The Korean Journal of Internal Medicine

Search

Close

면역억제 치료 후 Darbapoetin에 반응한 진성 적혈구 무형성증

면역억제 치료 후 Darbapoetin에 반응한 진성 적혈구 무형성증

손인성1, 김도영1, 박수연1, 나하영1, 이정현2, 허태회3, 조영일1

Successful Rechallenge with Darbepoetin Following Immunosuppressive Therapy in a Dialysis Patient with Erythropoietin-Induced Pure Red Cell Aplasia

In-Sung Son1, Do-Young Kim1, Soo-Youn Park1, Ha-Young Na1, Jung-Hyun Lee2, Tae-Hwe Heo3, Young-Il Jo1
Received August 21, 2012;       Revised October 23, 2012;       Accepted October 24, 2012;
Abstract
항 EPO 항체에 의한 PRCA는 매우 드물지만 적절한 치료를 하지 않으면 지속적인 적혈구 수혈이 필요하게 되므로 문제가 된다. PRCA가 진단되면 ESA 투여를 중단하고 면역억제 치료를 하는 것이 필요하다. 특히 항 EPO 항체는 모든 종류의 ESA 제제와 교차반응을 하므로, 어떤 ESA 제제로도 교체 투여하지 않아야 한다. 국내에서는 3예의 증례가 보고되었는데, 면역억제 치료를 시행하였으나 모든 예에서 치료에 성공하지 못하였다. 저자들은 EPO-α를 피하 주사하던 환자에서 발생한 PRCA를 면역억제 치료 후에 darbepoetin-α로 교체 투여하여 성공적으로 치료한 예를 경험하였기에 문헌 고찰과 함께 보고한다.
Abstract
Patients with erythropoiesis-stimulating agent (ESA)-induced pure red cell aplasia (PRCA) should not routinely be switched to an alternative ESA or to darbepoetin-α because anti-erythropoietin (anti-EPO) antibodies cross-react with all kinds of recombinant ESAs. We present a case of ESA-induced PRCA in a 69-year-old man on hemodialysis whose anemia improved with reintroduction of darbepoetin-α following immunosuppressive therapy. The patient developed severe anemia after 15 months of subcutaneous administration of erythropoietin-α. After the diagnosis of PRCA, erythropoietin-α was discontinued and immunosuppressive therapy with a combination of prednisolone and oral cyclophosphamide was initiated. After 4 months of immunosuppressive therapy, the anti-EPO antibody titer was markedly decreased; however, esophageal candidiasis developed. Additional therapy with cyclosporine alone instead of prednisone and cyclophosphamide was performed, and anti-EPO antibody was subsequently not detected. Darbepoetin-α was then reintroduced, and the patient’s anemia improved without red cell transfusion. In conclusion, ESA-induced PRCA was successfully treated with reintroduction of darbepoetin-α following immunosuppressive therapy. (Korean J Med 2013;84:742-746)
서 론
서 론
만성신부전 환자에서는 흔히 동반되는 빈혈은 신장에서 에리트로포이에틴(erythropoietin, EPO)의 합성이 감소되는 것이 주요 원인이므로 적혈구 생성 자극제(erythropoietin stimulating agent, ESA)가 치료에 필수적이다. 그러나 그 빈도가 10,000환자-년(patient-years)마다 약 0.02-1.6예로 드물기는 하지만 항 EPO 항체(anti-erythropoietin antibody)에 의한 진성적혈구 무형성증(pure red cell aplasia, PRCA)이 발생할 수 있다는 것이 문제다[1,2]. PRCA로 진단이 되면 ESA 투여를 중지해야 하며, 다른 어떤 종류의 재조합 ESA로도 교체 투여하지 말아야 하는데, 이는 항 EPO 항체가 darbepoetin-α을 포함한 모든 종류의 ESA 제제에 교차반응을 보이기 때문이다[3]. 아울러 혈중 항 EPO 항체를 낮추기 위한 면역억제 치료가 일반적으로 사용된다[4]. 그러나 면역억제 치료는 무작위 대조 연구를 통해 확립된 방법은 아직 없는 상태이다.
