신이식 환자에서 성공적으로 치료된 BK 바이러스 관련 출혈성 방광염
- 박시형1, 이가희1, 박봉수1, 진규복1, 박진한1, 강진두2, 김양욱1
Successful Treatment of BK Virus-Associated Hemorrhagic Cystitis in a Kidney Transplant Patient: a Case Report
- Sihyung Park1, Ga Hee Lee1, Bong Soo Park1, Kubok Jin1, Jin Han Park1, Jin Du Kang2, Yang Wook Kim1
- Received June 30, 2015; Revised July 15, 2015; Accepted July 31, 2015;
- Abstract
-
신이식 한 환자에서 출혈성 방광염의 증상인 육안적 혈뇨와 하부 요로계 증상이 있다면 BK 바이러스 관련 질환의 가능성도 생각해야 한다.
- Abstract
-
Hemorrhagic cystitis is defined as diffuse mucosal inflammation of the urinary bladder that presents with gross hematuria. A variety of factors, including chemotherapeutic agents, radiation therapy and infection, can cause hemorrhagic cystitis. Among them, BK virus associated hemorrhagic cystitis is common in patients who have undergone stem cell transplantation but relatively rare in kidney transplantation patients. Here, we present the case of a kidney-transplant patient with BK virus-associated hemorrhagic cystitis and interstitial nephritis who was successfully treated with leflunomide and ciprofloxacin.
- 서 론
- 서 론
출혈성 방광염은 배뇨통, 절박뇨, 혈뇨 등의 요로계 증상을 야기하는 하부 요로계 감염으로 주로 세균이나 바이러스 감염, 방사선 조사 그리고 cyclophosphamide와 같은 신 독성 약제에 의해 발생하며, 특히 골수이식 환자들의 약 10–68%에서 발생하는 주요 합병증이다[1]. 최근에는 이식 분야의 치료가 활발히 진행되는 동시에, 기회감염 및 잠복감염의 재활성화가 문제시되고 있다. BK 바이러스는 대부분의 성인에서는 잠복감염 형태로 주로 요로 상피 및 신장 조직에 존재하며, 면역저하 상태에서 재활성화되어 질병을 유발한다. BK 바이러스에 의한 질병은 골수이식 환자에서는 주로 지연성 출혈성 방광염 형태로 나타나고, 신이식 환자에서는 세뇨관신증 및 요관 협착 그리고 BK 신병증 형태로 나타난다고 알려져 있다[2]. 본 저자들은 신이식 환자에서는 드문 BK 바이러스와 관련된 출혈성 방광염이 간질성 신염과 동반된 1예를 경험하였고, leflunomide와 ciprofloxacin으로 효과적으로 치료하였기에 문헌고찰과 함께 보고하는 바이다.
- 증 례
- 증 례
