위장관을 관통하여 췌장까지 침범한 생선가시 2예
- 이길선1, 이은영1, 박은정1, 박하나1, 허진석2, 이종균1
Fish-Bone Penetration of the Gastrointestinal Tract Extending into the Pancreas: Report of Two Cases
- Gil Sun Lee1, Eun Young Lee1, Eun Jung Park1, Ha Na Park1, Jin Seok Heo2, Jong Kyun Lee1
- Received May 12, 2011; Revised May 30, 2011; Accepted July 29, 2011;
- Abstract
-
이물질을 섭취하게 되면 대부분은 1주 이내에 별다른 문제없이 위장관을 통과한다. 이물질이 위장관을 관통하여 이차적으로 췌장까지 침범하는 경우는 매우 드물다. 저자들은 이물질이 위장관을 관통하여 췌장까지 침범한 2예를 경험하여 이를 보고하고자 한다. 위장관을 관통한 이물이 흔치 않게 장기를 침범할 수 있으며, 임상적으로 비전형적으로 나타날 수 있으므로 복부증상을 주소로 내원한 환자에서 이물섭취의 가능성을 염두에 둔 세심한 진료가 필요하다.
- Abstract
-
Most ingested foreign bodies pass through the gastrointestinal tract uneventfully within 1 week of ingestion, and so gastrointestinal tract perforation is rare, occurring in less than 1% of patients. The occurrence of a pancreas penetration secondary to foreign-body perforation is even rarer. Here we report two cases of foreign-body penetration of the gastrointestinal tract extending into the pancreas and retroperitoneum. The findings of these cases serve to remind all clinicians that the diagnosis of a foreign-body perforation should always be kept in mind in a patient with abdominal symptoms, and physicians should endeavor to determine the history of ingestion and be aware of foreign bodies in CT scans. (Korean J Med 2012;82:718-723)
- 서 론
- 서 론
이물을 섭취하게 되면 80-90%에서 별다른 증상이나 위장관의 손상을 일으키지 않고 1주 이내에 별다른 문제없이 위장관을 통과하게 된다[1]. 증상은 폐색에 의해 이차적으로 발생하는 경우가 흔하며, 위장관의 천공이나 관통은 1% 이내에서 발생하는 드문 일이다[2]. 섭취하는 이물의 종류는 서구와 아시아 지역의 차이가 있으나 소아에서는 동전, 안전핀 등이 가장 많고, 성인에서는 생선이나 동물의 뼈, 음식물 덩어리가 많다[3,4]. 이물의 위험성은 이물의 종류와 위치에 따라 달라진다[3,5]. 장천공이 발생하면 복막염, 복강내 농양 등 여러 가지 합병증이 발생하는데, 드물게 다른 장기까지 침범하여 농양을 형성하기도 한다[1].저자들은 이물이 위장관을 관통하여 췌장까지 침범하였으나 농양이 발생하기 전 조기진단으로 이물을 제거한 1예와 침범성 췌장암으로 의심되었으나 이물에 의한 췌장 농양으로 밝혀진 1예를 보고하고자 한다.
- 증 례
- 증 례
- 증례 1
- 증례 1