투석 환자에서 발생한 PRCA는 국내에서는 2004년에 Yang 및 Kim 등에 의해 3예의 증례가 보고되었다[5-7]. 모두 EPO-α 제제를 피하로 투여하는 중에 발생하였고, ESA를 중지한 후에 다양한 방법의 면역억제 치료가 시행되었으나 보고된 3례 모두에서 면역억제 치료에 대한 반응은 나타나지 않았다. 이와는 달리 저자들은 EPO-α를 피하로 투여 중인 혈액투석 환자에서 발생한 PRCA를 면역억제제로 성공적으로 치료한 예를 경험하였다. 면역억제 치료로 혈중 항 EPO 항체가 음전된 후에 darbepoetin-α를 정맥으로 주사하였고 이후 더 이상의 수혈 없이도 환자는 적정 혈색소 농도를 유지하였다. 이와 같은 증례는 국내에 아직 보고된 바가 없기에 문헌고찰과 함께 보고하는 바이다.
증 례
증 례
환 자: 69세, 남자
주 소: 재조합 EPO-α에 저항성을 보이는 심한 빈혈
과거력: 약 20년 전부터 당뇨병으로 인슐린 및 경구 혈당 강하제로 혈당을 조절하던 중에 2000년에 만성 신부전증을 진단받았다.
현병력: 2005년 3월에 혈액투석을 시작하여 주 3회 유지 혈액투석을 받던 중 2005년 8월에 본원으로 전원되었다. 전원 당시 환자는 매 투석 시마다 4,000 단위의 EPO-α (Eporon®)를 피하로 투여받고 있었고, 본원에서도 EPO-α 투여를 계속 하였다. 혈색소는 10.0 ± 0.9 g/dL (8.7-11.0)로 유지되고 있었는데, 2006년 10월부터 혈색소가 갑자기 6.2 g/dL로 감소되어 EPO-α를 6,000 단위로 증량하고 월 3-4 파인트의 적혈구를 수혈하였으나 빈혈은 호전되지 않았다. 이후 혈색소수치가 5.8 g/dL까지 감소하여 PRCA를 의심하여 이에 대한 검사 및 치료를 위해 입원하였다.
이학적 검사: 입원 당시 혈압은 150/68 mmHg, 맥박 66/분, 호흡수 21/분, 체온 36.5℃였다. 만성 병색을 보이고 있었으며 결막은 창백하였고 EPO-α를 주사한 피부에는 두드러기성 발진이 있었다. 흉부 및 복부 검진에서 특이한 이상 소견은 관찰되지 않았다.
검사 소견: 입원 당시 말초혈액검사는 백혈구 7,300 mm3, 혈색소 7.4 g/dL, 적혈구 용적률 22.0%, 평균 적혈구용적 92.8 fL, 평균 적혈구혈색소량 31.2 pg, 평균 적혈구혈색소 농도 33.6 g/dL, 혈소판 168,000/mm3, 망상적혈구 2,000/mm3였다. 혈청생화학 검사는 총 단백 7.1 g/dL, 알부민 4.3 g/dL, AST 12 IU/L, ALT 5 IU/L, 혈청요소질소 40.4 mg/dL, 크레아티닌 5.2 mg/dL, 혈청철 183 μg/dL, 총 철결합능 197 μg/dL, ferritin 815.9 ng/mL이었고, 혈청 vitamin B12 1900 pg/mL, folate 20 ng/mL이었다. 말초혈액도말검사에서 정구성 정색소성 빈혈이 관찰되 A었고 백혈구와 혈소판의 수 및 모양은 정상이었다. 혈청검사에서 HBs 항원, 항 HCV 항체, 항 HIV 항체, Parvovirus B19 PCR, CMV PCR, 직접 및 간접 쿰즈 검사, 항혈소판 항체 등은 모두 음성이었다. 대변 혈색소 검사는 음성이었고 위내시경과 대장내시경 검사는 모두 정상이었고 위장관 출혈의 증거는 없었다. 단순 흉부 검사는 정상이었다.
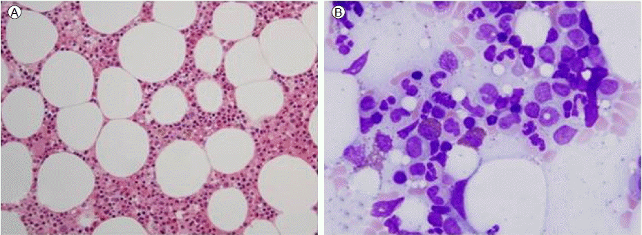
PRCA를 확진하기 위해 골수 검사와 항 EPO 항체 검사를 시행하였다. 골수 검사에서 세포 충실도는 30%로 감소되어 있었고 적혈모구(erythroblast)가 6.4%, M:E 비가 10.3:1로 심한 적혈구계 저형성증 소견이 있었으며 과립구계와 거핵구계 세포는 정상이었다(Fig. 1). 방사선면역침전법 검사에서 항 EPO 항체가 검출되었고, 그 결합능은 7.0 U/mL였다. 항 EPO 항체의 중화능을 평가하기 위한 배양 검사에서도 환자의 혈청은 정상 골수 세포의 집락 형성을 현저하게 억제하여 항 EPO 항체에 의한 PRCA에 합당한 소견을 보였다.
치료 및 경과: PRCA를 확진한 후에 즉시 EPO-α 투여를 중단하고 외래에서 매일 prednisolone 70 mg (1.0 mg/kg per day)와 cyclophophamide 50 mg을 경구로 투여하였다. 면역억제 요법을 시작한 지 2개월 후에 항 EPO 항체가 0.4 U/mL로 감소하였고, 2주 간격으로 적혈구 1 파인트만 수혈해도 헤모글로빈 농도 9.0-10 g/dL를 유지할 정도로 수혈 요구량이 감소하였다. 그러나 칸디다 식도염이 발생하여 면역억제제를 중단하면서 fluconazole를 투여하였다. 칸디다 식도염이 완치된 이후 cyclosporine 200 mg을 약 4개월 동안 투여하였고, 이후 3개월째 항 EPO 항체는 0.3 U/mL 이하로 감소하였다. 항 EPO 항체가 검출되지 않는 것을 확인한 후에 darbepoetin-α 30 μg을 주 1회 투여하기 시작하였으며, 이후 PRCA는 재발되지 않고 더 이상의 수혈 없이 혈색소 농도가 10.6-11.2 g/dL으로 유지되었다(Fig. 2). 환자는 특별한 문제 없이 지내던 중 2008년 8월에 폐암이 발견되어 항암 치료를 받다가 2011년 11월에 폐렴으로 사망하였다.