한 달 전에 신이식 이후 외과에서 경과관찰하던 61세 여자가 당일 발생한 심한 배뇨통과 육안적 혈뇨를 주소로 응급실에 왔다. 고혈압에 의한 신질환으로 2년간 혈액투석을 하던 환자로, 뇌사자로부터 신이식(2 haplotype match; 4 of mismatch, cold ischemic time: 619분)을 받았으며 면역억제제(하루 tacrolimus 4 mg, mycophenolate mofetil [MMF] 1,500 mg, deflazacort 36 mg)를 복용 중이었다. 내원 당시 생체징후는 혈압 130/80 mmHg, 맥박 83회/분, 호흡수 20회/분, 체온은 36.8℃였다. 신체검사에서 이식 신 주위의 통증 및 열감은 없었으나 치골 상방으로 심한 압통이 있었다. 혈액 검사에서는 혈색소 12.7 g/dL, 백혈구 9,090/μL (호중구 73.0%, 림프구 19.0%), 혈소판 145,000/μL였다. 또한 혈중요소질소 24.2 mg/dL, 크레아티닌 0.99 mg/dL을 포함하여 간기능 및 전해질 검사의 결과는 정상이었다. C-반응단백은 0.34 mg/dL였다. 혈액 응고 검사(prothrombin time, activated partial thromboplastin time)는 정상범위였다. tacrolimus 최저혈중약물농도는 8.4 mg/mL였다. 소변검사 소견은 적혈구 > 100/고배율시야, 백혈구 51-100/고배율시야, 변형 적혈구 < 10이었다. 초음파 검사에서 이식 신에는 특이소견이 없었으나, 두꺼워져 있는 방광벽을 관찰할 수 있었으며(Fig. 1), 혈뇨 발생 5일 후의 혈색소가 9.5 g/dL까지 감소하여 grade 3의 출혈성 방광염으로 진단할 수 있었다. 초기 소변 배양검사에서 세균은 발견되지 않았고, 항생제를 투여(3세대 세팔로스포린)하며 1주일간 경과관찰하였으나 육안적 혈뇨 및 배뇨통이 지속되어 환자는 내과로 전과되었다. 추가로 시행한 소변의 아데노바이러스, 거대세포바이러스, 마이코플라즈마, 항산균 및 진균에 대한 검사는 모두 음성이었다. 또한 2회 시행한 뇨세포 검사에서 decoy cell은 발견되지 않았다. 그러나 polymerase chain reaction (PCR)을 이용한 소변의 BK 바이러스 정량검사에서 1,287,300 copies/mL의 바이러스가 검출되었다. 단, 혈액에서는 검출되지 않았다(< 700 copies/mL). 이에 BK 바이러스와 관련된 출혈성 방광염 진단 하에 MMF를 중단하였으며 tacrolimus는 최저혈중약물농도 6 ng/mL를 목표로 감량하였다. 그리고 ciprofloxacin 200 mg 하루 2회 정맥주사하였으나 치료 중에 초기에 없던 발열(38.5℃)이 발생하며 신기능 악화가 동반되었다(크레아티닌 1.6 mg/dL). BK 바이러스를 효과적으로 조절하기 위해 충분한 수액 공급과 더불어 leflunomide 부하용량(100 mg 3일)을 투여한 이후 유지용량(20 mg)을 투여하였다. 또한 재시행한 이식 신 초음파에서 이전에 없었던 수신증을 발견하였다(Fig. 2). 이식 신의 거부반응을 감별하기 위해 이식 신 조직검사를 시행하였고 호중구와 단핵구 침윤을 동반한 간질의 출혈과 괴사 소견을 동반한 interstitial inflammation score 3에 해당하는 심한 염증 소견은 볼 수 있었으나 거부 반응과 관련한 intimal arteritis나 peritubular capillaries의 C4d 침착은 찾기 어려웠다. SV40 면역형광염색에서 equivocal patch intratubular staining을 보였으나 전자현미경에서 바이러스 입자를 발견할 수는 없었다(Fig. 3). Ciprofloxacin과 leflunomide를 일주일간 투여 이후 소변의 BK 바이러스는 351,960 copies/mL까지 감소하였고, 환자의 주관적인 증상이 소실되었다. 소변검사 소견은 적혈구 0-2/고배율시야, 백혈구 3-5/고배율시야로 혈뇨가 호전되었고 신기능은 크레아티닌 0.96 mg/dL로 회복되었다. 2달 후, 신 초음파에서 수신증은 관찰할 수 없었다. 또한 조직검사에서 BK 바이러스는 발견할 수 없었고, 이전 조직검사에서 보였던 interstitial inflammation과 fibrosis를 여전히 관찰할 수 있었다(Fig. 4). 현재 요로계 관련 증상은 없으나 viruria는 지속되는 상태로 cyclosporine으로 면역억제제 변경 후 경과관찰 중이다.