환 자: 67세, 여자주 소: 상복부 통증현병력: 5일 전 아구찜을 먹은 뒤부터 날카롭고 찢어지는 듯한 양상의 상복부 통증이 간헐적으로 있어 개인병원 경유하여 췌장염 의증 진단하에 내원하였다.과거력: 협심증으로 9년 전 관상동맥우회술을 시행 받았고, 5년 전 경피적 관상동맥중재술을 시행 받았다.신체 검사: 입원 당시 활력징후는 혈압 133/69 mmHg, 맥박 78회/분, 호흡수 20회/분, 체온 36℃였고, 의식은 명료하였다. 흉부청진에서 심음은 규칙적이었으며 심잡음은 없었고, 호흡음의 이상은 없었다. 복부는 부드러웠으나 촉진 시에 압통이 있었다.검사실 소견: 말초혈액검사는 백혈구 8,470/mm3, 혈색소 11.8 g/dL, 혈소판 248,000/mm3였고, 혈청생화학 검사에서 아밀라아제 57.0 U/L, 리파제 61.0 U/L, 적혈구침강속도 78 mm/hr, C-반응단백질 3.83 mg/dL였다.방사선 소견: 복부 컴퓨터단층촬영에서 췌장경부에 약 4.3 cm 크기의 선상의 고음영 물질이 관찰되었다(Fig. 1). 복강 내에 자유공기나 복수는 없었으며, 췌장염을 시사할 만한 소견도 없었다.치료 및 경과: 생선가시가 위를 통과하여 췌장경부까지 침범한 것으로 의심하고 내시경적 이물 제거를 시도하였다. 내시경 소견에서 전정부 날문 앞에 작은 궤양과 주변 점막의 부종이 관찰되었으나(Fig. 2) 이물은 관찰되지 않아 내시경적 이물 제거에 실패하였다. 경험적 항생제(세프트리악손과 메트로니다졸) 치료를 시작하고 응급 개복술을 시행하였다. 위의 전정부를 통과하여 췌장까지 침범한 4 cm 길이의 생선가시가 발견되었다. 생선가시를 제거한 후 위 천공부위를 봉합하였다. 별다른 합병증 없이 회복하여 수술 후 9일째 퇴원하였다.- 증례 2
- 증례 2
환 자: 57세, 남자주 소: 상복부 통증현병력: 열흘 전부터 상복부 통증과 팽만감으로 타 병원에서 마비성장폐색증으로 치료받았으나 호전 없어 응급실로 내원하였다.과거력: 10년 전 담낭절제술을 시행 받았다.신체 검사: 내원 당시 활력징후는 혈압 137/83 mmHg, 맥박 92회/분, 호흡수 20회/분, 체온 37.3℃였고, 의식은 명료하였다. 흉부 청진에서 심음은 규칙적이었으며 심잡음은 없었고, 호흡음의 이상은 없었다. 장음은 감소되어 있었으나 복부는 부드러웠고 압통이나 반발압통은 관찰되지 않았다.검사실 소견: 말초 혈액 검사는 백혈구 11,820/mm3, 혈색소 13.0 g/dL, 혈소판 397,000/mm3였고, 혈청생화학 검사에서 총 빌리루빈 1.8 mg/dL, AST 37 U/L, ALT 63 U/L, ALP 37 U/L, 아밀라아제 30.9 U/L, 리파제 44.0 U/L, C-반응단백질 7.06 mg/dL, CEA 1.05 ng/mL, CA 19-9 3.98 U/mL였다.방사선 소견: 일주일 간격을 두고 촬영한 2개의 외부병원 복부 컴퓨터단층촬영에서 위창자간막동맥, 지라동맥, 복강동맥을 싸고 있으며 췌장을 넘어 후복막까지 침범한 저음영의 연부조직 종괴가 관찰되었으며, 침범성 췌장암이 의심되었다(Fig. 3A). 종괴는 1주일 사이에 2.5 × 4.1 cm에서 3.5 × 6.2 cm으로 빠른 크기 증가를 보였다. 컴퓨터단층촬영 소견은 마치 침범성 췌장암처럼 보였으나 매우 빠르게 침범하는 점은 임상적으로 일반적인 종양의 경과와 달라 농양일 가능성을 고려하며 영상을 면밀히 관찰하였고, 생선가시와 같은 이물로 생각되는 2.8 cm 크기의 선상의 고음영이 관찰되었다(Fig. 3B).치료 및 경과: 내시경초음파를 이용하여 세침흡인을 시행하였고(Fig. 4), 고름이 흡인되었다. 도말검사에서 악성세포는 관찰되지 않았으며 급성 화농성 염증소견을 보여 경험적 항생제(세프트리악손과 메트로니다졸) 치료를 시작하였다. 다음날 패혈성 쇼크가 발생하여 항생제는 광범위 항생제 (메로페넴과 반코마이신)로 변경하였고, 활력징후는 곧 안정되었다. 췌장 및 후복막 농양에 대해 괴사된 조직제거술 시행을 계획하였으나 환자가 수술을 거부하여 시행하지 못하였다. 초음파내시경 유도하 세침흡인을 통해 얻은 검체에서 혈성연쇄구균(Streptococcus sanguinis)이 배양되었다. 약제감수성결과에 따라 암피실린/설박탐으로 변경하였다. 3주 후 시행한 컴퓨터단층촬영에서 농양의 크기가 감소하고(Fig. 3D), 임상적으로 증상 호전되어 퇴원하였다. 이후 한달 뒤 외래 내원하였고, 컴퓨터단층촬영에서 이물은 여전히 남아있으나 농양은 거의 소실되었으며(Fig. 3E), 퇴원 후 7개월 째 시행한 컴퓨터단층촬영에서도 이물은 남아 있으나 농양의 재발소견은 관찰되지 않은 상태로 외래 추적관찰 중이다(Fig. 3F).