고 찰
고 찰
만성신부전 환자에서 항 EPO 항체에 의한 PRCA는 ESA를 투여 중인 환자의 극히 일부에서만 발생하는데, 대부분의 증례는 2004년 이전에 Eprex를 피하주사로 투여한 환자에서 보고되었다. 피하주사 대신 정맥으로 투여하고 1회용 실린지에 코팅 처리된 고무마개를 사용한 이후로는 그 발생 빈도가 현저하게 감소하여 2005년에는 10,000환자-년당 0.02-0.03예 밖에 발생하지 않았다[8]. 그러나 드물기는 하지만 아직도 PRCA가 보고되고 있으므로, ESA를 3-4주 이상 투여 중인 환자에서 빈혈이 ESA에 저항성을 보이면서 망상적혈구수가 감소하면 반드시 PRCA를 의심해 보아야 한다[9].
본 증례에서는 15개월 이상 EPO-α를 피하로 투여하던 중에 매주 1-2 파인트 이상의 적혈구 수혈이 필요할 정도의 심한 빈혈이 갑자기 발생하였고 망상적혈구 수는 2,000/mm3로 감소되어서 PRCA를 의심하였으며, 골수 검사에서 심한 적혈구계 저형성증 소견과 함께 혈중에서 중화능을 가진 항 EPO 항체가 검출되어 PRCA로 진단하였다. 항 EPO 항체를 검사하는 방법에는 방사선면역 침전법, 간접효소면역 측정법(enzyme linked immunosorbent assay, ELISA), biosensor assay 등이 있으나 각 검사법마다 장단점이 있어서 어느 것이 더 우수한지는 이야기하기 어렵다. 본 증례에서는 방사선면역 침전법 및 중화능 검사를 시행하여 PRCA를 확진하였다. 이후 2011년에 최초 진단 당시의 검체를 이용하여 bridging ELISA 방법으로 다시 검사하였는데, 항 EPO 항체 농도는 62.4 ng/mL로 양성이었으며 중화능은 58.8%였다(Fig. 3).
PRCA로 확진이 되면 모든 종류의 ESA 투여를 중지하고 면역억제 치료를 하는 것이 권장되지만, 확립된 면역억제 치료법은 아직 없다[4]. 그러나 보고된 증례들을 보면 prednisone(1.0 mg/kg/day)과 경구 cyclophosphamide (50-100 mg/day)를 3-4개월 동안 같이 투여하는 것이 가장 효과적이었으며, cyclosporine (200 mg 하루 1회 혹은 100 mg 하루 2회)을 단독으로 투여하는 것도 비교적 효과적이었다[10,11]. 지금까지 국내에 보고된 3예의 PRCA는 oxymetholone 투여, 경구 prednisolone과 면역 글로불린 정맥주사 병용, 그리고 cyclosporine 단독 투여 등의 면역억제 치료가 시행되었으나 치료에 대한 반응은 한 예에서도 없었다(Table 1). 이와는 달리 본 증례에서는 prednisolone과 cyclophosphamide를 투여하였는데, 항 EPO 항체가 면역억제 치료 전의 7.0 U/mL에서 0.4 U/mL로 현저하게 감소하여 면역억제 치료에 유의한 반응을 보였다. 면역억제 치료 중에 칸디다 식도염이 발생하여 치료를 중단하였으나, 칸디다 식도염이 완치된 이후에 다시 cyclosporine을 단독으로 투여하였다. 이후에는 면역억제 치료에 의한 특별한 부작용 없었고 항 EPO 항체는 0.3 U/mL 이하로 낮아져 검출되지 않았다.
PRCA로 확진이 되면 투여하던 ESA를 중지해야 할 뿐만 아니라 다른 어떤 종류의 ESA로 교체 투여하는 것도 피해야 한다. 그 이유는 항 EPO 항체는 darbepoetin-α를 포함한 모든 종류의 재조합 ESA 제제와 교차반응을 보일 뿐만 아니라, PRCA 환자에서 ESA 제제를 다시 사용하면 면역기억 항체반응(anamnestic antibody response)을 나타낼 수 있고 아나필락시스와 같은 심각한 전신반응을 유발할 수도 있기 때문이다. 그러나 면역억제 치료로 혈중 항 EPO 항체가 검출되지 않을 정도로 낮아진 경우에는 본 증례와 같이 darbepoetoen-α로 교체 투여하여 성공적으로 치료된 PRCA 예가 보고된 바 있다[10,11]. 면역억제 치료 후 ESA 제제를 다시 투여할 때는 가능하면 ESA를 정맥으로 투여하고 망상적혈구 수, 항 EPO 항체 및 전신반응을 세심하게 관찰하도록 권장되고 있다[12]. 본 증례에서는 이 지침에 따라 면역억제 치료로 혈중항 EPO 항체가 음전된 이후에 darbepoetin-α를 정맥으로 투여하였는데, 이후 PRCA는 재발하지 않았고 어떠한 전신반응도 나타나지 않았으며 더 이상 수혈을 하지 않고도 목표 혈색소 농도를 유지할 수 있었다.
결론적으로, 재조합 ESA를 투여 중인 만성신부전 환자에서 항 EPO 항체에 의한 PRCA가 진단되면, 즉시 ESA를 중지하고 적절한 면역억제 치료를 시작해야 한다. 본 증례는 prednisolone과 cyclophosphamide 병용요법이 효과적이며 면역억제 치료로 혈중에서 검출되지 않을 정도로 항 EPO 항체 농도가 낮아지면 darbepoetin-α를 투여하여 성공적으로 치료할 수 있음을 보여주고 있다.
Acknowledgments
Acknowledgments