- 고 찰
- 고 찰
BK 바이러스는 non-enveloped 이중나선 구조의 polyomavirus의 일종으로 성인의 약 80%가 어릴 때 최초 감염된 후, 비뇨기 상피세포에 잠복해 있다가 면역 저하 상태가 발생하면 질병을 일으키는 잠복감염의 원인 중에 하나이다. 신이식 환자를 대상으로 한 전향적 연구에서 약 45%에서 BK 바이러스 재활성화를 보였으나[3], 약 5% 정도에서만 주로 세뇨관 간질성 신염 형태로 증상이 나타났고, 증상이 나타난 환자의 약 36%에서 이식 신의 기능 장애를 가져왔다[4]. BK 바이러스 재활성화에 관여하는 인자로는 human leukocyte antigen (HLA) mismatch, cold ischemic time, 면역억제제 사용, 특히 tacrolimus와 MMF과 steroid의 병합요법을 사용할 경우로 알려져 있으며[5], 본 증례 환자는 이러한 위험인자들이 모두 있었다. BK 바이러스의 증명은 주로 소변의 세포검사에서 decoy 세포를 관찰하거나 소변 침전물의 전자현미경관찰 또는 효소면역측정법(enzyme linked immunoabsorbent assay, ELISA) 또는 중합 효소 연쇄 반응(PCR)을 통해 이루어진다. 국외의 BK 바이러스와 관련한 신이식 환자에서의 출혈성 방광염에 대한 보고 1예는, 소변에서 decoy 세포를 발견할 수 있었고 방광경을 통한 조직검사를 통해 확진하였고 MMF만 중단함으로써 호전을 기대할 수 있었다[6]. 그러나 KoreaMed나 Kmbase 등에서 국내 증례는 찾을 수 없었다. 출혈성 방광염의 형태로 나타난 본 증례의 경우, 2회의 소변 세포검사에서 decoy 세포를 관찰할 수는 없었다. 그러나 decoy 세포 발견을 통한 진단은 민감도가 높지 않으며[7], 소변에서의 BK 바이러스 양이 106 copies/mL 이상일 경우 BK 바이러스로 인한 출혈성 방광염의 연관성이 높고[8], 바이러스 양이 줄어들면서 증상이 호전되었기에 침습적인 방광 조직검사를 통한 virus particle 확인 없이도 충분히 BK 바이러스에 의한 출혈성 방광염으로 진단할 수 있었다. 효과적인 BK 바이러스 치료는 아직까지 정립되지 않았으나, 충분한 수액 공급 및 면역억제제의 감량과 같은 대증 치료를 우선적으로 할 수 있으며, cidofovir 등도 사용할 수 있다. 면역억제제의 감량은 이식 초기에 거부 반응으로 인한 이식 신의 기능 상실을 유발할 수 있으므로 항상 주의해야 한다. 본 증례에서도 거부반응을 감별해야만 하는 신기능 감소소견이 관찰되었으나, 사구체와 세뇨관의 이상소견보다는 간질조직의 전반적인 출혈과 호중구와 단핵구의 침윤을 동반한 간질성 신염이 관찰되었다. 간질성 신염은 대부분 약제에 의해 발생하나, 본 증례의 경우 원인 약물로 의심할 만한 부분이 없으며 피부발진이나 혈중 또는 조직의 eosinophil도 관찰할 수 없었다. 감염과 관련한 anti-tamm horsfall protein에 의한 간질성 신염도 생각해볼 수 있으나 정상 혈중 IgG 수치를 보이고 조직검사에서도 면역 복합체 침착 등을 발견할 수 없었다. 비록 전자현미경에서 조직의 virus 입자를 발견할 수 없었으나, 이는 조직의 심한 괴사 및 염증으로 인한 viable tissue 부족 때문일 것으로 생각된다. 면역형광검사에서 SV40의 equivocal한 intratubular staining이 관찰된 바, 간질성 신염의 원인으로 BK 바이러스를 고려하는 것이 바람직해 보인다. 새로 발생한 수신증의 경우는 혈전과 ureteral inflammation에 의한 폐쇄성 신병증 때문일 것으로 생각된다. 대부분의 출혈성 방광염은 골수이식 환자에서 보고되고 있으며, 수액 공급 및 방광 세척 그리고 cidofovird의 정맥 주사 및 방광내 약물 주입 등이 치료적 방법으로 이용되었다[9]. Cidofovir의 경우 BK 바이러스성 출혈성 방광염에서 84%의 임상증상 호전과 47%의 바이러스성 반응을 보인다는 보고가 있으나[10], 신독성과 비용적 측면에서 부담이 된다. Leflunomide의 경우 부하용량 100 mg을 5일간 사용 후, 20-40 mg의 유지용량을 사용하는 것으로 알려져 있으나 본 증례에서는 일시적인 신기능 악화가 관찰되어 부하용량 3일 사용 후 20 mg의 유지용량을 사용하였으나 부작용 없이 효과적으로 바이러스의 양을 조절할 수 있었다. 말기 신부전 환자가 증가하는 현 시점에서, 신이식을 필요로 하는 환자는 많으나 기증자가 부족한 관계로 HLA 불일치 이식이 증가하면서 좀 더 강력한 면역억제제를 사용하는 경우가 많아지고 있으며, 따라서 이러한 바이러스의 위험에 항상 노출되어 있다. 본 저자들은 신이식 환자에서 드물게 나타나는 BK 바이러스 관련 출혈성 방광염을 진단하고 ciprofloxacin과 leflunomide를 이용하여 효과적으로 바이러스 양을 조절하였기에 경험을 공유하고자 문헌고찰과 함께 살펴보았다.
