대동맥-우심방 터널에 동반된 감염성 심내막염 1예
- 진석재, 김동한, 정용진, 김병기, 장승재, 방준희, 정영곤
Aorta-right Atrial Tunnel Accompanying Infective Endocarditis
- Suk Je Jin, Dong Han Kim, Yong Jin Jeong, Byung Ki Kim, Seung Jae Jang, Jun Hee Bang, Young Gon Jung
- Received May 27, 2015; Revised June 22, 2015; Accepted September 9, 2015;
- Abstract
-
저자들은 대동맥-우심방 터널과 감염성 심내막염이 동반된 환자를 수술적 치료한 증례 1례를 경험하였기에 문헌고찰과 함께 보고하는 바이다.
- Abstract
-
Aorta-right atrial tunnel is a vascular anomaly that originates from the aortic sinus and terminates in either the superior vena cava or the right atrium. The patency of the tunnel can result in volume overload in both ventricles, bacterial endocarditis, aneurysm formation, and spontaneous rupture. Transesophageal echocardiography was performed in a 42-year-old male patient diagnosed with infectious endocarditis, and vegetation of the mitral and aortic valves, right atrial enlargement, and an extracardiac blood vessel connecting the aorta to the right atrium were discovered. Therefore, we were able to diagnose an aorta-right atrial tunnel leading to infectious endocarditis and proceeded with surgical treatment. Together with a review of the literature, we present a case report of a patient with aorta-right atrial tunnel accompanied by infectious endocarditis.
- 서 론
- 서 론
선천성 대동맥-우심방 터널은 1980년 Coto 등[1]에 의해 처음 발견되었으며 대동맥 발살바 동과 우심방을 심장외 혈관으로 연결하는 선천성 혈관 기형이다. 해부학적으로는 관상 동맥과 독립적인 대동맥의 동맥류 변화로부터 기원하는 대동맥-좌심실 터널과 비슷하다[2]. 이러한 대동맥-우심방 터널의 지속적인 개통은 양 심실의 볼륨 과부하로 진행할 수 있고, 심부전, 감염성 심내막염, 동맥류 형성과 자연 파열의 위험성이 있는 것으로 알려져 있다[3]. 이에 저자들은 대동맥-우심방 터널 환자에서 감염성 심내막염이 동반되어 수술적 치료를 한 증례 1예를 경험하였기에 문헌고찰과 함께 보고하는 바이다.
- 증 례
- 증 례
