폐농양과 동반된 간문맥 혈전증 1예
- 박성남, 임주견, 김영묵
Portal Vein Thrombosis with a Lung Abscess
- Sung Nam Park, Ju Kyeon Yim, Yeong Muk Kim
- Received February 14, 2011; Revised March 11, 2011; Accepted March 28, 2011;
- Abstract
-
저자들은 폐농양에 합병된 간문맥 혈전증 환자에서 항응고 요법 없이 항생제 치료만으로 폐농양의 호전과 함께 일부 용해된 간문맥 혈전증 1예를 경험하였기에 문헌고찰과 함께 보고하는 바이다.
- Abstract
-
Portal vein thrombosis (PVT) is an uncommon cause of presinusoidal hypertension and can result from cirrhosis, malignancy, infection, inflammation, and congenital and acquired thrombophilic states. Infectious and inflammatory causes include pylephlebitis, omphalitis, diverticulitis, pancreatitis, cholecystitis, appendicitis, and inflammatory bowel disease. However, PVT induced by a lung abscess has not been reported. We experienced a 50-year-old male complaining of right upper quadrant pain, fever, and coughing. A lung abscess and PVT were revealed by computed tomography and abdominal Doppler ultrasonography. The PVT resolved, in part, after an 8-day course of antibiotic therapy. We report a case of PVT as a complication of a lung abscess and review the literature. (Korean J Med 2012;82:67-72)
- 서 론
- 서 론
간문맥 혈전증은 문맥압 항진증을 유발하는 드문 원인으로 주로 간경변, 간암에 동반되어 발생하지만 일부는 아직 원인을 알 수 없는 경우도 많다[1]. 간문맥 혈전증의 원인은 국소적 원인과 전신적 원인으로 나눌 수 있고 국소적 원인으로는 간경변, 종양, 감염, 염증 등이 있고 전신적 원인으로는 유전 또는 후천 혈전성향 인자가 작용한다[2]. 간문맥 혈전증 형성과 연관된 감염은 신생아 제대염, 게실염, 맹장염, 췌장염, 담관염, 결핵성 임파선염 등 주로 복강 내 감염 혹은 염증과 관계된다[1,2]. 간문맥 혈전증의 원인에 대해 여러 논문에서 보고된 바 있으나 전신적 감염을 동반한 경우는 매우 드물며 폐농양과 동반된 예는 외국에서도 거의 보고된 바가 없다. 이에 저자들은 폐농양에 동반된 간문맥 혈전증을 폐농양 치료만으로 일부 호전된 예를 경험하였기에 보고하는 바이다.
- 증 례
- 증 례
