으나 입원 14일째 혈색소 7.7 g/dL, 백혈구 200/μL, 혈소판 18,000/μL로 혈구 감소증이 더욱 진행하였고, 페리틴은 27660.31 ng/mL로 이전보다 상승하였으며, 피브리노겐 수치는 310 ng/dL로 감소하여 저피브리노겐혈증을 보였다. 사이클로스포린(6 mg/kg/day)을 투약하였으나, 입원 18일째 호흡기 증상 및 혈액 검사 결과가 더욱 악화되어 백혈구는 100/μL 미만으로 측정되었고 재원 19일째 사망하였다.
- 고 찰
- 고 찰
혈구포식 림프조직구증식증은 심각한 염증 반응에 의한 일련의 임상 양상과 징후로 특징지을 수 있는 병적인 면역활성화 증후군이다. HLH 2004에 따르면, 진단 기준은 8가지의 증상 및 징후로 이루어져 있으며, 각각 발열, 비장비대, 말초혈액에서 두 계통 이상의 혈구 감소증, 고페리틴혈증, 저피브리노겐혈증 또는 고중성지질혈증, 골수나 비장 또는 림프절에서의 혈구 포식 현상, 혈청 soluble CD25 수치의 증가와 자연살해세포(NK cell) 활성도의 감소이다[2]. 활성화된 림프구와 대식세포는 높은 수준의 사이토카인, 케모카인을 포함한 물질들을 분비하고 이를 통하여 앞서 언급한 혈구포식 림프조직구증식증의 8가지 증상과 징후가 나타나게 된다.1차성 혈구포식 림프조직구증식증은 기저의 유전자 결핍으로 인해 소아기부터 발생하는 경우가 대부분이지만, 2차성 혈구포식 림프조직구증식증은 성인에서 후천적 원인에 의한 단핵구의 식세포 작용 활성화를 통해 림프구와 자연살해세포의 기능이 감소하여 발병한다[5]. EBV가 혈구포식 림프조직구증식증과 관련된 감염 원인으로 가장 흔하게 보고되고 있지만 바이러스성 질환 중에서 A형 인플루엔자 H5N1, H3N2, H1N1과 중증급성호흡기증후군 코로나바이러스(SARS coronavirus), 크리미아-콩고 출혈열 바이러스(Crimean-Congo haemorrhagic fever virus), E형 간염 바이러스(hepatitis E virus)와 관련되어 발생한 혈구포식 림프조직구증식증 증례가 보고된 바 있다[5].앞서 언급한 바와 같이 혈구포식 림프조직구증식증의 증상과 징후가 비특이적이고 다양하여, 본 증례의 경우 혈구포식 림프조직구증가증의 진단과 함께 원인 질환에 대한 감별이 이루어졌다. 혈소판 감소에 동반되는 응고 장애 및 출혈소인이 보이지 않아 파종성 혈관내 응고를 배제할 수 있었다. 증례의 환자는 특이병력 없이 지역 병원에서 정기적으로 추적 관찰하던 자로, 처방받은 고혈압 약 이외에 약제 복용력이 없었으며, 재원 기간 중 시행한 반복되는 혈액, 객담 및 소변 배양 검사와 바이러스 PCR 결과 B형 인플루엔자 이외의 다른 원인을 배제할 수 있었다. 내원 이후 시행한 흉복부 CT에서 악성 종양의 증거가 없었고, 골수천자액으로 시행한 유전자 검사에서도 혈액암과 관련된 유전자 변이를 보이지 않아 악성 종양의 가능성을 배제하였다. Fluorescent antinuclear antibody test, anti-neutrophil cytoplasmic antibody screening은 시행하지 않았으나 환자가 호흡기 증상이 있고 인플루엔자를 진단받은 점을 고려할 때 인플루엔자와 관련한 혈구포식 림프조직구증식증으로 생각되었다.인플루엔자 바이러스 감염과 관련되어 발생한 혈구포식 림프조직구증식증은 1998년부터 총 26 증례가 보고되었다. 2009년 Beutel 등[6]이 보고한 바에 따르면, A(H1N1)pdm09 인플루엔자 바이러스 감염과 관련되어 인공호흡기 치료를 받은 25명의 환자 중 9명에서 혈구포식 림프조직구증식증이 발생하였고 이 중 8명이 사망하였다. 혈구포식 림프조직구증식증이 합병된 환자의 사망률은 88.9%로 혈구포식 림프조직구증식증이 합병되지 않은 환자(25.0%)와 비교하여 높은 사망률을 보였다. 혈구포식 림프조직구증식증이 합병된 9명 중 5명(56%)에서 1가지 이상의 기저 질환이 있었으나 혈구포식 림프조직구증식증이 나타나지 않은 환자 중에서는 13명(81%)이 1가지 이상의 기저 질환을 가지고 있었다[6]. 1998년에 보고된 A형 H5N1 인플루엔자와 관련되어 발생한 2개의 증례에서도 환자들은 모두 사망하였다[7]. 계절인플루엔자 바이러스인 A형 H3N2 인플루엔자 바이러스 감염과 관련되어 발생한 혈구포식 림프조직구증식증 증례는 2002년에 2건이 보고되었다. 이 중 설암으로 항암 치료를 받은 환자가 있었으나 생존하였고, 기저 질환이 없었던 3세 여아가 사망하였다[8,9]. B형 인플루엔자와 관련되어 발생한 혈구포식 림프조직구증식증은 드물지만 전신홍반성루푸스가 있는 환자의 예가 보고된 바 있으며 생존하여 퇴원하였다[4]. 이상의 증례 중 A형 H3N2 인플루엔자 바이러스 감염과 관련되어 발생한 혈구포식 림프조직구증식증 환자 1명을 제외하고 모두 amantadine, ribavirin, oseltamivir 또는 zanamivir로 항바이러스제 치료를 받았으나 혈구포식 림프조직구증식증의 진행에는 큰 영향을 미치지 못한 것으로 보인다. 본 증례에서도 항바이러스 치료를 시행하였으나, 혈구포식 림프조직구증식증의 진행을 막지는 못하였다.인플루엔자 감염의 주요 합병증으로 폐렴, 호흡부전, 심부전, 횡문근융해증 등이 있으며, 혈구포식 림프조직구증식증은 드물지만 치명적인 합병증으로 알려져 있다. 인플루엔자에 이환된 환자에서 적절한 항바이러스제 치료에도 불구하고 혈구포식 림프조직구증식증을 시사하는 증상인 발열, 비장비대, 혈구감소증 등이 지속된다면, 혈구포식 림프조직구증식증을 의심하여 신속히 검사를 시행하는 노력이 필요하다.