42세 남자 환자가 수일 전부터 발생한 발열과 오한을 주소로 타 병원에서 치료하였으나 증상이 지속되어 시행한 심장 초음파상 승모판에 증식(vegetation)이 보여 감염성 심내막염 의심하에 본원으로 전원되었다. 환자는 총 10갑년의 흡연력 이외에 당뇨, 고혈압, 류마티스질환, 심부전 등 특별한 과거력은 없었으며, 내원 당시 뉴욕심장학회 기능 분류(New York Heart Association Functional Classification) 2단계의 호흡 곤란과 오한을 호소하고 있었다. 활력 징후는 혈압 100/60 mmHg, 맥박 98회/분, 체온 36℃, 호흡수 20회/분을 보이고 있었고, 신체검진상 오른쪽 흉골 경계에서 심잡음이 청진되었으며 심전도상 심방 세동과 단순 흉부 촬영에서 심장비대소견을 보이고 있었다. 혈액 검사에서 백혈구(white blood cell) 12,290/mm3 (참고치 4,000-10,000), pro B-type natriuretic peptide 3,100 pg/mL (참고치 0-125), 고민감도 C 반응성단백시험(high-sensitivity C-reactive protein) 5.6 mg/dL (참고치 0-0.5)으로 상승 소견을 보이고 있었으며 다른 혈액 검사는 모두 정상이었다.감염성 심내막염 의심하에 미생물 혈액배양 검사와 경흉부 심장 초음파를 시행하였으며 초음파상 양심방(우심방, 좌심방)의 비대와 함께 중등도 이상의 승모판과 대동맥판의 역류, 그리고 대동맥판의 탈출증과 양 판막(대동맥판, 승모판)의 증식을 발견하여 감염성 심내막염을 진단하였다(Fig. 1). 환자는 추후 미생물 혈액배양 검사에서 Streptococcus viridans가 배양되었다.감염성 심내막염 진단 하에 시행한 경식도 심장 초음파상에서 우심방의 비대와 함께 대동맥의 왼쪽 발살바 동(valsalva sinus)에서 시작하여 우심방으로 연결되는 심장외 혈관을 발견하였으며 좌심방의 비대와 승모판에 1 cm 이상의 증식을 발견하여 대동맥-우심방 터널과 그에 동반된 감염성 심내막염을 진단할 수 있었다(Fig. 2).이후 시행한 수술 소견상 승모판에 1.5 cm, 대동맥판에 2 mm 크기의 증식이 관찰되었으며, 우심방의 심한 비대와 함께 우심방의 작은 구멍이 대동맥의 왼쪽 발살바 동으로 연결되어 있는 것을 발견하여 구멍에 도뇨관을 집어넣어 대동맥의 왼쪽 발살바 동을 통해 나오는 것을 확인하고 대동맥-우심방 터널을 증명하였다(Fig. 3). 이에 대해 대동맥-우심방 터널은 패치를 이용하여 폐쇄하였으며, 대동맥판과 승모판 역시 인공 판막으로 교체 시행하고 수술을 완료하였다.이후 항생제 치료하고 퇴원하였으며 현재 특별한 이상 없이 외래에서 경과관찰 중이다.
- 고 찰
- 고 찰
대동맥-우심방 터널은 대동맥동(aortic sinus)에서 기원하여 상대 정맥이나 우심방으로 연결되어 종료되는 혈관 채널로써 드문 기형이다[4]. 대개 선천성으로 발생하나 매독, 감염성 심내막염, 동맥경화증, 박리성 대동맥류 등의 후천성 요인에 의해서도 생길 수 있다[5]. 본 증례의 경우 좌우 단락에 의한 우심방의 비대가 보이고 감염성 심내막염의 다른 원인이 없어 선천성 대동맥-우심방 터널에 의해 감염성 심내막염이 발생한 것으로 추론된다.이러한 대동맥-우심방 터널은 심방 수준에서 좌우 단락처럼 행동하며 많은 환자에서 증상은 없으나 호흡곤란, 심계항진, 재발성 호흡기 감염 등의 증상이 있을 수 있으며 청진상 오른쪽 흉골 경계에서 심잡음이 청진될 수 있다. 그리고 단순 흉부 촬영상 가벼운 심장비대 또는 좌우 단락에 의한 심실 과부하의 임상적 증거를 가질 수 있다[6]. 본 증례의 경우에는 증상은 없었으나 단순 흉부 촬영상 심장비대와 청진상 오른쪽 흉골 경계에서 심잡음이 청진되었다.대동맥-우심방 터널은 특히 무증상의 심잡음을 가진 환자를 평가하면서 진단되는 경우가 많기 때문에 오른쪽 흉골 경계 또는 왼쪽 쇄골 아랫부분에서 심잡음이 있는 환자에서 의심해 볼 수 있다. 