환 자: 이○○, 남자, 50세주 소: 상복부 통증현병력: 내원 1개월 전부터 야간 발한증상이 있었고 보름 전부터 마른 기침이 있었던 분으로 내원 3일 전 상복부에 통증과 압통이 있어 내원하였다.과거력: 특이 과거력 없었다.사회력: 20갑년의 흡연력 있었다.가족력: 특이사항은 없었다.문진 소견: 발열, 오한, 전신쇠약, 식욕부진 호소하였으며 의식 상태는 명료하였다.진찰 소견: 활력징후는 혈압은 100/60 mmHg, 맥박은 108회/분, 호흡수는 22회/분, 체온은 38℃였으며, 좌하 폐야에서 수포음이 청진되었고, 우상복부에 압통이 있었다.검사실 소견: 입원 당시 말초혈액 검사에서 백혈구 19,100/mm3 (호중구 87.6%, 림프구 5.9%), 혈색소 9.8 g/dL, 헤마토크리트 30.4%, 혈소판 385,000/mm3였고, 혈청 생화학 검사에서 혈청 총 단백 7.1 g/dL, 알부민 3.1 g/dL, 글로불린 4.0 g/dL, AST/ALT 59/54 U/L, 총 빌리루빈 1.0 mg/dL, 알칼리 포스파타제 1713 IU/L (정상 103-335 IU/L), 감마-글루타밀트랜스 펩티다제 554 U/L (정상 8-73 U/L), 췌장 아밀라제 36 IU/L, 리파제 35 IU/L, 혈액요소질소 6.0 mg/dL, 크레아티닌 0.7 mg/dL, Na/K 135/4.4 mEq/L, 젖산탈수소효소 172 U/L, 총 콜레스테롤 136 mg/dL, C-반응성 단백질 23.61 mg/dL, 공복혈당 98 mg/dL, 칼슘 8.7 mg/dL, 적혈구 침강률 114 mm/hr이었다. 간염바이러스 표지자 검사에서 B형간염표면항원(HBs Ag) 음성, HBs Ag에 대한 항체 양성, C형간염바이러스에 대한 항체 음성이었다. 혈액응고검사에서 PT 12.4초(INR 1.1), aPTT 26.5초이었다. 면역혈청검사에서 루푸스항응고인자 음성, 단백 C 활동성 67%, 단백 S 활동성 36%, antithrombin III 80 mg/dL, 이외 항핵항체, 항카디오리핀항체, 핵주위항중성구세포질항체(p-ANCA), 세포질항중성구세포질항체(c-ANCA), Factor V Leiden mutation 모두 음성이었다.방사선 소견: 단순 흉부 방사선 사진 및 흉부 전산화단층촬영(Fig. 1)에서 양폐하엽에 음영 증가소견 보였고 좌하엽에 공기액체층이 관찰되는 직경 4 cm 크기의 공동성 병변을 보였다. 복부 전산화단층촬영(Fig. 2)에서 간문맥의 혈전증 소견을 보였고 간경변증이나 간종양의 소견은 없었다. 복부 도플러 초음파(Fig. 3)에서 간문맥 혈전증 보였고, 혈류 저하소견 보였다.미생물 및 조직 소견: 혈액배양 검사와 객담배양 검사에서 균이 배양되지 않았다.내시경 소견: 내원 당시 시행한 상부소화관 내시경 검사에서 위체부에서 다발성 궤양과 출혈성 위염소견 보였다.임상경과 및 치료: 내원 당시 시행한 검사에서 폐농양에 동반된 간문맥 혈전증으로 진단 후 항생제 치료 시작하였으며 흑색변 있어 시행한 내시경 소견상 다발성 궤양과 출혈 소견 보여 항응고 요법은 바로 시행하지 못하였다. 내원 3일째 상복부 통증의 호전 보였으며 내원 8일째 시행한 초음파 소견에서 간문맥의 혈전은 호전 양상보이나 남아있었다(Fig. 4). 흑색변 없어지고 내시경 소견상 호전양상 보여 정맥 헤파린 주사 시작하고 3일 후 와파린을 병용투여하여 INR 2-3으로 유지한 후 와파린 단독으로 항응고제 투여를 계속하였다.