- 고 찰
- 고 찰
이물 섭취는 대부분 10세 이하의 유아 또는 소아에서 우발적으로 발생하며, 성인에서는 정신질환자, 정신 박약자, 알코올중독자, 죄수, 의치 사용자 등에서 우발적 또는 고의적으로 섭취하여 발생한다고 알려져 있다[3]. 이물의 종류는 연구자마다 차이가 있으나 성인에서 중국인을 대상으로 한 보고와 국내 보고 등 아시아 지역의 보고에서는 생선 가시 혹은 동물 뼈 조각 등의 골편이 가장 많다[3,5]. 삼켜진 이물은 80-90%에서 별다른 증상이나 위장관의 손상을 일으키지 않고 1주 이내에 별다른 문제없이 위장관을 통과하게 되며 1% 미만에서만 천공을 유발한다[1,2]. 이물에 의한 소화관 천공은 이쑤시개, 생선가시, 닭 뼈, 바늘 등과 같이 끝이 날카로운 물건을 삼켰을 때 주로 발생하며, 주로 각도가 예각이거나 장관이 좁아지는 대동맥 궁, 하부 식도 괄약근, 위 유문부, 회맹부위나 곧창자구불창자 부위 등에서 발생한다.이물로 인한 임상증상은 이물의 크기, 종류, 위치, 점막자극 정도 그리고 합병증 유무에 따라 다양하게 나타날 수 있지만 대부분 특기할 만한 증상이 없다. 그러나 천공이 발생하면 복막염, 국한된 농양 형성, 염증성 종괴, 누공, 폐쇄, 출혈 등 다양한 형태의 임상 증상으로 나타날 수 있다.이물이 위장관을 통과한 후 다른 장기를 침범하여 농양을 형성한 경우는 매우 드물다. 이물이 위장관을 통과하여 간실질로 들어가 간 농양을 유발한 경우가 문헌상 1989년에 처음 보고된 이후 전 세계적으로 약 40예 정도 보고되었고[6], 본 증례와 같이 생선가시와 같은 이물이 위장관 천공 후 췌장을 침범한 경우는 2004년에 처음 보고된 이후 현재까지 보고된 영문증례가 3예에 있으며 이 중 2예에서 농양을 형성하였다. 국내에서 이물이 위장관을 천공 후 췌장까지 침범한 경우는 보고된 바 없다[7-9].이물에 의한 위장관 천공 및 합병증의 진단에는 이물질을 삼킨 과거력이 가장 중요하다. 환자들이 이물 섭취를 기억하지 못하는 경우 이물에 의한 위장관 천공을 수술 전에 진단하기는 어렵다. 특히 생선가시나 닭 뼈 같이 흔히 섭취하는 것일수록 기억하지 못하는 경우가 많으며 섭취 후 농양 등에 의한 증상 발생까지 수개월에서 수년까지의 시간적 공백이 있는 경우 진단은 더욱 어려워진다[2]. 이물을 삼킨 것으로 생각되면, 기도나 복강 내 위치를 파악하기 위해 흉부 및 복부 단순 촬영을 해야 한다. 하지만 이물을 삼킨 기억이 없는 경우, 이물이 방사성 투과성 물질인 경우 단순촬영으로 섭취한 이물을 진단하기란 어려운 일이다. 특히 생선가시같이 다양한 방사선 투과율을 보이는 경우 단순촬영의 민감도는 32%에 불과하다. 이런 경우 컴퓨터단층촬영이 진단에 도움이 될 수 있다. 컴퓨터단층촬영에서는 뼈에 합당한 선상의 석회화된 병변으로 나타나는 경우가 많으나 의심을 하고 면밀히 관찰하지 않으면 간과하기 쉽다.첫 번째 증례에서는 환자가 생선을 먹은 것을 기억하고 있었고, 섭취에서부터 증상 발생까지 시간적 공백이 짧아 수술 전 진단이 비교적 빠르게 이루어질 수 있었다. 그러나 두 번째 증례에서는 환자가 이물 섭취를 기억하지 못하였으며, 복부 컴퓨터단층촬영에서도 종괴의 형태를 보여 처음에는 췌장암으로 오인되었다. 임상경과가 췌장암에 합당하지 않아 이물 섭취 및 농양의 가능성을 염두에 두고, 단기간에 추적 촬영한 컴퓨터단층촬영 영상을 면밀히 관찰함으로써 이물을 발견하고, 이물에 의한 췌장 농양으로 진단할 수 있었다. 이물을 삼킨 과거력이 없더라도 복부증상을 주소로 내원한 환자에서 원인이 명확하지 않을 경우 이물 섭취가 원인일 가능성을 염두에 두어야 하며, 영상학적 검사에서 종양이 의심되더라도 임상소견이 이에 합당하지 않을 경우 이물섭취에 의한 농양의 가능성을 고려해 보아야 한다.