진단을 위한 수단으로 일반적으로 경흉부 심장 초음파가 비 침습적 진단 도구로 사용될 수 있으나 큰 발살바 동을 제외하고는 진단하기 힘든 단점이 있다[2]. 이 외에 혈관조영술이나 심장 컴퓨터단층촬영도 발살바 동 동맥류의 파열이나 관상동맥루의 파열 등을 감별하기 위한 수단으로 사용할 수 있다[7]. 국내에서도 심장 초음파를 이용해 진단한 증례와[8] 컴퓨터단층촬영을 이용해 진단한 증례가[9] 발표되었으며, 본 증례는 경식도 심장 초음파를 통해 대동맥-우심방 터널과 그에 동반된 감염성 심내막염을 진단한 증례이다.대동맥-우심방 터널은 대동맥 왼쪽 발살바 동에서 기원하는 후방 유형과 오른쪽 발살바 동에서 기원하는 전방 유형, 그리고 비관상 동맥동에서 기원하는 유형이 발표되었으며 왼쪽 발살바 동에서 기원하는 후방 유형이 흔한 것으로 알려져 있으며[10], 본 증례는 후방에서 기인하는 유형이다.현재 대동맥-우심방 터널의 태생학적 배경과 원인은 명확하게 밝혀지지 않은 상태이다. 동결절(sinus node) 동맥의 동맥류 팽창에 의한 것이라는 태생학적 기초로써 설명한 이론이 있으나 이는 비관상 동맥에 의한 대동맥-우심방 터널을 설명하지 못하며[1], 대동맥 중막(aortic media)에 있는 탄력판(elastic lamina)의 선천성 결핍에 의한 대동맥 벽의 결함과 높은 대동맥 압력, 그리고 해부학적 접근성으로 인해 낮은 압력을 지닌 우심방으로 대동맥이 점진적으로 확대 및 파열로 이어져 심장외 터널을 형성한다는 이론이 현재로선 유력하다[7].대동맥-우심방 터널의 치료로는 여러 가지가 있으나 수술적 폐쇄가 권유되고 있다. 하지만 작은 터널의 경우에는 제한적으로 코일색전술도 사용할 수 있으며 터널에 대한 결찰술도 치료로써 사용할 수 있다[7]. 수술적 폐쇄는 대동맥 무능력과 심부전을 예방할 수 있는 확실한 치료법이지만 무증상 환자에서 수술적 폐쇄에 대해 논쟁의 여지가 있다. 하지만 지속적인 터널의 개통은 양 심실의 볼륨 과부하로 진행할 수 있고, 심부전, 감염성 심내막염, 동맥류 형성과 자연 파열의 위험성이 있는 것으로 알려져 있다. 또한 확실한 교정 수술은 장기적으로 좋은 예후를 가지고, 효과적이며 안전한 것으로 알려져 있어 진단 후 수술적 폐쇄를 하는 것이 보통이다[3,6].대동맥-우심방 터널은 드문 기형으로서 정확한 진단과 치료에 대해 지침이 없어 앞으로 연구가 더 필요하다고 할 수 있다. 본 저자들은 대동맥-우심방 터널 환자에서 감염성 심내막염이 동시에 진단되어 치료한 증례 1예가 있어 문헌고찰과 함께 보고하는 바이다.
Figure 1.
Transthoracic echocardiography shows (A) 1.3 cm × 0.59 cm sized vegetations (arrow) in the mitral valve on parasternal long axis view. (B) Vegetations (arrow) in the aortic valve. (C) Moderate to severe mitral regurgitation. (D) Moderate to severe aortic regurgitation. (E) Aortic valve prolapse (arrow) on the parasternal short axis view. (F) Biatrial enlargement on an apical four- chamber view. LA, left atrium; LV, left ventricle; AO, aorta; AV, aortic valve; RA, right atrium.