- 고 찰
- 고 찰
간문맥 혈전증은 국소적이고, 전신적인 혈전을 유발하는 인자들이 야기하지만 간경변증이 중요한 인자로 여겨진다. 대상성 간경변증을 가진 환자들에서 혈전증의 발생률은 0.6%에서 16%로 다양하게 보고된다[3,4]. 비대상성 간경변증을 가진 환자들에서는 발생률이 더 높고 특히 간암환자들에게서는 35%까지도 보고된다. 간경변증이 없는 환자들의 발생률은 문헌상으로 잘 보고되어 있지 않지만 서구에서는 모든 문맥압 항진증 환자의 약 5-10%로 보고된다[5]. 선진국에서 특히 소아에서 발생한 문맥압 항진증의 1/3 이상이 감염의 합병증과 연관된다고 보고된다[6].간문맥 혈전증의 원인은 국소적인 것과 전신적인 것으로 나눌 수 있고, 국소적인 원인은 간경변증, 간암 등의 암성 원인, 감염, 염증 등이 있고 전신적인 원인은 선천적인 원인과 후천적인 원인으로 나눌 수 있다. 선천적인 원인 질환에는 Factor V Leiden mutation, prothrombin gene mutation, 단백 C,S 결핍, Antithrombin III 결핍 등이 있고 후천적인 것에는 악성종양, 경구 피임제, 임신, 골수증식 질환, 항인지질항체증후군, 고호모시스테인혈증, 발작성 야간 혈색소뇨증 등이 있다. 국소적인 원인으로는 문맥염, 신생아 제대염, 패혈증, 결핵성 임파선염 같은 감염과 게실염, 췌장염, 담낭염, 충수돌기염, 소화성 궤양 천공, 복부 둔탁손상, 수술에 의한 간문맥계의 손상, 염증성 장질환 같은 염증이 있다[2]. 심한 전신적 감염증이 간문맥 혈전증 원인의 8%를 차지한다는 보고도 있다[1]. 본 증례 환자는 폐농양으로 인한 전신적 감염증과 단백 S 결핍을 제외하고는 간문맥 혈전증의 다른 원인을 찾을 수 없었다.폐농양으로 인한 패혈증시 혈전생성 기전은 잘 알려져 있지 않지만 패혈증 상태에서는 내독소가 응고작용을 활성화시키고, 혈액 응고와 섬유소 용해작용간의 불균형이 초래되어 혈액 과응고성 상태에 이르게 된다. 응고작용의 활성화뿐 아니라, 단핵세포들의 표면 위로 조직인자의 표현과 혈전형성의 내피하 혈관벽 교원질의 노출에 의한 혈관벽과 염증 세포들과의 상호작용이 염증에 의한 혈전형성에 기여하게 된다[7,8].단백 S는 단백 C와 인지질에 대한 친화력을 증강시켜 응고인자 Va와 VIIIa를 불활성화 시킴으로써 혈액 응고를 억제하는 역할을 하는 보조인자로 작용한다[9]. 단백 S 결핍은 선천적 혹은 후천적으로 유발될 수 있다. 선천적 단백 S 결핍증은 상염색체 우성으로 유전되며 동형접합인 경우 영아기에 사망하게 되지만 이형접합인 경우 주로 반복적인 정맥 혈전증의 임상 형태를 보이는 것으로 알려져 있다. 후천적 단백 S 결핍은 임신, 간질환, 신증후군, 와파린 투여, 세균 감염, 악성 종양, 경구피임제 사용 등으로 올 수 있다[10]. 또한 문맥 혈전으로 인해 간혈류가 줄어들고 portosystemic shunting으로 인해 protein S같은 항응고인자의 합성이 저해될 수 도 있다[11]. 혈중 단백 S의 약 60%는 다른 단백질(C4b-BP)과결합되고 40% 정도만 혈액 응고 억제 효과를 발휘하는 자유형으로 존재하는데 C4b-BP는 급성기 반응물질로서 어떠한 염증 반응에서도 증가할 수 있고 이로 인해 단백 S 활성도를 감소시킬 수 있다. 따라서 급성기에 측정된 단백 활성도 감소는 임상적으로 큰 의미를 부여하기 힘들고 급성기 이후에도 지속적으로 유리 단백 S가 감소된 것이 증명되어야 혈전증의 원인으로 의미가 있다고 할 수 있다[12]. 본 증례의 환자는 특별한 혈전증의 과거력과 가족력이 없어 문맥 혈전증에 의한 혈류감소 혹은 폐농양에 따른 심한 전신적 감염증으로 일시적 단백 S 활동성의 저하를 보였을 가능성이 있으나 환자 사정으로 감염 호전 후 추가검사를 시행할 수 없었다.간문맥의 혈전이 형성되고 60일 이내에 나타나는 증상을 급성 증상으로 분류할 수 있는데 주로 복통, 발열, 오심 등이 나타날 수 있으나 대부분 증상이 없거나 비특이적이다. 만성의 경우 혈전이 발생한 간문맥 주변의 곁정맥(collateral veins)의 발달과 해면종(portal cavernoma)이 형성되며 정맥류 출혈, 복수, 비장종대 등의 간문맥 고혈압의 증상과 징후가 나타난다[2].