항 EPO 항체에 대한 방사선면역 침전법 및 중화능 검사를 시행해 주신 프랑스의 Nicole Casadevall 교수님께 감사드린다.

Figure 1.
Results of bone marrow study. (A) Bone marrow section (× 400, H&E stain). (B) Bone marrow section (× 1,000, H&E stain). A megakaryocyte and myeloid precursors were observed, but the number of erythroid precursor cells was markedly decreased.
kjm-84-5-742-20f1.tif
Figure 2.
Clinical course. After immunosuppressive therapy, the anti-EPO antibody titer was markedly decreased and finally not detected. Following reintroduction of darbepoetin-α, the hemoglobin concentration was maintained at 10.6 to 11.2 g/dL without red blood cell transfusion.
kjm-84-5-742-20f2.tif
Figure 3.
Bioassy for anti-EPO antibody. (A) Serial changes of anti-EPO antibody titers following immunosuppresive therapy. (B) Neutralizing bioassay of multiple dilutions of the patient's serum. A rabbit polyclonal anti-EPO antibody was used as a positive control (PC). Normal human serum was used as a negative control (NC).
kjm-84-5-742-20f3.tif
Table 1.
Summary of cases of anti-erythropoietin antibody-related pure red cell aplasia reported in Korea
Case Sex Age Mean Hb Start of dialysis Duration of ESA use Type of ESA Immunosuppressive therapy Mean Hb after treatment Response to Immunosuppressive therapy
1a,b F 36 5.4 2002/1 2000/1-2003/6 EPO-α, sc Oxymetholone 5.0 No
2a M 24 4.5 2000/4 2000/4-2000/12 EPO-α, sc IVIG+PL 6.0 No
EPO-β, sc
3c M 48 6.6 2000/11 2000/11-2003/7 EPO-α, sc CsA 7.0 No
Present M 69 7.9 2005/3 2005/8-2006/10 EPO-α, sc CTX+PL 11.9 Yes
Case 2007/2-2011/11 Darbepoetin-α, iv → CsA