Figure 1.
Diffuse bladder wall thickening (A) and no abnormal echogenicity of the kidney (B) on ultrasonography.
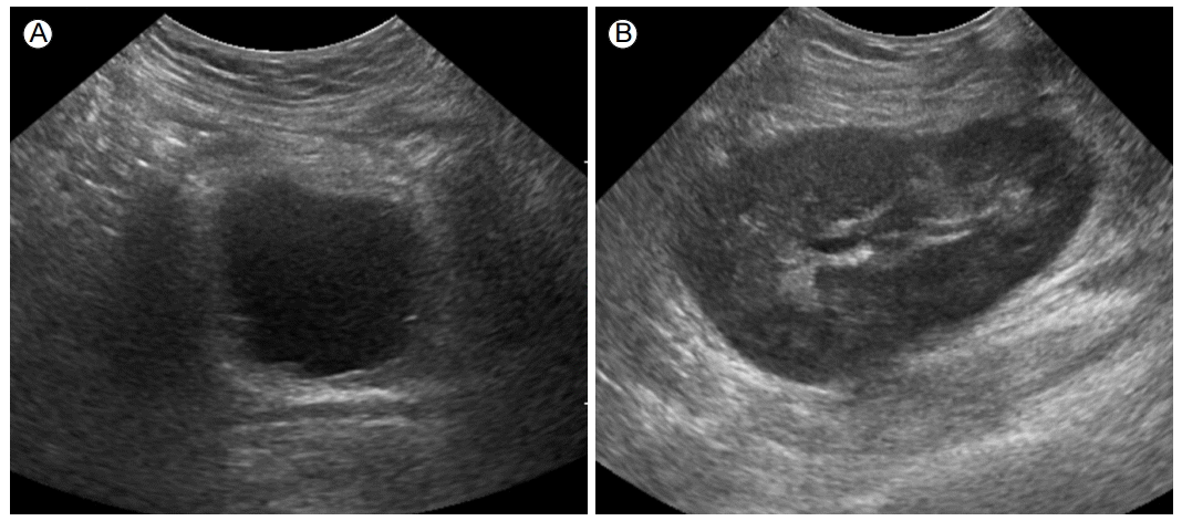
Figure 2.
Newly developed hydronephrosis of the transplanted kidney (A), with normal RI (B). PSV, peak systolic velocity; EDV, end-diastolic velocity; MDV, minimum diastolic velocity; RI, resistive index; PI, pulsatility index; AT, acceleration time; TAPV, time-averaged peak velocities; AI, acceleration index.
Figure 3.