이물 섭취 후 내원까지의 시간, 이물이 박혀 있었던 시간은 합병증의 발생과 연관이 있으며[4,5] 이는 예후와도 관련된다. 첫 번째 증례에서는 빠른 진단 및 수술이 이루어져 두 번째 증례와 같은 농양 형성이나 패혈증과 같은 중증합병증 발생을 피할 수 있었던 것으로 생각한다. 그러나 두 번째 증례에서는 환자는 이물 섭취를 기억하지 못하였고, 복부 컴퓨터단층촬영소견에서도 이물 발견이 늦어 진단까지 시간적 공백이 있었고, 이것이 췌장 농양 형성과 패혈성 쇼크와 같은 중증 감염의 발생에 기여하였을 것으로 생각한다.상부위장관의 이물은 90% 이상에서 내시경으로 성공적으로 치료될 수 있다[3,4]. 그러나 천공 및 깊게 박혀 있는 이물의 경우 내시경 치료와 수술을 선택하는 기준은 현재까지 따로 명확하게 기술된 바는 없다. 하지만 일반적으로 내시경 치료로 완벽한 이물 제거가 가능하고, 이로 인한 합병증이 내과적 치료로 호전될 수 있다면 수술적 치료는 이차로 선택 가능할 것이다. 하지만 본 증례들처럼 천공이 이루어진 것으로 판단되고 이로 인한 합병증이 비수술 치료로 호전이 어렵거나 내시경 제거가 힘들 것으로 판단되면 처음부터 수술을 선택하는 것이 더 좋을 것으로 생각한다. 일반적으로 농양의 치료로는 적절한 배농과 항생제 사용이 필요하다. 현재까지 보고된 국내외 이물에 의한 간농양의 치료에서는 일반적인 간농양 치료 이외에 농양을 유발한 이물을 제거하기 위한 노력들이 시도되었다. 그러나 아직까지 증례가 드물기 때문에 표준적인 치료법은 없는 상태이며, 전 세계적으로 보고된 이물에 의한 간농양의 경우 일부 예를 제외하고는 대부분 농양 및 이물의 제거를 위해 개복술을 시행하였다[6]. 이물이 췌장까지 침범한 예는 이물에 의한 간농양보다 더욱 드물며 명확한 치료 기준이 제시된 바 없다. 현재까지 문헌으로 보고된 3예에서는 모두 수술이 시행되었는데, 이들 중 2예에서 췌장 농양을 형성하였으며, 이는 간 농양과 동반된 상태로 수술을 시행한 한 예와[8], 췌장암의증으로 수술을 시행하였으나 최종적으로 이물에 의한 췌장 농양으로 밝혀진 한 예이다[9].저자들의 두 번째 증례와 같이 농양을 형성한 경우 적절한 배농과 이물의 제거, 항생제 사용이 필요할 것으로 생각한다. 본 증례에서도 첫 번째 치료로 수술을 고려하였으나 환자의 거부로 수술을 시행하지 못하여 항생제 치료만을 시행하였다. 지금까지 이물이 위장관을 관통하여 타 장기에 농양을 형성하였으나 배농 없이 항생제만으로 성공적으로 치료한 경우는 간 농양에서 1예 보고된 적 있으나[10], 이물에 의한 농양을 이물의 제거 없이 항생제 치료 단독으로 시행하는 것은 남아 있는 이물에 의한 농양의 재발 가능성이 있어 확립된 치료는 아니다. 현재까지 본 증례의 환자는 이물이 남아 있는 상태로 농양의 재발 증거 없이 외래에서 경과관찰 중이나, 이물이 남아 있는 경우 농양의 재발 가능성이 있어 환자가 수술을 거부하거나 수술에 따른 사망 및 이환의 가능성이 높아 수술적 치료가 어려울 경우 제한적으로 시도해 볼 수 있는 치료로 생각한다.결론적으로 이물을 삼킨 과거력이 있는 경우 위장관뿐 아니라 타 장기로 침범할 수 있음을 염두에 두어야 하며, 이물을 삼킨 과거력이 없더라도 복부증상을 주소로 내원한 환자에서 원인이 명확하지 않을 경우 이물 섭취가 원인일 가능성을 염두에 두고 세심한 문진이 필요하다. 이물 섭취가 의심될 경우에는 단순 방사선 촬영보다는 컴퓨터단층촬영을 시행하여야 하며, 영상을 확인할 때에도 이물의 가능성을 염두에 두고 면밀한 관찰이 필요하다.