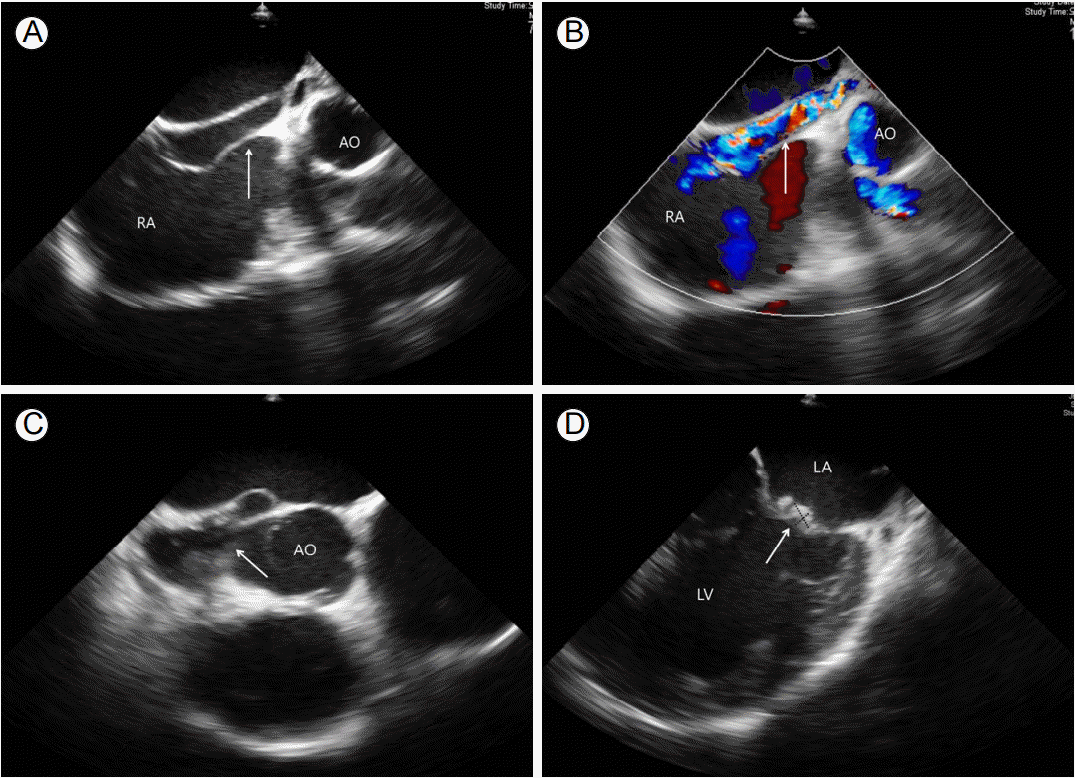
Figure 2.
Transesophageal echocardiography revealed (A) RA enlargement and aorta-right atrial tunnel (arrow). (B) The presence of extra-cardiac blood flow (arrow) between the AO and the RA. (C) A channel originating from the left valsalva sinus of the aorta (arrow). (D) 1.01 cm × 0.67 cm sized vegetations (arrow) in the mitral valve. RA, right atrium; AO, aorta; LA, left atrium; LV, left ventricle.
Figure 3.
Surgical findings revealed (A) a 2 mm sized vegetation in the aortic valve. (B) Insertion of a foley catheter in the right atrium hole. (C) Left sinus Valsalva out by foley.
- References
- References
REFERENCES
1. Coto EO, Caffarena JM, Such M, Marques JL. Aorta--right atrial communication. Report of an unusual case. J Thorac Cardiovasc Surg 1980;80:941–944.
[PubMed]2. Belgi A, Kardelen F, Tüzüner FE. Aortico-right atrial tunnel: case of a rare congenital communication. Türk Kardiyol Dern Arş 2003;31:298–302.3. Türkay C, Gölbaşi I, Belgi A, Tepe S, Bayezid O. Aorta-right atrial tunnel. J Thorac Cardiovasc Surg 2003;125:1058–1060.
[Article] [PubMed]4. Sai Krishna C, Baruah DK, Reddy GV, Panigrahi NK, Suman K, Kumar PV. Aorta-right atrial tunnel. Tex Heart Inst J 2010;37:480–482.
[PubMed] [PMC]5. Jones AM, Langley FA. Aortic sinus aneurysms. Brit Heart J 1949;11:325–341.
[Article] [PubMed] [PMC]6. Akar AR, Şırlak M, Eyileten Z, Taşöz R, Özyurda Ü. Aorticocameral communication from right sinus of valsalva to right atrium. Ankara Üniversitesi Tıp Fakültesi Mecmuası 2006;59:73–76.7. Gajjar T, Voleti C, Matta R, Iyer R, Dash PK, Desai N. Aorta-right atrial tunnel: clinical presentation, diagnostic criteria, and surgical options. J Thorac Cardiovasc Surg 2005;130:1287–1292.
[Article] [PubMed]8. Kim KN, Cho KI, Kim JJ, et al. A case of aorta-right atrial tunnel presented with an asymptomatic murmur. Korean Circ J 2013;43:640–643.
[Article] [PubMed] [PMC]