간문맥 혈전증의 진단은 복부 초음파 검사, 도플러 초음파, 전산화 단층촬영 등을 이용하여 조기에 진단가능하다. 복부 색 도플러 초음파 검사는 98%의 음성 예측도를 나타내고[2] 최근에는 내시경 초음파, 복부 자기공명영상, 복부 자기공명 혈관촬영술 등을 이용하여 작은 혈전도 발견 가능하고 주변장기 관련성 등에 더욱 정확한 검사를 시행할 수 있다[13].급성 간문맥 혈전증의 치료 목표는 간문맥의 완전한 개통성을 유지하여 만성 간문맥 혈전증으로의 진행을 막고 장간막 정맥으로 혈전이 진행할 수 있는 위험도를 낮추어 장간막 허혈과 경색을 막는 것이다. 초기 간경변이 있고 간문맥 고혈압의 증거가 없는 경우를 제외하고는 일반적으로 간경변 환자에서는 장기적인 항응고 요법은 추천되지 않고 간경변이 없는 환자의 경우는 혈전으로 인한 정맥류 출혈이나 비장비대증 혹은 복수 같은 간문맥 고혈압의 증거의 유무에 따라 다르다. 간문맥 고혈압의 증거가 있는 만성 간문맥 혈전증의 경우에는 과응고 상태나 이전의 다른 혈관에서 혈전 병력 등이 있으면 장기간의 항응고요법을 강력히 고려하지만 조절되지 않는 정맥류 출혈이 있거나 혈소판 수치가 50,000/mm3 이하일 경우에는 시행하지 않는다. 간문맥 고혈압의 증거가 없는 급성 간문맥 혈전증인 경우는 유발 요인을 알아내어 치료하고 전신적 혹은 국소적인 혈전용해요법과 외과적 혈전제거술, 간내문맥 전신순환 연결술(transjugular intrahepatic portosystemic shunt) 등을 고려한다. 또한 과응고 상태를 유발하는 인자가 있는지 조사하여 없으면 3-6개월 후 항응고요법을 중단한 뒤 경과관찰하고 과응고 상태를 유발하는 인자가 있다면 장기적인 혹은 평생 동안의 항응고요법을 고려한다[2]. 하지만 거대세포바이러스 감염에 동반된 간문맥 혈전증이나 췌장염, 게질염에 동반된 장간막정맥 혈전증의 경우 항응고제 치료 없이 원인 질환의 호전과 함께 혈전증이 호전된 사례들이 있어 모든 간문맥 혈전증에 이러한 치료 원칙을 적용해야 하는 가에 대해서는 의문점이 있다[14-16]. 따라서 폐농양 같은 감염에 의해 이차적으로 발생한 간문맥 혈전증의 경우에는 항응고 요법 필요 유무, 항응고제 종료 및 사용 기간 등의 치료 지침에 대한 더 많은 연구가 필요할 것으로 생각된다.
Figure 1.
Chest posterioanterior radiograph and computed tomography (CT) scan on admission. (A) Chest radiograph shows increased opacity in both lower lung fields. (B) Chest CT shows about a 4-cm cavitary lesion with air-fluid in the left lower lung.
Figure 2.
Abdominal computed tomography (CT) scanon admission. Abdominal CTshows an abnormal low-density lesion indicative of a filling defect (thrombus) in the portal vein (arrow) and splenic vein (arrow head).
Figure 3.
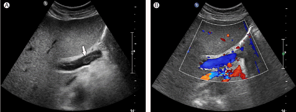
Initial abdominal and Doppler ultrasound. (A) Ultrasound of the abdomen shows hypoechoic thrombosis (arrow) in the left and right main portal veins. (B) Doppler ultrasound of the abdomen shows decreased portal flow in the left and right main portal veins. (C) Ultrasound of the abdomen shows a hypoechoic thrombus (arrow head) in the right main portal vein.