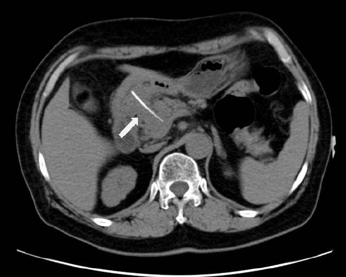
Figure 1.
In the first case, a computed tomography scan showed a linear calcified body that appeared to penetrate the antrum of the stomach into the pancreatic neck.
Figure 2.
In the first case, a small ulcerative lesion with edematous mucosa on the prepyrolic area of the antrum was seen.
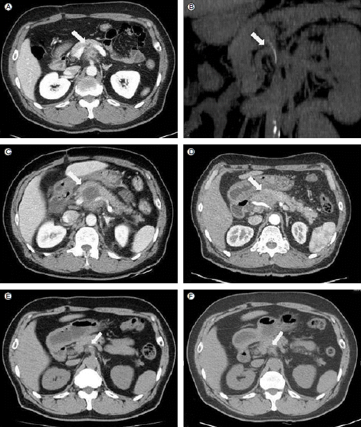
Figure 3.
In the second case, on admission, an outside CT scan revealed a pancreatic and retroperitoneal mass (A) and a high-density foreign body (B). On hospital day (HD) 4, the pancreatic mass had rapidly increased in extent (C). On HD 33, the pancreatic mass had almost disappeared (D). The foreign body remained, but there was no evidence of recurrence of abscess at 1 month (E) and 7 months (F) after discharge.
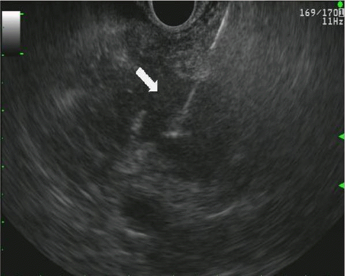
Figure 4.
In the second case, on HD 1, EUS-guided fine-needle aspiration was performed on the low-echoic lesion in the pancreatic neck.
- References
- References
REFERENCES
1. Kanazawa S, Ishigaki K, Miyake T, et al. A granulomatous liver abscess which developed after a toothpick penetrated the gastrointestinal tract: report of a case. Surg Today 2003;33:312–314.
[Article] [PubMed]2. Shaw PJ, Freeman JG. The antemortem diagnosis of pyogenic liver abscess due to perforation of the gut by a foreign body. Postgrad Med J 1983;59:455–456.
[Article] [PubMed] [PMC]3. Park JH, Park CH, Park JH, et al. Review of 209 cases of foreign bodies in the upper gastrointestinal tract and clinical factors for successful endoscopic removal. Korean J Gastroenterol 2004;43:226–233.
[PubMed]4. Jung SH, Paik CN, Lee KM, et al. Risk factors predicting the development of complication after foreign body ingestion. Korean J Gastrointest Endosc 2009;38:199–204.
[Article]5. Lai AT, Chow TL, Lee DT, Kwok SP. Risk factors predicting the development of complications after foreign body ingestion. Br J Surg 2003;90:1531–1535.
[Article] [PubMed]6. Santos SA, Alberto SC, Cruz E, et al. Hepatic abscess induced by foreign body: case report and literature review. World J Gastroenterol 2007;13:1466–1470.
[Article] [PubMed]7. Goh BK, Jeyaraj PR, Chan HS, et al. A case of fish bone perforation of the stomach mimicking a locally advanced pancreatic carcinoma. Dig Dis Sci 2004;49:1935–1937.
[Article] [PubMed]8. Goh BK, Yong WS, Yeo AW. Pancreatic and hepatic abscess secondary to fish bone perforation of the duodenum. Dig Dis Sci 2005;50:1103–1106.
[Article] [PubMed]