CsA, cyclosporin-A; CTX, cyclophosphamide; EPO, erythropoietin; Hb, hemoglobin; HD, hemodialysis; iv, intravenous; IVIG, intravenous immunoglobulin; PL, prednisolone; PRCA, pure red cell aplasia; sc, subcutaneous.

a See reference 5 (Korean J Nephrol 2004;23:809-814).

b See reference 7 (J Korean Med Sci 2010;25:1676-1679).

c See reference 6 (Korean J Nephrol 2004;23:528-531).

References
References

REFERENCES

1. Boven K, Stryker S, Knight J, et al. The increased incidence of pure red cell aplasia with an Eprex formulation in uncoated rubber stopper syringes. Kidney Int 2005;67:2346–2353.
[Article] [PubMed]
2. Cournoyer D, Toffelmire EB, Wells GA, et al. Anti-erythropoietin antibody-mediated pure red cell aplasia after treatment with recombinant erythropoietin products: recommendations for minimization of risk. J Am Soc Nephrol 2004;15:2728–2734.
[Article] [PubMed]
3. Casadevall N, Nataf J, Viron B, et al. Pure red-cell aplasia and antierythropoietin antibodies in patients treated with recombinant erythropoietin. N Engl J Med 2002;346:469–475.
[Article] [PubMed]
4. Verhelst D, Rossert J, Casadevall N, Krüger A, Eckardt KU, Macdougall IC. Treatment of erythropoietin-induced pure red cell aplasia: a retrospective study. Lancet 2004;363:1768–1771.
[Article] [PubMed]
5. Yang JS, Lee JE, Park DJ, et al. Two cases of pure red cell aplasia due to anti-erythropoietin antibodies. Korean J Nephrol 2004;23:809–814.
[Article]
6. Yang JO, Gil HW, Kwon SH, Choi YJ, Lee EY, Hong SY. Pure red-cell aplasia due to antibodies against erythropoietin. Korean J Nephrol 2004;23:528–531.

7. Lee H, Yang J, Kim H, et al. Improvement in erythropoieisstimulating agent-induced pure red-cell aplasia by introduction of darbepoetin-alpha when the anti-erythropoietin antibody titer declines spontaneously. J Korean Med Sci 2010;25:1676–1679.
[Article] [PubMed] [PMC]
8. McKoy JM, Stonecash RE, Cournoyer D, et al. Epoetinassociated pure red cell aplasia: past, present, and future considerations. Transfusion 2008;48:1754–1762.
[Article] [PubMed] [PMC]
9. KDOQI. KDOQI Clinical Practice Guideline and Clinical Practice Recommendations for anemia in chronic kidney disease: 2007 update of hemoglobin target. Am J Kidney Dis 2007;50:471–530.
[Article]
10. Andrade J, Taylor PA, Love JM, Levin A. Successful reintroduction of a different erythropoiesis-stimulating agent after pure red cell aplasia: relapse after successful therapy with prednisone. Nephrol Dial Transplant 2005;20:2548–2551.
[Article] [PubMed]
11. Summers SA, Matijevic A, Almond MK. Successful reintroduction of recombinant human erythropoietin following antibody induced pure red cell aplasia. Nephrol Dial Transplant 2004;19:2137–2139.
[Article] [PubMed]
12. Rossert J, Macdougall I, Casadevall N. Antibody-mediated pure red cell aplasia (PRCA) treatment and re-treatment: multiple options. Nephrol Dial Transplant 2005;20(Suppl 4):iv23–26.
[Article] [PubMed]
Memo patch ics

Go to Top