Figure 4.
Follow-up abdominal and Doppler ultrasound. (A) After 8 days, ultrasound of the abdomen shows a partially decreased thrombus (arrow) in the right main portal vein. (B) Doppler ultrasound of the abdomen shows improved portal flow in the right main portal vein.
- References
- References
REFERENCES
1. Rajani R, Björnsson E, Bergquist A, et al. The epidemiology and clinical features of portal vein thrombosis: a multicentre study. Aliment Pharmacol Ther 2010;32:1154–1162.
[Article] [PubMed]2. Parikh S, Shah R, Kapoor P. Portal vein thrombosis. Am J Med 2010;123:111–119.
[Article] [PubMed]3. Okuda K, Ohnishi K, Kimura K, et al. Incidence of portal vein thrombosis in liver cirrhosis: an angiographic study in 708 patients. Gastroenterology 1985;89:279–286.
[Article] [PubMed]4. Amitrano L, Guardascione MA, Brancaccio V, et al. Risk factors and clinical presentation of portal vein thrombosis in patients with liver cirrhosis. J Hepatol 2004;40:736–741.
[Article] [PubMed]5. Onohara T, Takahashi I, Nishizaki T, Wakasugi K, Matsusaka T, Kume K. Superior mesenteric vein thrombosis due to diverticulitis and spontaneous thrombolysis after ilio-cecal resection: a case report. J Cardiovasc Surg (Torino) 2000;41:307–309.
[PubMed]6. Wakefield TW, Greenfield LJ, Rolfe MW, et al. Inflammatory and procoagulant mediator interactions in an experimental baboon model of venous thrombosis. Thromb Haemost 1993;69:164–172.
[Article] [PubMed]7. Valla DC, Condat B, Lebrec D. Spectrum of portal vein thrombosis in the West. J Gastroenterol Hepatol 2002;17(Suppl 2):S224–S227.
[Article] [PubMed]8. Sarin SK, Sollano JD, Chawla YK, et al. Consensus on extra-hepatic portal vein obstruction. Liver Int 2006;26:512–519.
[Article] [PubMed]9. Harris KW, Esmon CT. Protein S is required for bovine platelets to support activated protein C binding and activity. J Biol Chem 1985;260:2007–2010.
[Article] [PubMed]10. Castoldi E, Hackeng TM. Regulation of coagulation by protein S. Curr Opin Hematol 2008;15:529–536.
[Article] [PubMed]11. Fisher NC, Wilde JT, Roper J, Elias E. Deficiency of natural anticoagulant proteins C, S, and antithrombin in portal vein thrombosis: a secondary phenomenon? Gut 2000;46:534–539Erratum in: Gut 2000;47:158.
[Article] [PubMed] [PMC]12. Oh YM, Kim JS, Jeong JY, Choi SH, Park SK. Cerebral venous sinus thrombosis associated with protein S deficiency in a child. Clin Pediatr Hematol Oncol 2008;15:127–133.13. Ponziani FR, Zocco MA, Campanale C, et al. Portal vein thrombosis: insight into physiopathology, diagnosis, and treatment. World J Gastroenterol 2010;16:143–155.
[Article] [PubMed] [PMC]14. Kang YH, Song MS, Eom TM. A case of portal veinthrombosis caused by protein C and S deficiency associated with cytomegalovirus infection. Inje Med J 2009;30:77–81.15. Kim WS, Lee JW, Lee ES, et al. A case of isolated superior mesenteric vein thrombosis in acute pancreatitis. Korean J Gastroenterol 2002;40:68–71.16. Park JH, Cho YK, Lee MS, et al. A case report of suprerior mesenteric vein thrombosis associated with diverticulitis. Korean J Med 1999;57:114–117.