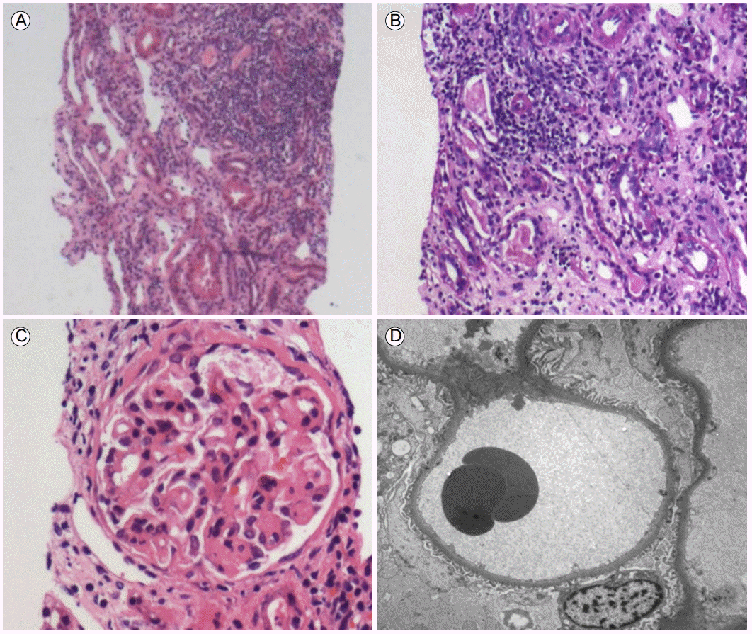
Kidney biopsy revealed widespread interstitial hemorrhage, infiltration of neutrophils and mononuclear cells (×4, A), normal thickness of the glomerular basement membrane with focal irregular wrinkling (×20, B), no electron-dense deposits (C), equivocal patch minimal intratubular immunofluorescence staining with SV40 T antigen antibody (D).
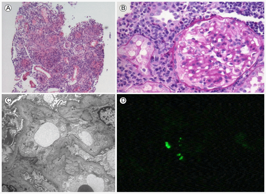
Figure 4.
Two months later, kidney biopsy revealed infiltration of mononuclear cells and fibrosis in the interstitium without tubulitis (×4, A and ×10, B), segmental scarring with a normal-sized glomerulus (C), and no electron-dense deposits (D).
- References
- References
REFERENCES
1. Sencer SF, Haake RJ, Weisdorf DJ. Hemorrhagic cystitis after bone marrow transplantation. Risk factors and complications. Transplantation 1993;56:875–879.
[Article] [PubMed]2. Pahari A, Rees L. BK virus-associated renal problems--clinical implications. Pediatr Nephrol 2003;18:743–748.
[Article] [PubMed]3. Gardner SD, MacKenzie EF, Smith C, Porter AA. Prospective study of the human polyomaviruses BK and JC and cytomegalovirus in renal transplant recipients. J Clin Pathol 1984;37:578–586.
[Article] [PubMed] [PMC]4. Randhawa PS, Demetris AJ. Nephropathy due to polyomavirus type BK. N Engl J Med 2000;342:1361–1363.
[Article]5. Kwak EJ, Vilchez RA, Randhawa P, Shapiro R, Butel JS, Kusne S. Pathogenesis and management of polyomavirus infection in transplant recipients. Clin Infect Dis 2002;35:1081–1087.
[Article] [PubMed]6. Singh D, Kiberd B, Gupta R, Alkhudair W, Lawen J. Polyoma virus-induced hemorrhagic cystitis in renal transplantation patient with polyoma virus nephropathy. Urology 2006;67:423.e11–423.e12.
[Article]7. Nickeleit V, Klimkait T, Binet IF, et al. Testing for polyomavirus type BK DNA in plasma to identify renal-allograft recipients with viral nephropathy. N Engl J Med 2000;342:1309–1315.
[Article]8. Bogdanovic G, Priftakis P, Giraud G, et al. Association between a high BK virus load in urine samples of patients with graft-versus-host disease and development of hemorrhagic cystitis after hematopoietic stem cell transplantation. J Clin Microbiol 2004;42:5394–5396.
[Article] [PubMed] [PMC]9. Yoon H, Kim JE, Park JS, et al. Intravesical cidofovir in the treatment of hemorrhagic cystitis after unrelated cord blood transplantation. Korean J Med 2011;81:663–666.