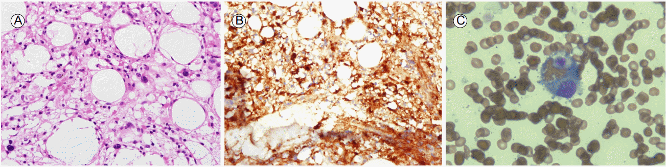
Figure 1.
Microscopic analysis of a bone marrow biopsy specimen showed hypercellular marrow for the age of the patient (cellularity; 50%) (A). CD68 staining revealed markedly increased histiocytic infiltration (B). A bone marrow aspiration specimen showed histiocytic cells with phagocytosed lymphocytes and erythroblasts (C). (A: hematoxylin & eosin stain, ×400, B: CD68 immunostain, ×400, C: oil-immersion field, Wright-Giemsa stain, ×1000)
- References
- References
REFERENCES
1. Brisse E, Wouters CH, Matthys P. Hemophagocytic lymphohistiocytosis (HLH): a heterogeneous spectrum of cytokine-driven immune disorders. Cytokine Growth Factor Rev 2015;26:263–280.
[Article] [PubMed]2. Henter JI, Horne A, Aricó M, et al. HLH-2004: diagnostic and therapeutic guidelines for hemophagocytic lymphohistiocytosis. Pediatric Blood Cancer 2007;48:124–131.
[Article] [PubMed]3. Cascio A, Pernice LM, Barberi G, et al. Secondary hemophagocytic lymphohistiocytosis in zoonoses. A systematic review. Eur Rev Med Pharmacol Sci 2012;16:1324–1337.
[PubMed]4. Horai Y, Miyamura T, Takahama S, et al. Influenza virus B-associated hemophagocytic syndrome and recurrent pericarditis in a patient with systemic lupus erythematosus. Mod Rheumatol 2010;20:178–182.
[Article] [PubMed]5. Janka GE. Familial and acquired hemophagocytic lymphohistiocytosis. Annu Rev Med 2012;63:233–246.
[Article] [PubMed]6. Beutel G, Wiesner O, Eder M, et al. Virus-associated hemophagocytic syndrome as a major contributor to death in patients with 2009 influenza A (H1N1) infection. Crit Care 2011;15:R80.
[Article]7. To KF, Chan PK, Chan KF, et al. Pathology of fatal human infection associated with avian influenza A H5N1 virus. J Med Virol 2001;63:242–246.
[Article] [PubMed]8. Ando M, Miyazaki E, Hiroshige S, et al. Virus associated hemophagocytic syndrome accompanied by acute respiratory failure caused by influenza A (H3N2). Intern Med 2006;45:1183–1186.
[Article] [PubMed]9. Mou SS, Nakagawa TA, Riemer EC, McLean TW, Hines MH, Shetty AK. Hemophagocytic lymphohistiocytosis complicating influenza A infection. Pediatrics 2006;118:e216–e219.
[Article]
